
-
生物通官微
陪你抓住生命科技
跳动的脉搏
综述:免疫检查点抑制剂治疗相关免疫不良反应的神经影像学特征
【字体: 大 中 小 】 时间:2025年06月13日 来源:Insights into Imaging 4.1
编辑推荐:
这篇综述深入探讨了免疫检查点抑制剂(ICIs)治疗引发的神经系统免疫相关不良反应(irAEs)的影像学特征,重点解析了垂体炎(最常见)、脑炎、脑膜炎、脱髓鞘等罕见但高致死性并发症的鉴别诊断与临床管理策略,为肿瘤免疫治疗中的神经毒性监测提供了实用影像学指导。
免疫检查点抑制剂(ICIs)通过阻断T细胞抑制性受体(如CTLA-4、PD-1/PD-L1)增强抗肿瘤免疫反应,已成为多种癌症(如黑色素瘤、肺癌)的重要治疗手段。然而,这种免疫激活常导致多系统免疫相关不良反应(irAEs),其中神经系统并发症虽罕见(发生率4-12%),却可能致命。神经影像学在识别这些并发症中扮演关键角色,尤其当症状与肿瘤进展或感染重叠时。
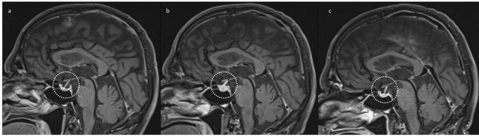
垂体炎是ICIs治疗中最常见的神经影像可见irAE,尤其与CTLA-4抑制剂ipilimumab强相关。典型表现为垂体短暂性轻度增大(通常≤7mm),伴均匀强化和垂体柄光滑增厚。影像演变具有特征性:初期肿胀(治疗后2-3个月达峰),后期萎缩(图1)。需警惕非典型表现如垂体>2cm或鞍区扩展,可能提示转移瘤等其他病变。值得注意的是,约18%患者影像异常早于临床症状,凸显基线影像对比的重要性。

ICIs相关脑炎可分为局灶型(如边缘叶脑炎)和非局灶型。62%局灶性脑炎患者MRI显示FLAIR高信号,常见于边缘系统或后颅窝(图3)。脑膜炎则更多表现为柔脑膜或硬脑膜强化(图4),但67%病例影像可阴性。3D-TSE序列对检出柔脑膜强化优于常规梯度回波序列,而FLAIR增强序列能更敏感捕捉蛛网膜下腔异常(图5)。

多血管区域梗死需警惕ICIs诱发的中枢神经系统血管炎(图8),其特征性动脉壁强化可通过3D-TSE序列初步评估(图9),确诊需专用血管壁成像。脱髓鞘病变表现与特发性多发性硬化相似(图6),而神经炎则表现为神经根/颅神经光滑强化(图7),需与转移性病变的结节状强化鉴别。

诊断难点在于irAEs与转移瘤/感染的影像重叠。关键线索包括:1)治疗反应与神经系统症状的"分离现象"(图12);2)其他系统irAEs共存史;3)CSF淋巴细胞增多但无肿瘤细胞。治疗反应随访是确诊的"金标准"——多数病例在停用ICIs并接受糖皮质激素后,影像异常可逆(图10-11)。

神经irAEs虽罕见,但早期识别直接影响预后。放射科医师需熟悉其多变的影像模式,结合临床时间线(多发生于治疗12周内)和肿瘤特异性(如肺癌患者更易发生边缘叶脑炎),在复杂的鉴别诊断中为临床团队提供关键决策依据。未来需要更多研究建立标准化影像评估流程,以优化这类"双刃剑"疗法的风险获益比。
生物通微信公众号
知名企业招聘