
-
生物通官微
陪你抓住生命科技
跳动的脉搏
茴香叶水提物对四氧嘧啶诱导糖尿病大鼠的降糖作用及胰岛保护机制研究
【字体: 大 中 小 】 时间:2025年06月17日 来源:Journal of Pharmaceutical Health Care and Sciences 1.2
编辑推荐:
本研究针对糖尿病(DM)这一全球高发代谢性疾病,探索了传统药用植物茴香(Foeniculum vulgare)叶水提物的治疗潜力。研究人员通过四氧嘧啶(alloxan)诱导的糖尿病大鼠模型,系统评估了50/100/200 mg/kg三种剂量对血糖、体重、血清胰岛素(insulin)和C肽(C-peptide)水平的影响,并首次通过组织形态学分析证实其对胰岛(Langerhans islets)的保护作用。结果显示茴香叶提取物显著改善糖代谢并促进胰岛结构修复,为开发植物源抗糖尿病药物提供了新依据。
糖尿病(Diabetes Mellitus, DM)作为全球第九大成人致死因素,影响着超过5.29亿患者的健康。这种以慢性高血糖为特征的代谢性疾病,会引发氧化应激和炎症级联反应,最终导致包括胰岛β细胞损伤在内的多器官并发症。尽管合成降糖药物广泛使用,但其副作用促使科研人员转向传统药用植物寻找更安全的替代方案。茴香(Foeniculum vulgare)作为地中海地区传统药用植物,其种子和精油已被证实具有降糖活性,但关于其叶部提取物的系统研究仍属空白。
为填补这一研究空白,卡尚医科大学的研究团队开展了一项创新性研究。他们采用四氧嘧啶(alloxan)诱导的1型糖尿病大鼠模型,首次全面评估了茴香叶水提物对糖代谢和胰岛形态学的双重影响。这项发表在《Journal of Pharmaceutical Health Care and Sciences》的研究,不仅证实了传统医学的药用价值,更为开发新型植物源抗糖尿病制剂提供了科学依据。
研究采用标准化的实验方法:通过腹腔注射170 mg/kg四氧嘧啶建立糖尿病模型,筛选血糖值220-250 mg/dL的合格动物;将50只SD大鼠分为正常对照组、糖尿病对照组及50/100/200 mg/kg三个治疗组;采用口服给药方式干预30天;通过全自动生化分析仪监测血糖和体重变化;采用ELISA法检测血清胰岛素和C肽水平;最后通过H&E染色和数字图像分析系统(DS-L2)定量评估胰岛数量和面积变化。
Effect of fennel leaf aqueous extract on blood glucose concentration
研究发现四氧嘧啶注射后大鼠血糖飙升至397±41.9 mg/dL(正常组120±3.07 mg/dL)。而茴香叶提取物治疗14天后即显现显著降糖效果,200 mg/kg组血糖降至126.73±14 mg/dL(P<0.01),30天时更达到81.17±29.9 mg/dL,效果优于低剂量组。这表明茴香叶中存在剂量依赖性的降糖成分。
Effect of fennel leaf aqueous extract on the body weight
糖尿病导致大鼠体重持续下降17.2%(P<0.05),而50/100 mg/kg治疗组成功逆转了这一趋势,体重恢复至正常水平(P<0.01)。有趣的是,200 mg/kg组虽控制血糖最佳,但体重改善效果反而不及低剂量组,提示高剂量可能存在影响能量代谢的成分。
Effect of fennel leaf aqueous extract on serum insulin concentration
糖尿病组胰岛素水平显著降低(P<0.05),而各治疗组胰岛素水平均显著回升,其中200 mg/kg组效果最显著(P<0.01)。这直接证明茴香叶能促进内源性胰岛素分泌。
Effect of fennel leaf aqueous extract on blood C-peptide concentration
作为胰岛素分泌的更稳定指标,C肽的变化趋势与胰岛素一致。所有治疗组C肽水平均显著高于糖尿病对照组(P<0.01),但200 mg/kg组并未显示出剂量优势,研究者推测可能与高剂量影响肾脏对C肽的代谢有关。
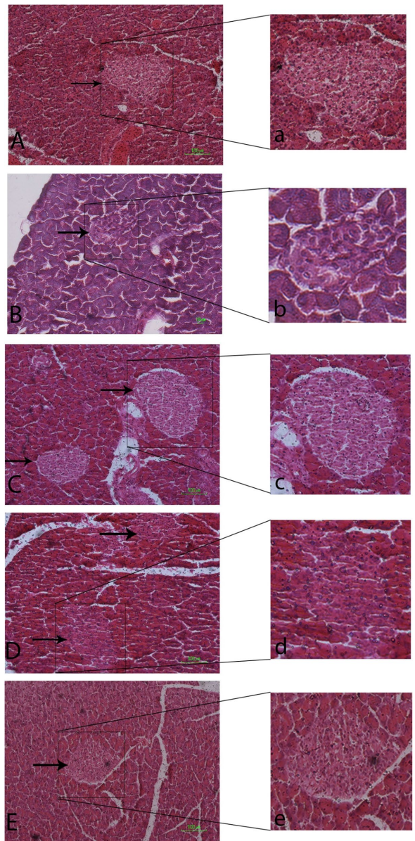
Histopathology of pancreatic islets
组织学发现最具突破性:糖尿病组胰岛显著萎缩,β细胞大量坏死;而治疗组胰岛数量和面积均接近正常水平(P<0.01)。

讨论部分指出,茴香叶中的咖啡酸(caffeic acid)、奎宁酸(quinic acid)和绿原酸(chlorogenic acid)等多酚类物质可能是其药理活性的物质基础。这些成分通过三重机制发挥作用:直接清除四氧嘧啶产生的ROS保护β细胞;刺激残留胰岛细胞分泌胰岛素;可能通过抑制α-葡萄糖苷酶(α-glucosidase)延缓碳水化物吸收。值得注意的是,这是首次通过形态计量学证实茴香叶对胰岛结构的修复作用,为"植物胰岛素"理论提供了直接证据。
该研究的临床意义在于:茴香叶水提物制备工艺简单,成本低廉,适合资源有限地区应用;与传统降糖药物联用可能减少用药剂量和副作用;其抗氧化和抗炎特性对预防糖尿病并发症具有潜在价值。未来研究需要分离鉴定具体活性成分,并探索其对2型糖尿病胰岛素抵抗的改善作用。
生物通微信公众号
知名企业招聘