
-
生物通官微
陪你抓住生命科技
跳动的脉搏
靶向CDK7/12/13功能协同作用逆转肌成纤维细胞活化并改善肺纤维化
【字体: 大 中 小 】 时间:2025年06月14日 来源:iScience 4.6
编辑推荐:
本研究针对肺纤维化中肌成纤维细胞持续活化的治疗难题,通过功能遗传学筛选发现CDK13是促纤维化基因表达的关键调控因子。研究人员揭示CDK7/12/13通过协同调控RNA聚合酶II(RNA Pol II)羧基末端结构域(CTD)磷酸化,驱动肌成纤维细胞活化。小分子抑制剂THZ1可逆转肌成纤维细胞表型并在博来霉素模型中显著改善肺纤维化,为纤维化疾病提供了新型治疗靶点。
肺纤维化作为进行性纤维化疾病的代表,其死亡率甚至超过多数癌症类型。尽管目前获批的吡非尼酮和尼达尼布能部分缓解症状,但临床疗效有限,亟需揭示肌成纤维细胞持续活化的分子机制以开发新一代抗纤维化疗法。这种特殊的细胞类型通过异常增殖、细胞外基质(ECM)过度沉积和收缩性增强推动疾病进展,但其核心调控网络仍不明确。
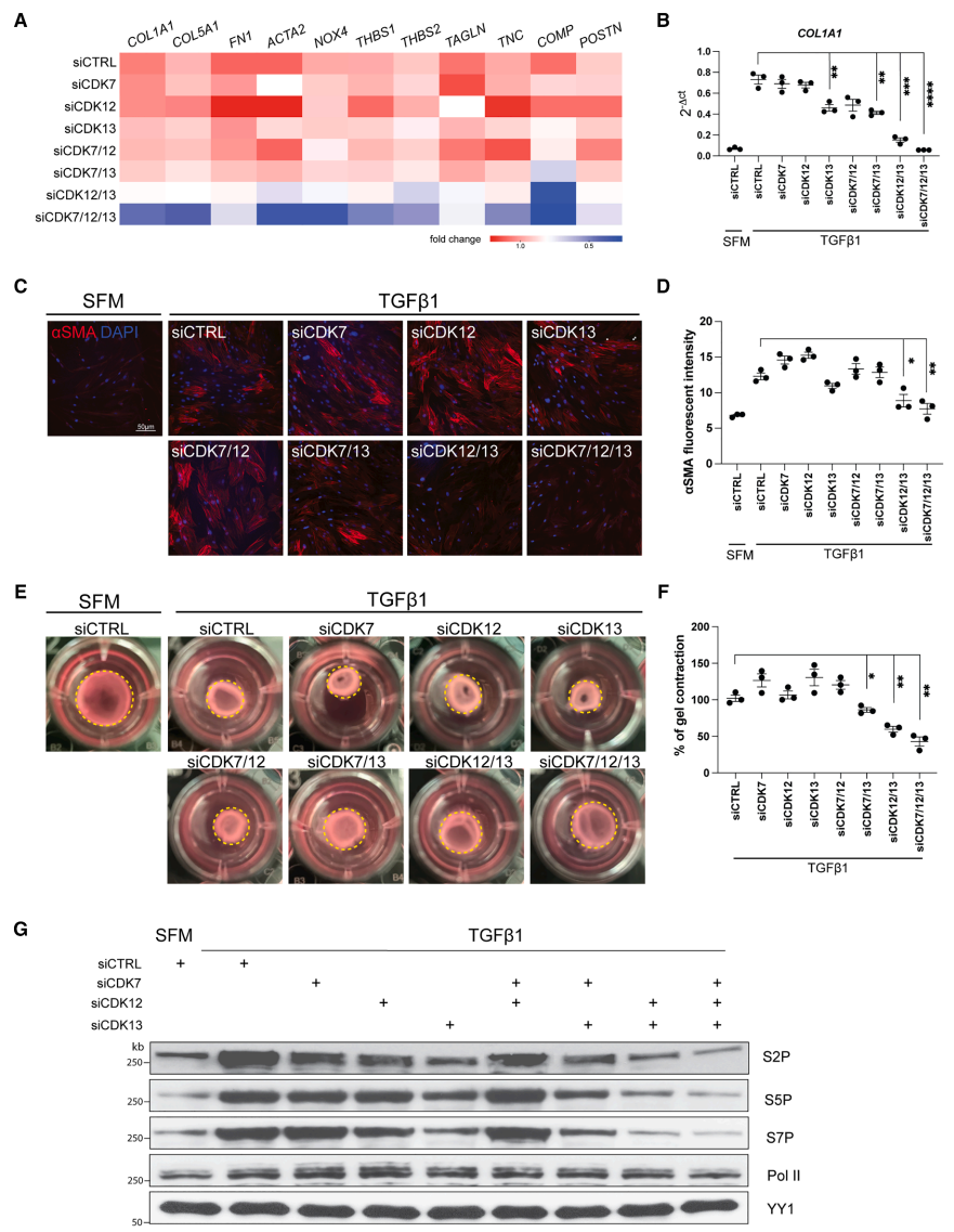
Genentech的研究团队在《iScience》发表突破性研究,通过系统筛选发现细胞周期蛋白依赖性激酶(CDK)家族成员CDK13是调控促纤维化基因表达的关键因子。Hsiao-Yen Ma、Zhiyu Huang等学者进一步揭示CDK7/12/13存在独特的功能协同效应:CDK13单独敲除仅能抑制50%的TGFβ诱导的COL1A1和ACTA2表达,而三重敲除则完全阻断肌成纤维细胞活化。这种协同作用通过调控RNA Pol II CTD的Ser2/5/7磷酸化(S2P/S5P/S7P),控制促纤维化基因转录延伸。小分子共价抑制剂THZ1不仅能预防肌成纤维细胞分化,还能使已活化的细胞发生表型逆转,在博来霉素诱导的小鼠肺纤维化模型中显著减轻胶原沉积。
研究采用siRNA筛选、RNA测序(RNA-seq)、免疫荧光染色等技术,通过原代人肺成纤维细胞和博来霉素小鼠模型展开实验。关键发现包括:
通过12种CDK的RNAi筛选发现,仅CDK13敲除在不影响细胞存活的前提下显著降低TGFβ1诱导的COL1A1和ACTA2表达。

三重敲除CDK7/12/13比单基因敲除更有效抑制α平滑肌肌动蛋白(αSMA)表达和胶原收缩能力,完全阻断RNA Pol II CTD磷酸化,表明三者协同调控转录延伸。
CDK7/12/13缺失显著抑制血清诱导的KI67表达和细胞数量增加,同时下调PDGFRA/B等受体酪氨酸激酶(RTK)转录水平,揭示其通过多通路调控增殖。
RNA-seq显示THZ1将肌成纤维细胞转录组重编程至成纤维细胞状态,GO分析证实其抑制ECM组织、肌肉收缩等通路。

博来霉素造模后给药THZ1(10mg/kg BID)显著减少肺间质纤维化病灶和新生成羟脯氨酸含量,但不影响炎症细胞浸润,证实其特异性抗纤维化作用。
该研究首次阐明转录CDK在纤维化中的核心地位,突破性地发现CDK13在非恶性细胞中具有非冗余功能。虽然THZ1存在潜在毒性限制其临床应用,但该成果为开发组织靶向型CDK抑制剂奠定理论基础。值得注意的是,CDK7/12/13在心脏纤维化中也发挥作用,提示其可能成为跨器官纤维化的广谱治疗靶点。研究创新性地提出"转录延伸调控"作为纤维化治疗新范式,为改善目前抗纤维化药物疗效瓶颈提供了分子基础。
生物通微信公众号
知名企业招聘