
-
生物通官微
陪你抓住生命科技
跳动的脉搏
膳食中添加印楝叶对家兔生长性能及肝脏健康的影响研究
【字体: 大 中 小 】 时间:2025年06月26日 来源:Scientific Reports 3.8
编辑推荐:
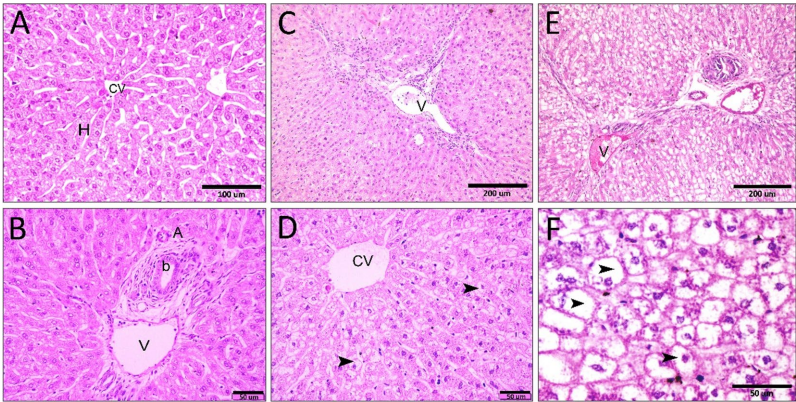
本研究探讨了印楝叶(Azadirachta indica)作为饲料添加剂对家兔生长性能、血液生化指标及肝脏组织学的影响。研究人员通过为期10周的实验发现,高剂量(15%)印楝叶补充虽未显著影响体重增长,但导致肠道长度增加、盲肠萎缩及肝脏组织学损伤(如肝细胞空泡变性、纤维化)。研究为印楝叶在畜牧业的合理应用提供了毒理学依据,提示需谨慎控制添加剂量。
研究背景与意义
随着埃及等国家对兔肉需求的增长,开发安全高效的饲料添加剂成为畜牧业研究热点。印楝树(Azadirachta indica)因其抗菌、抗氧化等特性被传统医学广泛应用,但其作为饲料添加剂的安全性存在争议。此前研究表明,印楝叶富含三萜类(Triterpenoids)、柠檬苦素(Limonoids)等活性成分,可能影响动物代谢和器官功能。然而,高剂量印楝叶是否会导致家兔肝脏损伤等副作用尚不明确。
为解决这一问题,埃及南河谷大学农业学院动物与家禽生产系Abdalla Ali团队在《Scientific Reports》发表研究,系统评估了不同剂量印楝叶(5%、10%、15%)对家兔生长性能、血液生化及肝脏组织的影响,为印楝叶的畜牧应用提供科学依据。
关键技术方法
研究选用32只45日龄V-line家兔,随机分为对照组(基础饲料)和3个实验组(添加5%-15%印楝叶粉),实验周期10周。通过GC-MS分析印楝叶成分,监测体重、采食量等生长指标;屠宰后测定胴体特性、血液生化(如AST、ALT、HDL)及肝脏组织学(H&E染色、PAS染色检测糖原、天狼星红染色评估纤维化)。
研究结果

结论与意义
研究表明,高剂量(≥10%)印楝叶虽未显著抑制生长,但通过诱导肝纤维化、糖原代谢紊乱和盲肠萎缩,潜在威胁家兔健康。这提示印楝叶作为饲料添加剂需严格限制剂量,其肝毒性可能与活性成分(如GERMACRENE B占28.22%)引发的氧化应激有关。该研究为畜牧业安全使用植物添加剂提供了重要警示,未来需进一步解析印楝叶的种属特异性毒理机制。
生物通微信公众号
知名企业招聘