
-
生物通官微
陪你抓住生命科技
跳动的脉搏
Nd:YAG激光后囊切开术对眼前节结构的定量影响:超声生物显微镜研究揭示房水动力学改善新证据
【字体: 大 中 小 】 时间:2025年06月27日 来源:Lasers in Medical Science 2.1
编辑推荐:
本研究针对白内障术后后发性白内障(PCO)患者,采用超声生物显微镜(UBM)定量评估Nd:YAG激光后囊切开术对眼前节参数的影响。研究发现该手术可显著增宽前房角结构(ACA/AOD500/TISA750等),且不影响眼压(IOP)和中央角膜厚度(CCT),为手术安全性及改善房水动力学提供了重要循证依据。
研究背景与意义
白内障作为全球首位致盲眼病,其术后并发症后发性白内障(PCO)发生率高达20%-50%。尽管Nd:YAG激光后囊切开术是治疗PCO的金标准,但关于其对眼前节结构影响的争议持续十余年——既往研究报道相互矛盾:有学者发现前房深度(ACD)加深,另有报道称虹膜-晶状体隔前移,甚至存在术后眼压(IOP)波动的安全隐患。这种认知混乱直接影响到青光眼高危患者的临床决策。
来自土耳其Hitit大学的研究团队创新性地采用高分辨率超声生物显微镜(UBM)技术,首次系统评估了35例PCO患者激光术后1月内9项眼前节参数的动态变化。这项发表在《Lasers in Medical Science》的研究,不仅解决了"激光能量是否改变房水引流解剖基础"这一核心问题,更揭示了现代疏水性丙烯酸酯人工晶状体(IOL)在激光冲击下的生物力学稳定性。
关键技术方法
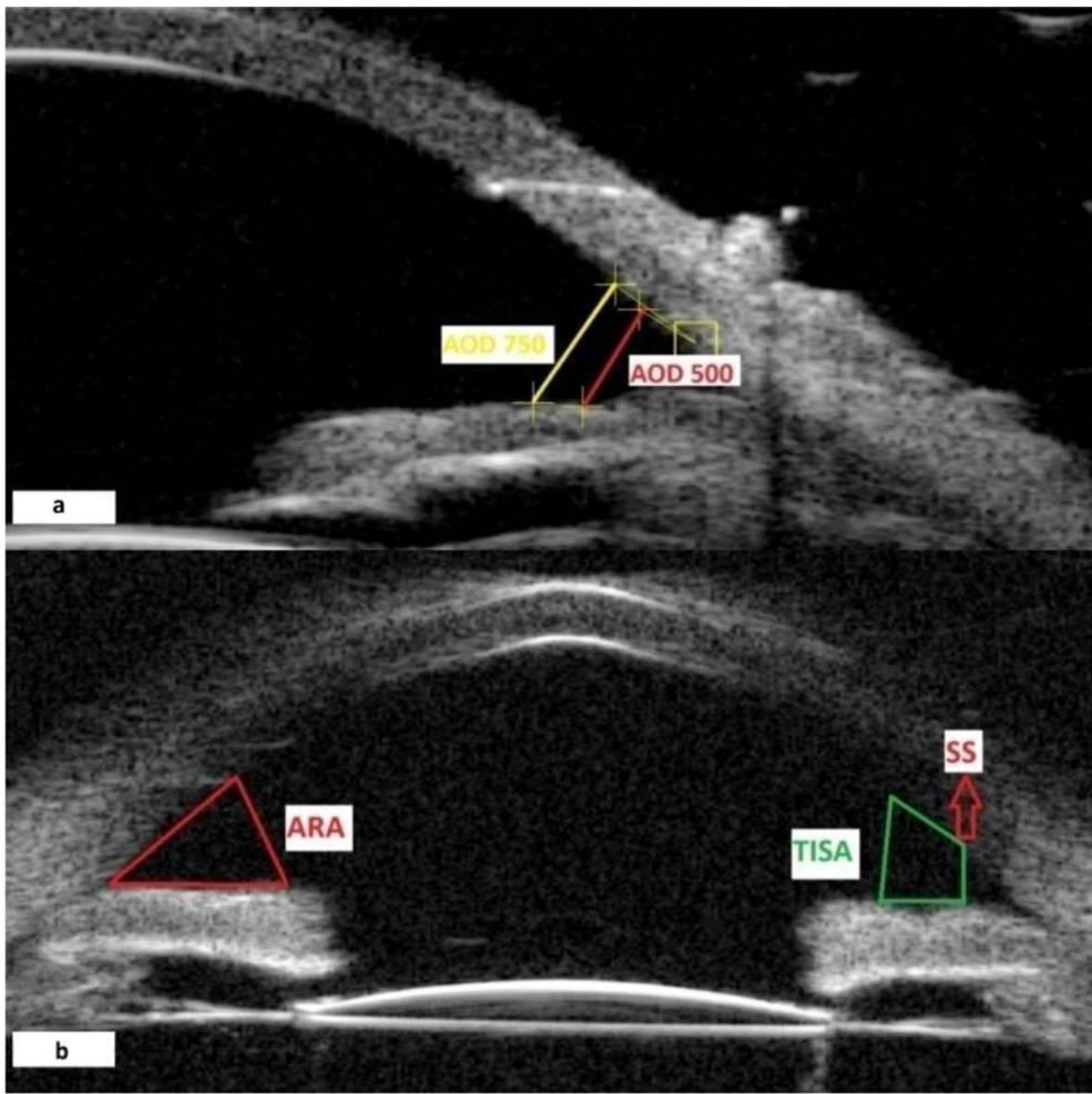
研究采用前瞻性队列设计,纳入34例单眼PCO患者(均植入AcrySof SA60 IOL)。使用50MHz UBM探头在暗室条件下测量鼻/颞侧前房参数,包括:前房角宽度(ACA)、500/750μm处角开放距离(AOD500/AOD750)、小梁-虹膜空间面积(TISA500/TISA750)等。所有患者接受标准化Nd:YAG激光治疗(能量0.9-3.0mJ/脉冲,囊膜开口4.0-4.5mm),术前术后均予溴莫尼定预防性降眼压。
主要研究结果
眼前节稳定性
数据显示中央角膜厚度(CCT)(基线557.5±56.4μm vs 术后555.9±57.6μm, p=0.456)和眼压(IOP)(16.83±2.43mmHg vs 16.43±2.34mmHg, p=0.821)保持稳定。特别值得注意的是,前房深度(ACD)(3.92±0.28mm vs 4.01±0.22mm)和晶状体拱高(LV)(1.18±0.23mm vs 1.19±0.24mm)仅出现<0.1mm的临床非显著变化,证实现代IOL具有优异的抗位移特性。

前房角结构变化
激光术后1周即出现显著改变:鼻侧ACA从42.50±4.18°增至45.62±4.73°(p=0.001),颞侧TISA750从0.52±0.09mm2升至0.58±0.09mm2(p=0.001)。这种增宽效应持续至术后1月且无衰减(所有参数p>0.05),提示其并非暂时性炎性反应。研究首次报道的500μm处角隐窝面积(ARA500)增加尤为突出(0.15±0.03mm2→0.19±0.04mm2, p<0.001),该区域正是房水流出的关键解剖通道。

结论与展望
该研究通过精确的UBM定量证实:Nd:YAG激光后囊切开术可安全、持久地改善前房角结构,这种"房水引流通道扩容"效应可能解释临床观察到的青光眼患者术后眼压下降现象。特别值得关注的是,在保留晶状体位置稳定性的前提下,虹膜根部选择性后移的发现(表现为ACA增宽但LV不变)为设计新型抗青光眼手术提供了生物力学启示。未来研究可拓展至闭角型青光眼高危人群,并探索不同IOL材质对激光能量传导的差异性响应。
这项研究的重要临床价值在于:①为合并PCO的青光眼患者提供了手术安全性循证证据;②建立了UBM参数与房水动力学改善的量化关系;③揭示了现代IOL在激光冲击下的独特生物力学行为,为器械改良指明方向。
生物通微信公众号
知名企业招聘