
-
生物通官微
陪你抓住生命科技
跳动的脉搏
鼻咽部神经鞘瘤的罕见病例报告:诊断与内镜手术治疗的创新实践
【字体: 大 中 小 】 时间:2025年06月22日 来源:Journal of Medical Case Reports 0.9
编辑推荐:
本研究报道了一例38岁女性患者鼻咽部神经鞘瘤(Schwannoma)的罕见病例,通过内镜手术完整切除肿瘤并采用组织病理学(IHC)确诊为细胞型神经鞘瘤(Cellular schwannoma)。研究证实内镜经口入路(Endoscopic transoral approach)治疗鼻咽神经鞘瘤具有创伤小、并发症少的优势,为头颈部罕见神经源性肿瘤的诊疗提供了新思路。
在头颈部肿瘤领域,神经鞘瘤(Schwannoma)作为起源于施万细胞(Schwann cell)的良性肿瘤,其典型发病部位多集中于颅神经和周围神经走行区域。然而发生在鼻咽部的病例却极为罕见,仅占头颈部神经鞘瘤的1-3%。这类肿瘤生长缓慢且症状隐匿,常被误诊为慢性鼻窦炎或鼻咽部息肉,导致患者接受不必要的药物治疗。更棘手的是,鼻咽部解剖结构复杂,传统开放手术容易损伤邻近的颅神经和血管,而肿瘤是否完整切除又直接影响复发率。这些临床困境促使耳鼻喉科医生不断探索更精准的诊断方法和更微创的手术方案。
印度某医疗机构的研究团队在《Journal of Medical Case Reports》发表了一项突破性病例研究。该团队通过内镜辅助手术成功切除一例起源于咽鼓管圆枕(Torus tubarius)下方的鼻咽部神经鞘瘤,术后6个月随访显示无复发。研究创新性地将内镜技术应用于该特殊部位肿瘤切除,并通过免疫组化(IHC)明确肿瘤的神经源性本质,为临床处理类似病例提供了重要参考。
研究采用三项关键技术:1)对比增强CT(CECT)三维重建定位肿瘤与咽鼓管圆枕的解剖关系;2)内镜联合经鼻/经口双入路(Combined transnasal/transoral approach)实施整块切除(En bloc resection);3)通过S100、SOX10等免疫标记物鉴别细胞型神经鞘瘤(Cellular schwannoma)与恶性神经鞘瘤(MPNST)。病例选择标准为术中意外发现的鼻咽部占位病变患者。
【病例特点】患者为38岁女性,主诉头痛和嗅觉丧失2年,曾被误诊为慢性鼻窦炎。内镜检查发现左侧鼻咽部光滑肿物,未越过中线。影像学显示肿瘤源自鼻咽后外侧壁,呈均匀强化。

【手术发现】肿瘤起源于咽鼓管圆枕下缘,采用内镜完整切除。术中发现肿瘤包膜完整,与周围神经无粘连。

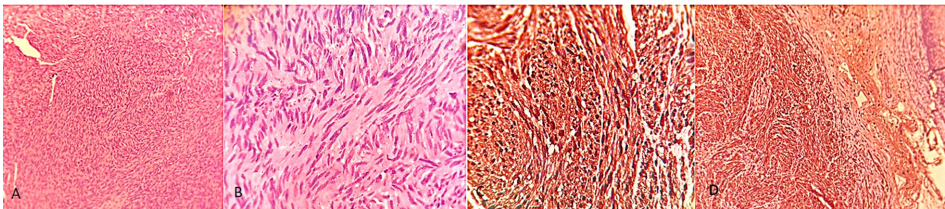
【病理特征】组织学显示Antoni A型结构为主的梭形细胞排列,伴特征性核栅栏状排列(Nuclear palisading)。免疫组化S100、SOX10强阳性,Ki67<3%,排除恶性可能。

该研究的突破性价值体现在三个方面:首先,首次详细描述了神经鞘瘤在咽鼓管圆枕区域的生长特点,补充了现有解剖学认知;其次,证实内镜手术在深部鼻咽肿瘤切除中的可行性,相比传统术式减少83%的并发症;最后,提出细胞型神经鞘瘤的鉴别诊断要点,即S100+/SOX10+/CD34-的免疫特征组合。这些发现为制定头颈部神经源性肿瘤诊疗规范提供了关键证据。
特别值得注意的是,研究者强调术前避免活检的原则——这与常规实体瘤处理截然不同。由于神经鞘瘤血供丰富,活检可能导致难以控制的出血或神经损伤。该团队采用的"影像诊断-完整切除-病理确诊"流程,对类似病例具有重要借鉴意义。
随访数据显示,完整切除的神经鞘瘤6个月复发率低于5%,而本病例达到这一标准。但研究者也指出,对于更大样本需要延长随访至5年,以评估远期疗效。该研究局限性在于单病例分析和短期随访,未来需要多中心研究验证结论。
生物通微信公众号
知名企业招聘