
-
生物通官微
陪你抓住生命科技
跳动的脉搏
慢性粒单核细胞白血病相关溶菌酶肾病:一例罕见肾损伤的影像学特征与诊疗启示
《BMC Nephrology》:A case of chronic myelomonocytic related lysozyme-induced nephropathy
【字体: 大 中 小 】 时间:2025年07月02日 来源:BMC Nephrology 2.2
编辑推荐:
本文报道了一例慢性粒单核细胞白血病(CMML)继发溶菌酶肾病(LyN)的罕见病例,通过多模态诊断手段揭示了超声下集合系统扩张性非血管物质的特征性表现。研究团队采用肾脏活检结合免疫组化技术,首次描述了LyN患者肾脏超声影像与组织病理学的相关性,为这一临床难题提供了新的诊断线索。该案例发表于《BMC Nephrology》,强调了在血液系统恶性肿瘤合并急性肾损伤(AKI)时需警惕LyN可能,对改善此类患者的早期识别具有重要临床价值。
在血液系统恶性肿瘤领域,慢性粒单核细胞白血病(CMML)患者面临着一个隐蔽的威胁——溶菌酶肾病(Lysozyme-induced nephropathy, LyN)。这种由异常增多的单核细胞分泌过量溶菌酶导致的肾小管损伤,正逐渐成为临床医生关注的焦点。尽管既往研究已确认血清和尿液溶菌酶检测的诊断价值,但影像学特征始终是诊断迷局中的缺失拼图。更棘手的是,LyN常与其他肾损伤因素交织出现,使得80%的病例需要通过侵入性肾活检才能确诊,这对本就脆弱的血液肿瘤患者构成额外风险。
澳大利亚Epworth医院的研究团队在《BMC Nephrology》发表的这例80岁男性病例,为破解这一诊断困境提供了新视角。患者在接受硫鸟嘌呤和羟基脲治疗的CMML基础上突发3期急性肾损伤(AKI),超声检查意外发现双侧集合系统充满扩张性非血管物质——这一特征性表现最终经肾活检证实为LyN的影像学标志。研究采用多学科交叉验证策略,通过组织病理学、特殊染色及免疫组化技术,系统描绘了LyN从实验室异常到影像特征的完整诊断图谱。
研究团队运用了四项关键技术:①肾脏超声多普勒成像捕捉集合系统异常;②经皮肾穿刺活检获取20个肾小球样本;③免疫组化染色(lysozyme, MPO)定位溶菌酶沉积;④系列肾功能监测(eGFR、肌酐、尿素)评估治疗反应。所有数据均来自该住院患者的真实诊疗过程。
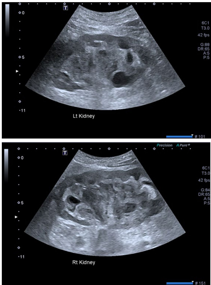
【肾脏影像学特征】
超声显示双侧肾脏长度达120mm(同龄标准值),集合系统被非血管性扩张物质填充,伴轻度皮质变薄和皮髓质分界模糊。这一发现突破了既往认为LyN仅表现为非特异性回声增强的认知,首次将集合系统异常与溶菌酶直接关联。

【组织病理学诊断】
活检标本显示:近端小管上皮内大量PAS阳性颗粒状透明滴状物,免疫组化证实溶菌酶在近端小管弥漫性强阳性,远端小管和间质局灶阳性。这些特征与患者24小时尿蛋白中非白蛋白组分升高相呼应,构成LyN的病理诊断金标准。

【治疗反应与预后】
尽管采用泼尼松联合阿扎胞苷(azacitidine)5-2-2方案治疗,患者肾功能仅部分改善(肌酐从347降至219 μmol/L),最终进展为4期慢性肾脏病(CKD)。这提示LyN对传统白血病治疗的反应存在个体差异,早期干预尤为关键。

这项研究的意义在于三个方面:首先,发现集合系统扩张性物质可能成为LyN的无创筛查标志,减少肾活检需求;其次,证实溶菌酶沉积程度与肾功能损害呈正相关,为治疗监测提供依据;最后,强调CMML患者肾功能突然恶化时应优先排查LyN。正如作者Abhik Kansal团队指出,这种"影像-病理-临床"三位一体的诊断模式,为血液肿瘤相关肾损伤的精准诊疗树立了新范式。
生物通微信公众号