
-
生物通官微
陪你抓住生命科技
跳动的脉搏
卵巢甲状腺肿(Struma ovarii)的诊断与治疗策略:一例病例报告及文献综述
【字体: 大 中 小 】 时间:2025年06月21日 来源:Journal of Medical Case Reports 0.9
编辑推荐:
本病例报告聚焦罕见卵巢肿瘤——卵巢甲状腺肿(SO)的诊疗挑战。研究人员通过超声、CT/MRI多模态影像学检查及腹腔镜手术联合病理分析,成功诊治一例68岁中国女性患者的左侧SO。研究证实SO术前诊断困难但具特征性影像表现,手术切除预后良好,为临床处理这类占卵巢肿瘤1-3%的罕见病例提供了重要参考。
在妇科肿瘤领域,卵巢甲状腺肿(Struma ovarii, SO)因其罕见性和诊断复杂性长期困扰临床医生。这种特殊类型的畸胎瘤由至少50%甲状腺组织构成,仅占所有卵巢肿瘤的1%,却可能发生0.17-1.4%的恶性转化。更棘手的是,约40%患者无症状,常规检查中偶然发现时易与其他卵巢肿瘤混淆。当患者出现盆腔包块伴甲状腺功能异常时,医生往往面临诊断困境——如何区分SO与普通畸胎瘤?如何评估其恶性潜能?这些问题的解答对制定治疗方案至关重要。
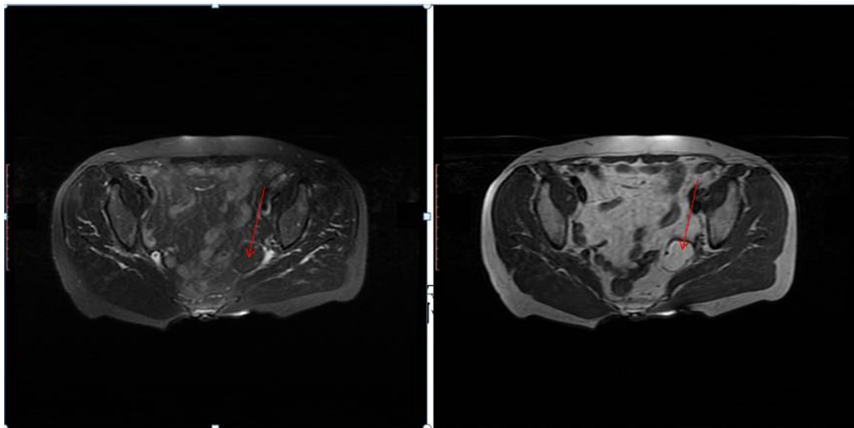
来自湖北癌症医院等机构的研究团队Mohammed Alnaggar、Li Gong等报道了一例典型病例:68岁中国女性因尿道口肿胀就诊,影像学发现左附件区混杂密度肿块。通过系统运用经阴道超声、盆腔CT/MRI多模态成像技术,结合腹腔镜手术及病理检查,最终确诊为左侧卵巢SO。这项发表在《Journal of Medical Case Reports》的研究不仅展示了SO的标准诊疗路径,更强调多学科协作对提高诊断准确率的关键作用。研究证实,尽管SO术前诊断存在挑战,但其影像学特征(如边界清晰、囊实性结构、甲状腺样组织结节)结合病理检查可实现精准诊断,及时手术可获得良好预后。
研究团队采用的主要技术方法包括:1)经阴道超声评估肿块形态特征;2)盆腔CT和MRI分析组织密度与信号特点;3)腹腔镜左侧附件切除术获取病理标本;4)组织学检查确认甲状腺滤泡结构。所有操作均在中国医疗机构完成,患者为自然就诊的典型病例。
【诊断过程】影像学检查显示左附件区24 mm×38 mm×51 mm混杂密度肿块,CT见脂肪样密度区,MRI呈现短T1/T2信号与等信号交替,经阴道超声测得28 mm×19 mm实性肿块伴不规则无回声区

【手术发现】腹腔镜探查完整切除左附件,术中发现肿块与周围组织界限清晰,符合良性肿瘤特征。术后病理显示囊壁为复层鳞状上皮

【治疗策略】研究强调SO治疗需个体化:1)良性病例行腹腔镜附件切除即可;2)恶性者需扩大手术范围;3)伴转移者预后较差。本例术后随访显示患者生活质量良好,无复发迹象。
这项研究的重要意义在于:首先,系统梳理了SO的典型临床表现——好发于40-50岁女性,5-8%伴甲状腺功能异常,需与黏液性囊腺瘤、输卵管脓肿等鉴别。其次,创新性提出诊断"金三角":超声初筛+CT/MRI定位+病理确诊。最后,确立手术为核心治疗手段,良性病例5年生存率近100%。研究特别指出,SO的超声特征


讨论部分深入分析了SO诊疗中的关键问题:1)CA-125等肿瘤标志物特异性不足;2)MRI动态增强对评估恶性潜能的价值;3)腹腔镜手术在保留生育功能方面的优势。作者援引最新文献指出,即便恶性SO,无转移者10年生存率仍达85%,但伴转移时骤降至45%,强调早期干预的重要性。这些发现为妇科肿瘤学界处理这类罕见病例提供了重要循证依据,尤其对资源有限地区的诊疗规范具有指导意义。
生物通微信公众号
知名企业招聘