
-
生物通官微
陪你抓住生命科技
跳动的脉搏
人工智能辅助压缩感知联合深度学习重建在5.0T MRI中加速脑部T2加权成像的可行性研究
【字体: 大 中 小 】 时间:2025年07月02日 来源:BMC Medical Imaging 2.9
编辑推荐:
本研究针对传统T2加权成像(T2WI)扫描时间长、易产生运动伪影的临床痛点,创新性地将人工智能辅助压缩感知(ACS)与深度学习重建(DLR)技术结合应用于5.0T磁共振系统。研究团队通过前瞻性98例受试者对照实验证实,该技术使扫描时间缩短78%至35秒,同时保持优于传统并行成像(PI)的信噪比(SNR)和等效的对比噪声比(CNR),为临床提供高效优质的神经影像解决方案。
在神经科学研究和临床诊断中,磁共振成像(MRI)犹如一把打开大脑奥秘的钥匙,而T2加权成像(T2WI)因其对水肿和病变的高度敏感性,成为这把钥匙上最常用的齿纹。然而这把钥匙转动缓慢——传统T2WI需要长达数分钟的扫描时间,患者在密闭空间里难免焦躁移动,产生的运动伪影就像模糊的指纹,可能掩盖关键的诊断信息。更令人遗憾的是,现有加速技术如并行成像(PI)受限于线圈通道数,压缩感知(CS)则面临信噪比下降的困境,临床亟需突破性解决方案。
重庆大学三峡医院放射科联合研究团队在《BMC Medical Imaging》发表的研究,将人工智能(AI)领域的双剑合璧——人工智能辅助压缩感知(ACS)与深度学习重建(DLR)技术,首次应用于5.0T这一新兴场强的MRI系统。ACS技术巧妙融合压缩感知、并行成像和半傅里叶采集三大加速手段,通过卷积神经网络(CNN)预测图像作为压缩感知的约束条件;DLR则采用轻量化神经网络,在保持原始k空间数据完整性的同时,实现图像域和k空间域的双重优化。研究团队对98例受试者进行前瞻性对照实验,由两位资深放射科医师采用5分制量表盲法评估图像质量。
主要技术方法
研究采用48通道头部线圈的5.0T MRI系统,对比传统PI序列(159秒)、ACS序列(35秒)及ACS-DLR重建序列。ACS整合CNN预测与CS框架,训练数据集含200万张全采样图像;DLR基于包含多种解剖结构的百万级样本训练,通过数据保真模块确保重建真实性。客观指标测量灰质(GM)、白质(WM)和脑脊液(CSF)的信噪比(SNR)及对比噪声比(CNR)。
主观图像评估
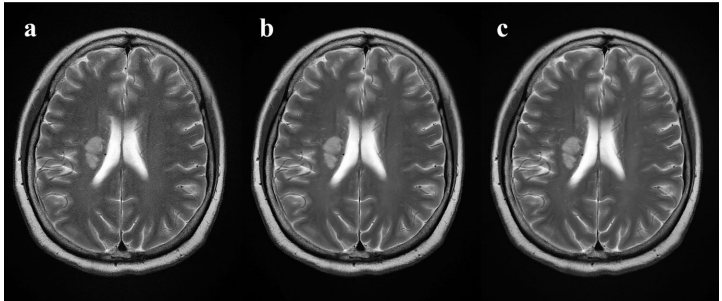
两位观察者对ACS-DLR序列的整体图像质量评分达5分,显著优于ACS序列的4分(P<0.001),与PI序列相当(P>0.05)。在伪影评估方面,三组序列在截断伪影、运动伪影、脑脊液流动伪影等方面均获满分,血管搏动伪影评分也显示ACS-DLR与PI无统计学差异。如图1所示,DLR技术有效消除了ACS原始图像的背景噪声,使图像质量媲美传统PI序列。

客观图像分析
定量数据显示ACS-DLR序列创造三项纪录:WM-SNR(216.57±30.10)比ACS提升67%,GM-SNR(367.00)比PI提高47%,CSF-SNR(1047.81±125.82)较传统方法提升53%。在组织对比度方面,ACS-DLR的WM-GM CNR(7.18)较ACS提升65%,与PI序列(7.35)保持同一水平(P>0.05)。图2-3的胶质母细胞瘤病例显示,ACS-DLR能清晰呈现肿瘤内部结构边界,细节表现力与PI序列相当。


研究结论与意义
这项研究证实ACS-DLR技术在5.0T场强下实现三重突破:时间效率(78%提速)、图像质量(最优SNR)和诊断效能(等效CNR)。5.0T系统相较于3.0T具有更高固有信噪比,较7.0T又规避了B1场不均匀等挑战,是AI加速技术的理想验证平台。该技术特别适用于急性卒中等时效性强的临床场景,未来可通过多中心研究拓展至特定病种分析。这项成果标志着AI驱动的新型MRI协议已具备临床转化条件,为神经影像学树立了"又快又好"的新标准。
生物通微信公众号
知名企业招聘