
-
生物通官微
陪你抓住生命科技
跳动的脉搏
新型纳米颗粒谷胱甘肽与独行菜联合疗法对大鼠庆大霉素诱导急性肾衰竭的肾保护作用及机制研究
【字体: 大 中 小 】 时间:2025年06月21日 来源:Scientific Reports 3.8
编辑推荐:
本研究针对药物性急性肾衰竭(ARF)临床治疗难题,创新性地开发了基于壳聚糖纳米粒(CS NPs)和spanlastics纳米载体的谷胱甘肽(GSH)与独行菜(LS)联合给药系统。研究人员通过构建庆大霉素(GN)诱导的大鼠ARF模型,证实纳米制剂能显著改善肾功能指标(SCr、BUN、cystatin C),降低氧化应激标志物(MDA、SOD)和炎症因子(TNF-α、IL-6),并通过抑制caspase-3表达减轻肾细胞凋亡。该研究为ARF治疗提供了新型纳米药物递送策略,发表于《Scientific Reports》。
肾脏作为人体重要的解毒器官,其脆弱性在临床用药中常被忽视——约25%的医院用药具有潜在肾毒性,其中氨基糖苷类抗生素庆大霉素(GN)引发的急性肾衰竭(ARF)死亡率高达65%。GN通过诱发氧化应激、炎症级联反应和细胞凋亡导致肾功能急剧恶化,传统治疗手段存在生物利用度低、靶向性差等瓶颈。针对这一临床困境,埃及Assiut大学的研究团队创新性地将天然抗氧化剂谷胱甘肽(GSH)与药用植物独行菜(Lepidium sativum, LS)通过纳米技术重组,开发出具有协同肾保护作用的新型纳米制剂,相关成果发表在《Scientific Reports》上。
研究团队采用乙醇注入法制备LS-spanlastics纳米粒,通过离子凝胶法构建GSH-壳聚糖纳米粒(CS NPs),并系统评价了两种纳米载体的包封率(EE%)、粒径分布(PDI)和体外释放特性。选用60只雄性Wistar大鼠建立GN诱导的ARF模型(100 mg/kg/day×7天),设置10个实验组分别给予常规制剂、纳米制剂及其组合治疗。通过检测血清肌酐(SCr)、尿素氮(BUN)、尿白蛋白等肾功能指标,结合肾组织氧化应激参数(MDA、SOD)、炎症因子(TNF-α、IL-6)检测,以及组织病理学和caspase-3免疫组化分析,全面评估治疗效果。
纳米颗粒表征与稳定性
LS-spanlastics优选配方(F1)粒径210±10.4 nm,PDI 0.24,zeta电位-34.9 mV,EE%达95.5%;GSH-CS NPs粒径321±7.8 nm,zeta电位+61.5 mV。TEM显示纳米粒呈均匀球形,FTIR和X射线衍射证实药物成功包载。体外释放显示spanlastics具有缓释特性,24小时累积释放92.7%,符合Higuchi模型(n=0.55)。稳定性试验表明两种纳米系统在4℃储存60天仍保持良好理化性质。
肾功能改善
纳米制剂组尿白蛋白和葡萄糖水平较常规制剂组显著降低(p<0.0001),其中LS-NP+GSH-NP组合效果最优,使尿白蛋白从GN组的158.4±6.2 mg/dL降至42.3±3.1 mg/dL。血清学显示NP组合使SCr、BUN分别降低61%和58%,效果显著优于单药治疗(p<0.01)。

氧化应激调控
LS-NP+GSH-NP使肾组织MDA水平降低72%,同时提升SOD活性2.3倍(p<0.0001)。NP组合的抗氧化效果较常规组合提升约40%,证实纳米载体可增强活性成分的生物利用度。
炎症与凋亡抑制
纳米治疗使肾组织TNF-α、IL-6水平分别下降68%和65%,效果显著优于常规制剂(p<0.001)。免疫组化显示NP组合组caspase-3阳性细胞数仅为GN组的12%,显著低于常规组合组的28%(p<0.01)。

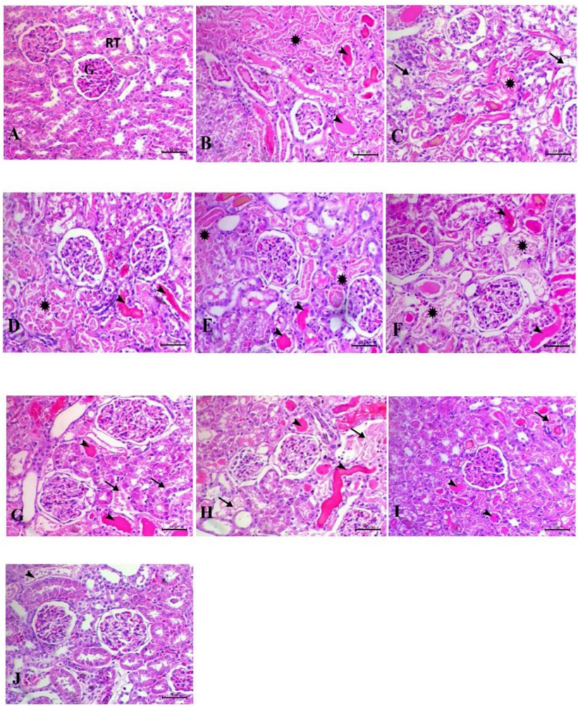
组织学验证
GN组呈现广泛肾小管坏死和蛋白管型,组织损伤评分达3.8±0.3。LS-NP+GSH-NP组肾小管结构基本恢复正常,评分降至0.9±0.2,显著优于常规组合组的1.7±0.2(p<0.01)。
该研究首次证实GSH与LS纳米共递送系统可通过多靶点协同作用缓解GN诱导的ARF:1)纳米载体克服了GSH口服生物利用度低和LS稳定性差的缺陷;2)通过同步调控氧化应激(Nrf2/HO-1)、炎症(NF-κB)和凋亡(caspase-3)三条关键通路实现肾保护;3)spanlastics和CS NPs的联合应用展现出"1+1>2"的治疗效果。这一发现不仅为ARF提供了新型组合治疗方案,也为植物药-合成药纳米共递送系统的开发提供了范式。值得注意的是,研究中载体纳米粒(CS NPs和空白spanlastics)本身未显示肾毒性,为其临床转化奠定了安全性基础。未来研究可进一步优化给药方案,探索其在其他肾损伤模型中的应用价值。
生物通微信公众号
知名企业招聘