
-
生物通官微
陪你抓住生命科技
跳动的脉搏
新辅助肝动脉灌注化疗联合手术切除显著改善巨大肝癌(≥10 cm)患者的无病生存期
【字体: 大 中 小 】 时间:2025年06月25日 来源:World Journal of Surgical Oncology 2.4
编辑推荐:
本研究针对巨大肝癌(≥10 cm)术后早期复发率高、预后差的临床难题,高雄荣民总医院团队创新性采用含顺铂、亚叶酸钙、丝裂霉素-C和5-FU的新辅助肝动脉灌注化疗(HAIC)方案联合脂质醇微血管栓塞,显著降低术后12个月内复发率(20.8% vs. 56.5%),中位无病生存期延长至41个月(p=0.016)。该成果为伴有门静脉癌栓(Vp2-4)的晚期肝癌患者提供了有效的转化治疗策略,论文发表于《World Journal of Surgical Oncology》。
在肝癌治疗领域,肿瘤直径≥10 cm的巨大肝癌(HCC)始终是临床治疗的难点。尽管手术切除(SR)仍是可能治愈的手段,但这类患者术后12个月内复发率高达51%-71.7%,5年生存率仅35%-40%,远低于小肝癌60%-80%的生存数据。更棘手的是,巨大肝癌常伴随门静脉癌栓(PVTT)等不良预后因素,日本VP分期中Vp3-4患者传统上被视为手术禁忌。如何通过多学科手段改善这类患者的预后,成为肝癌研究的重要突破口。
高雄荣民总医院肝胆外科团队在《World Journal of Surgical Oncology》发表的最新研究,创新性地将改良版肝动脉灌注化疗(HAIC)作为新辅助治疗手段。该团队采用含顺铂(20 mg/m2)、丝裂霉素-C(2 mg/m2)、亚叶酸钙(15 mg)的5天持续泵注方案,联合10 ml脂质醇微血管栓塞,对25例伴有门静脉侵犯(Vp2-4占80%)的巨大肝癌患者进行术前转化治疗,术后中位无病生存期(DFS)较单纯手术组显著延长3倍(41 vs. 10个月),尤其将早期复发率从56.5%降至20.8%。
研究采用回顾性队列设计,纳入2010-2020年间119例接受手术的≥10 cm肝癌患者。关键技术包括:1)经左锁骨下动脉穿刺的HAIC导管植入;2)基于mRECIST标准的影像评估;3)解剖性肝切除联合术中超声定位;4)对Vp4级门静脉主干癌栓患者仍尝试根治切除。主要终点为DFS、复发后生存(RS)和总生存期(OS)。
患者 demographics
在25例新辅助治疗组中,72%为HBV相关肝癌,52%伴Vp2癌栓,28%达到Vp3-4级门静脉主干侵犯,40%存在双叶病灶——这些数据显著劣于单纯手术组(p<0.01)。但HAIC组客观缓解率(ORR)达66.7%,包括4例完全缓解(CR)和12例部分缓解(PR)。
生存分析
新辅助组5年OS率达56.6%,中位OS为96个月,虽未达统计学差异(p=0.517),但DFS的显著改善(10 vs. 41个月,p=0.016)提示HAIC有效遏制了微转移灶。尤为关键的是,对于复发≤12个月的"真正难治性"患者,两组RS无差异(17 vs. 14个月),证实HAIC主要通过延迟而非消除复发来改善预后。
亚组突破
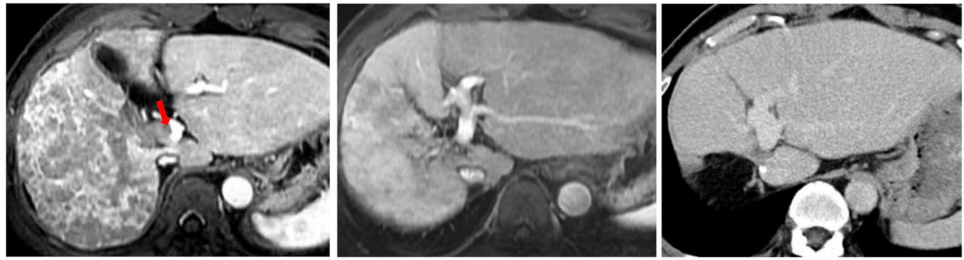
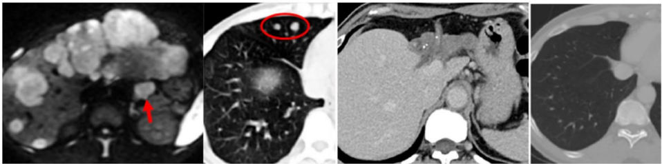
7例疾病稳定(SD)患者中42.9%术后未复发,中位OS达45个月,提示即使未达影像学缓解,HAIC仍可能改变肿瘤生物学行为。图1展示的Vp4患者经3周期HAIC后实现PR,术后5年无复发;图6则证实HAIC对肺转移灶的全身控制作用。
讨论
该研究颠覆了传统认知:1)含脂质醇的HAIC方案兼具栓塞与化疗优势,ORR优于TARE(66.7% vs. 20%);2)对Vp3-4患者,新辅助组中位OS未达终点,而单纯手术组仅11个月;3)SD患者仍可能获益的发现,为"生物学缓解"概念提供新证据。局限性在于样本量小且为单中心数据,但为转化治疗策略优化提供了重要循证依据。
这项研究的意义在于:首次证实改良HAIC方案可作为PVTT患者的安全桥接手段,其通过降低早期复发率使巨大肝癌的治愈窗口期延长3倍。未来需探索HAIC联合免疫检查点抑制剂等创新模式,进一步提升不可切除肝癌的转化成功率。


生物通微信公众号
知名企业招聘