
-
生物通官微
陪你抓住生命科技
跳动的脉搏
胎儿大脑外侧裂超声筛查新方法:定量评估SFR比值在皮质发育异常诊断中的应用
【字体: 大 中 小 】 时间:2025年06月19日 来源:European Journal of Medical Research 2.8
编辑推荐:
本研究针对胎儿大脑外侧裂(SF)异常筛查的临床难题,开发了基于二维超声的定量参数——外侧裂比值(SFR),通过前瞻性测量128例正常胎儿和38例异常病例,建立22-31孕周的SFD、SFW和SFR参考曲线。研究发现SFR>0.7(22-24周)和>1(25周后)可作为筛查阈值,对皮质发育异常(MCD)的检出率达100%,为临床提供了一种简便可靠的筛查工具。
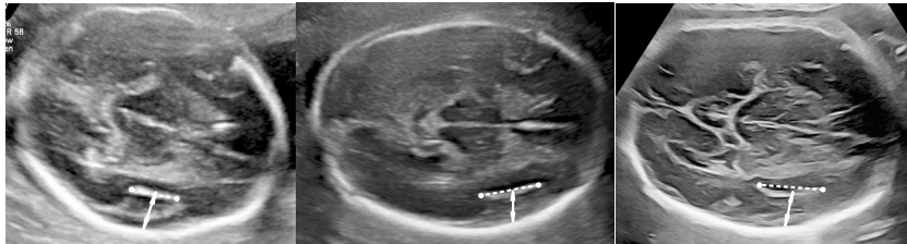
在产前诊断领域,胎儿大脑外侧裂(Sylvian fissure, SF)的发育评估一直是神经超声检查的难点。作为大脑外侧最显著的解剖标志,SF的成熟过程被称为"盖化"(operculization),其异常往往提示严重的皮质发育异常(Malformation of Cortical Development, MCD)或神经元迁移障碍。然而现有评估方法存在明显局限:单纯测量SF深度(SFD)缺乏全面性,三维超声操作复杂,冠状切面难以获取,而主观形态学评估则高度依赖操作者经验。这些技术瓶颈使得临床亟需一种客观、简便的定量筛查方法。
为突破这一困境,首都医科大学附属北京妇产医院超声科的研究团队开展了一项创新性研究。通过前瞻性纳入128例正常胎儿(对照组)和38例经MRI确诊的SF异常胎儿(研究组),团队在22-31孕周(GA)期间系统测量了SF深度(SFD)、宽度(SFW),并首创性地提出外侧裂比值(SFR=SFW/SFD)这一新参数。研究采用多项式回归构建了各参数与GA的参考方程:SFD(mm)=-1.48GA2
-0.02GA+16.81(R2
=0.803),SFW(mm)=5.62GA2
-0.08GA-79.34(R2
=0.880),SFR=0.53GA2
-0.01GA-6.55(R2
=0.619)。
关键技术方法包括:1)标准化超声测量:在显示穹窿柱的轴平面测量SF参数;2)多中心仪器验证:使用三星HERA WS80A/W10、GE Voluson E8/E10和飞利浦EPIQ 7超声系统;3)MRI确诊异常病例;4)遗传学检测:包括核型分析、染色体微阵列和 trio全外显子测序(WES);5)统计学分析:采用ICC评估测量者间一致性,多项式回归建立参考曲线。
研究结果呈现三大发现:


结论与意义:
该研究发表于《European Journal of Medical Research》,其创新性在于将复杂的皮质发育评估转化为可量化的超声参数,解决了产前筛查中"看得见但说不清"的技术痛点。特别是对窄平台型SF等细微异常的识别价值,弥补了传统方法的技术盲区,为优生优育决策提供了重要依据。
生物通微信公众号
知名企业招聘