
-
生物通官微
陪你抓住生命科技
跳动的脉搏
膀胱子宫内膜异位症的非典型临床表现与手术治疗:一例罕见病例报告
【字体: 大 中 小 】 时间:2025年06月21日 来源:Journal of Medical Case Reports 0.9
编辑推荐:
本研究报告了一例37岁叙利亚女性患者的膀胱子宫内膜异位症病例,该患者表现为非月经周期相关的泌尿系统症状。研究团队通过影像学检查(US、CT、MRI)确诊后,采用Pfannenstiel切口手术成功切除3cm膀胱后壁病灶。术后2年随访无复发,证实了手术干预对膀胱子宫内膜异位症的治疗有效性,为临床诊断这类非典型病例提供了重要参考。
在妇科疾病谱中,子宫内膜异位症(Endometriosis)是一个既常见又神秘的疾病。约10-20%的育龄女性受其困扰,但最令人费解的是,本该乖乖待在子宫内的内膜组织,有时会"离家出走"到身体其他部位。当这些异位的内膜组织出现在膀胱时,就形成了罕见的膀胱子宫内膜异位症(Bladder Endometriosis),仅占所有病例的1%。更棘手的是,如本病例所示,这些患者的症状常常不按常理出牌,给临床诊断带来巨大挑战。
来自叙利亚大马士革大学Al Bairwni医院的Kenana Tawashi等研究人员在《Journal of Medical Case Reports》报道了一例极具教学意义的特殊病例。一位37岁女性患者带着持续1年的排尿困难(Dysuria)、尿潴留(Urinary hesitancy)和间歇性血尿(Hematuria)就诊,这些症状与传统的月经周期相关表现大相径庭。通过多学科协作和系统的诊疗流程,最终揭开了这个"泌尿系统谜题"的真相。
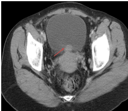
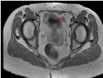
研究团队采用了循序渐进的诊断策略:首先通过实验室检查排除常见泌尿系统疾病,发现患者存在明显血尿(显微镜下满视野红细胞)和国际标准化比值(INR)2.5的凝血异常。影像学检查成为关键突破口,超声(US)初步发现膀胱后壁占位,计算机断层扫描(CT)精确定位到一个3cm的肿块,磁共振成像(MRI)则进一步显示病灶在T2加权像上的特征性低信号表现。尽管膀胱镜(Cystopanendoscopy, CPE)和诊断性腹腔镜可能提供更多信息,但基于影像学的高度特异性表现,团队决定直接进行手术治疗。
手术采用经典的Pfannenstiel切口,术中发现膀胱后壁实性肿块,与周围结构分界清楚。团队实施了精准的肿块切除术,完整保留了膀胱三角区等重要结构。

Case history and examination部分详细记录了患者的非典型临床表现。与教科书描述不同,该患者的泌尿系统症状与月经周期无明确关联,这种"不按套路出牌"的表现正是诊断困难的主因。患者复杂的病史(包括静脉血栓、不孕症治疗史和剖宫产史)更增加了诊断的复杂性。
Differential diagnosis, investigations, and treatment部分展现了临床思维过程。影像学检查的价值在此得到充分体现:CT清晰显示了膀胱后壁3cm占位及其与子宫的解剖关系



Outcome and follow-up证实了手术治疗的成功。患者术后恢复顺利,长期随访无复发,验证了手术切除在膀胱子宫内膜异位症治疗中的核心地位。更难得的是,该病例为临床医生提供了宝贵的经验:即使症状不典型,膀胱子宫内膜异位症也应纳入泌尿系统症状的鉴别诊断。
在Discussion部分,作者系统回顾了膀胱子宫内膜异位症的特征:84%的泌尿系统子宫内膜异位症发生在膀胱,且60%病例症状与月经周期无关——这与本病例完美契合。关于发病机制,作者讨论了种植学说(Implantation theory)、体腔上皮化生学说(Celomic metaplasia theory)等多种假说,但均无法完全解释所有临床表现。诊断方面,强调MRI高达98%的准确率使其成为深部浸润型病变的首选,而腹腔镜(Laparoscopy)仍是金标准。治疗策略上,作者比较了药物疗法(如GnRH激动剂)与手术切除的优劣,指出对于膀胱浸润病例,彻底切除病灶(即使需要打开膀胱)是关键。
这项研究的重要意义在于:首先,它提醒临床医生膀胱子宫内膜异位症可能表现为非典型泌尿系统症状,避免误诊为膀胱肿瘤等疾病;其次,展示了多模态影像学(US、CT、MRI)在诊断中的互补价值;最后,证实了手术切除在获得长期缓解中的决定性作用。正如作者强调,对于这类罕见但影响生活质量的疾病,需要更多研究来阐明其发病机制,并优化诊疗策略。
生物通微信公众号
知名企业招聘