
-
生物通官微
陪你抓住生命科技
跳动的脉搏
基于SFTSV核蛋白寡聚体构象的高灵敏度诊断技术开发及其在动物宿主监测中的应用
【字体: 大 中 小 】 时间:2025年07月01日 来源:Virology Journal 4
编辑推荐:
本研究针对严重发热伴血小板减少综合征病毒(SFTSV)现有血清学检测方法的局限性,开发了基于病毒核蛋白(NP)寡聚体构象的新型ELISA和侧向流动检测(LFA)技术。研究人员通过优化重组NP(rNP)表达条件获得高抗原性寡聚体,建立的rNP-ELISA显示出97.3%特异性和92.6%敏感性,优于传统ICL-ELISA;开发的NP Ab-LFA检测条实现84.2%特异性和100%敏感性,可跨物种检测兔、鼠、猴血清中的抗NP抗体。该研究为SFTSV动物宿主监测提供了高灵敏度、低成本的现场检测工具。
在东亚地区肆虐的严重发热伴血小板减少综合征(SFTS)是一种由蜱传病毒引起的致命性疾病,其病原体SFTSV可通过长角血蜱在野生动物、家畜和人类之间传播。令人担忧的是,许多动物感染后不表现症状却成为病毒储存库,这给疫情监测带来巨大挑战。当前基于病毒培养或感染细胞裂解物(ICL)的诊断方法不仅需要生物安全三级(BSL-3)实验室,且难以满足大规模动物筛查的需求。更棘手的是,SFTSV核蛋白(NP)存在单体与RNA结合寡聚体等多种构象,而传统重组蛋白制备方法可能破坏其天然结构,直接影响抗体检测的准确性。
为突破这些技术瓶颈,国立中兴大学等机构的研究团队在《Virology Journal》发表了一项创新研究。他们发现SFTSV NP通过形成六聚体环状结构实现RNA封装,这种高阶构象可能包含更多抗体识别表位。基于此假设,研究人员开发了两种新型检测平台:采用寡聚体富集重组NP(rNP)的ELISA,以及结合磁珠纳米颗粒(MNPs)的快速侧向流动检测(LFA)。这些技术不仅解决了传统方法对高等级生物实验室的依赖,更通过构象优化显著提升了检测灵敏度。
关键技术方法包括:1) 在含MnCl2缓冲液中表达寡聚体富集rNP;2) 使用64份经ICL-ELISA确认的野生猴血清验证抗原性;3) 建立ROC曲线评估rNP-ELISA诊断效能;4) 将rNP与150 nm羧基化MNPs偶联开发LFA检测条;5) 采用蛋白A/G实现跨物种抗体检测。实验样本包括免疫动物血清和日本山口县捕获的野生猴血清。
研究结果部分:
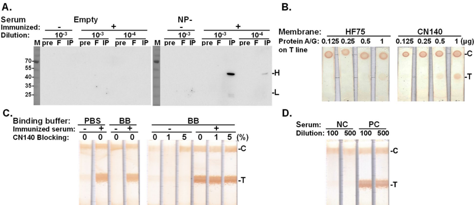
"Expression of SFTSV NP recombinant protein(rNP)and validation of its antigenicity using field monkey samples"证实,大肠杆菌表达的27 kDa rNP与ICL-ELISA结果高度一致(r=0.952),Western blot检测显示96.3%敏感性和94.6%特异性。

"Production and antigenicity of oligomer-enriched rNP"显示,在非还原条件下可观察到75 kDa三聚体、130 kDa五聚体及>180 kDa寡聚体。ELISA证实相同浓度下,寡聚体信号强度显著高于单体(P<0.05)。

"Establishment of rNP-ELISA using oligomer-enriched rNP"确立的检测体系AUC达0.965,cut-off值0.8时特异性97.3%,敏感性92.6%,优于ICL-ELISA。

"The design of NP Ab-LFA"创新性地采用蛋白A/G捕获多物种抗体,MNPs增强免疫复合物富集。CN140膜在5% BSA条件下表现最佳,储存5个月稳定性良好。

"Evaluation of the NP Ab-LFA performance"显示该技术对猴血清检测敏感性达100%,虽特异性84.2%(3例ICL-ELISA阴性样本呈弱阳性),但Kappa值0.86显示高度一致性。每检测成本仅0.18美元,显著低于商业ELISA试剂盒。
这项研究通过构象优化策略解决了SFTSV诊断中的关键难题:1) 首次证实NP寡聚体较单体具有显著增强的抗原性;2) 开发的rNP-ELISA克服了传统方法对活病毒材料的依赖;3) NP Ab-LFA实现了无需仪器的现场快速检测,其蛋白A/G设计可跨物种识别犬、猫、反刍动物等潜在宿主血清抗体。特别值得注意的是,三个ICL-ELISA阴性而LFA阳性的样本,可能反映寡聚体检测到低亲和力抗体,提示该方法或能发现更早期的感染。
该成果为SFTSV动物宿主监测提供了革命性工具,其技术路线对开发其他病毒性出血热的诊断方法具有重要借鉴意义。未来研究可进一步扩大临床验证样本量,并将该平台拓展至其他新发蜱传病毒的检测。这种将结构生物学见解转化为诊断应用的创新范式,为应对新发传染病威胁提供了重要技术储备。
生物通微信公众号
知名企业招聘