
-
生物通官微
陪你抓住生命科技
跳动的脉搏
复杂病史患者肝心瘘继发化脓性心包炎与感染性休克的诊疗挑战及启示
【字体: 大 中 小 】 时间:2025年06月26日 来源:Journal of Cardiothoracic Surgery 1.5
编辑推荐:
本研究报道了一例76岁多原发癌合并严重心功能不全患者,因肝心瘘导致化脓性心包炎和感染性休克的罕见病例。通过CT引导活检和微生物培养确诊Bacteroides fragilis感染,强调了对肝脓肿合并心包炎患者需警惕瘘管形成的临床思维。研究揭示了混合型休克(心源性/梗阻性/感染性)的诊疗困境,为复杂基础疾病患者的脓毒性心包炎管理提供了重要参考。
在临床实践中,肝心瘘如同医学界的"幽灵通道",其罕见性使得诊断往往滞后。当这种异常连接发生在免疫功能低下的肿瘤患者身上时,更会引发灾难性后果——化脓性心包炎和感染性休克组成的"死亡三联征"。Cameron Rattray等学者在《Journal of Cardiothoracic Surgery》报道的这例特殊病例,为临床医生敲响了警钟。
研究团队通过多学科协作,运用床旁超声快速识别心包积液,CT三维重建技术精准定位肝顶部4.8×6.3 cm脓肿与心包的异常交通,创新性采用同步心包穿刺引流(750 ml脓液)和CT引导下肝脓肿引流双管齐下的治疗策略。微生物培养技术锁定Bacteroides fragilis这个"组织破坏专家",其分泌的胶原酶和蛋白酶成为解释瘘管形成的关键分子机制。
【临床特征】
76岁男性突发胸痛就诊,兼具胰腺癌术后、心衰(LVEF 20-25%)等复杂背景。特征性的"血压骤降+颈静脉怒张+心音遥远"三联征提示心脏压塞,CT发现肝左叶4.4 cm占位与心包积液的"隔空对话"极具提示性。
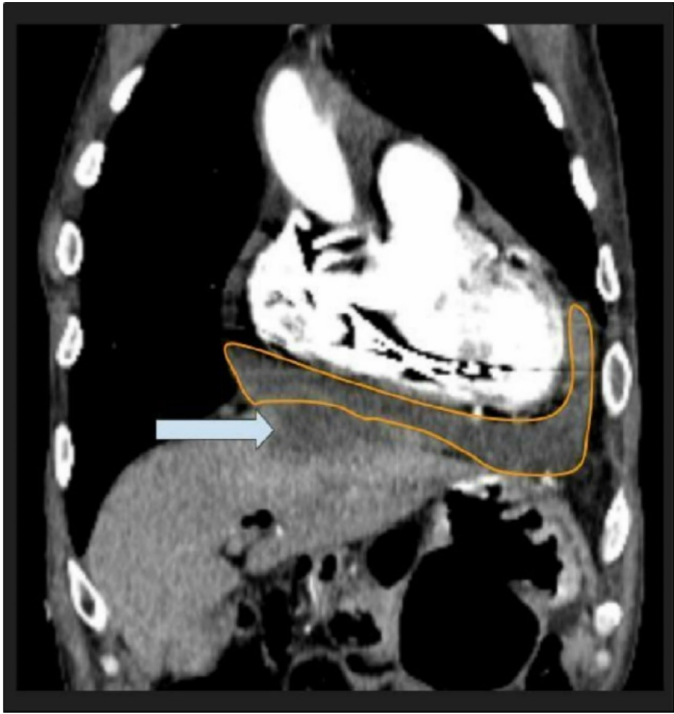
【影像学发现】

【微生物学证据】
心包与肝脓肿脓液均培养出Bacteroides fragilis,该菌的β-内酰胺酶特性解释了初始广谱抗生素治疗效果欠佳的原因,为临床精准抗感染提供靶点。
【治疗困境】

【病理机制】
研究创新性提出"酶促瘘管形成"假说:Bacteroides fragilis分泌的基质金属蛋白酶(MMP)降解肝被膜与心包间隔胶原,在膈肌薄弱处形成病理性通道。CT显示的"肝顶气泡征"(图3)为此过程提供影像学佐证。
结论与启示:
该研究确立了肝心瘘的四步诊断流程:影像学定位→微生物鉴定→血流动力学评估→多学科干预。特别强调对肝脓肿患者突发心包炎症状时,需进行膈肌连续扫描排查瘘管。尽管本例预后不良,但建立的"解剖-微生物-临床"三位一体分析框架,为类似复杂病例的诊疗提供了范式转移。未来需要关注肝顶脓肿的预防性引流指征,以及针对厌氧菌特殊酶系的靶向治疗研发。


生物通微信公众号
知名企业招聘