
-
生物通官微
陪你抓住生命科技
跳动的脉搏
HER2阳性乳腺癌术后10年腮腺转移的罕见病例分析及放疗联合靶向治疗探索
【字体: 大 中 小 】 时间:2025年07月01日 来源:SN Comprehensive Clinical Medicine
编辑推荐:
本研究报道一例HER2阳性乳腺癌患者在初始诊断10年后出现腮腺转移的罕见病例,通过放疗联合HER2靶向治疗(曲妥珠单抗和帕妥珠单抗)实现长期疾病控制。该研究为解决乳腺癌罕见转移部位的治疗选择难题提供临床证据,证实放疗联合HER2靶向治疗可作为腮腺转移的有效替代方案,为类似病例的治疗决策提供参考。
在乳腺癌治疗领域,人类表皮生长因子受体2(HER2)阳性乳腺癌的远处转移模式一直是临床关注的重点。虽然常见转移部位如骨、肺、肝等已有明确诊疗规范,但腮腺作为人体最大的唾液腺,其转移病例却鲜有报道。据统计,自1975年首例报道以来,全球仅记录到58例乳腺癌腮腺转移病例,其中HER2阳性型更为罕见——在本文发表前仅有5例确切报道。这种特殊转移部位不仅诊断困难,其最佳治疗策略也缺乏共识,成为临床实践中的灰色地带。
正是在这样的背景下,A.E.Smith等研究人员报道了一例具有里程碑意义的病例:一位68岁女性在HER2阳性乳腺癌初始诊断10年后,出现孤立性腮腺转移。这个病例的特殊性在于其超长的无进展间隔期(10年),以及采用的非手术治疗方案——放疗联合持续HER2靶向治疗的成功实践。该病例发表在《SN Comprehensive Clinical Medicine》杂志,为这一罕见临床情境提供了宝贵的长期随访数据。
研究人员采用多学科协作模式,通过CT引导的细针穿刺活检确认诊断,运用容积调强弧形放疗(VMAT)技术给予50 Gy/20次精准放疗,同时维持曲妥珠单抗+帕妥珠单抗的双靶向治疗。值得注意的是,治疗团队还详细记录了放疗参数:采用6 MV光子线,5 mm CTV-PTV外扩边界,并每日使用5 mm组织补偿物,这些细节为临床实践提供了重要参考。
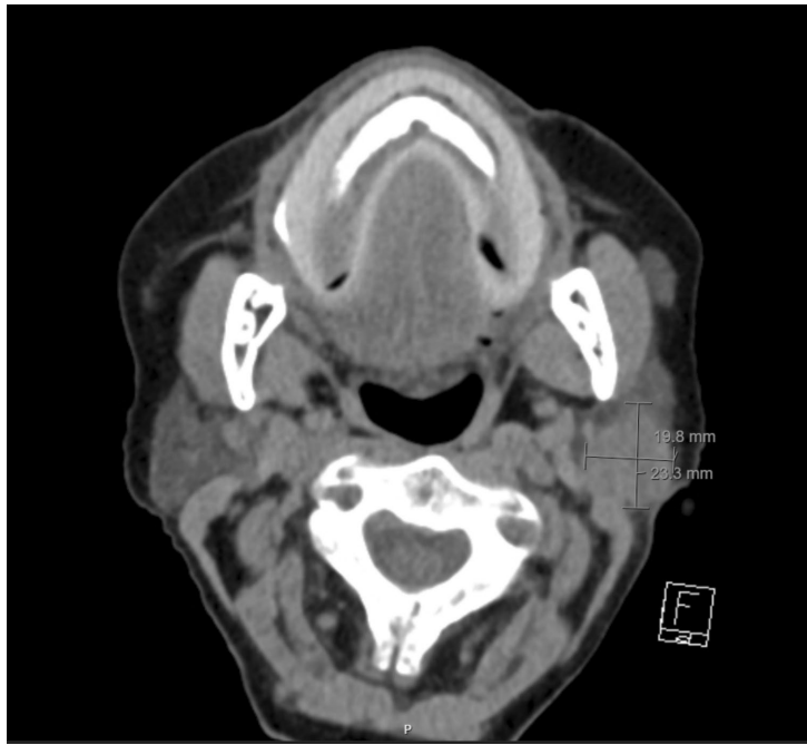
研究结果部分,"Case Presentation"详细描述了该患者的诊疗历程:初始诊断为多发性转移的HER2阳性乳腺癌(ER 3+,PR 1+,HER2 3+),经曲妥珠单抗+帕妥珠单抗联合化疗获得长达7年9个月的疾病控制。腮腺转移表现为突发性下颌角无痛性肿块,CT显示浅深叶交界处21 mm分叶状占位。


"Discussion"部分通过系统文献回顾指出:这是第6例确证的HER2阳性乳腺癌腮腺转移病例,且是唯一详细记录长期生存数据的案例(14个月无进展)。特别值得注意的是,所有6例HER2阳性病例的转移灶均保持HER2阳性状态,但1例出现激素受体状态改变(ER/PR丢失),这印证了约20%转移性乳腺癌存在生物标志物漂移现象。治疗选择分析显示,传统上42%病例接受放疗,53%选择腮腺切除术,但本案例证明放疗联合靶向治疗可获得不逊于手术的疗效。
该研究的核心价值在于:首次证实对于HER2阳性乳腺癌腮腺转移,放疗联合持续HER2靶向治疗可作为手术的替代方案,尤其适用于寡进展病例。这一发现改变了"腮腺转移必须手术"的传统观念,为不适合手术或追求微创治疗的患者提供了新选择。同时,10年超长潜伏期的记录也提示HER2阳性乳腺癌需要终身监测,腮腺肿块应纳入常规随访检查范围。这些结论为临床指南的完善提供了高级别循证依据,对改善罕见转移患者的预后具有重要意义。
生物通微信公众号
知名企业招聘