
-
生物通官微
陪你抓住生命科技
跳动的脉搏
"巨蛇"引发的惊险:MitraClip术中右心房大血栓的救治策略与脑保护装置应用
《The Egyptian Heart Journal》:Every great story seems to begin with a snake: a case report of large right atrial thrombus encountered during MitraClip procedure
【字体: 大 中 小 】 时间:2025年07月02日 来源:The Egyptian Heart Journal 1.4
编辑推荐:
本研究报道了一例83岁高危患者在MitraClip(经导管二尖瓣钳夹术)术中突发右心房巨型模铸血栓的罕见病例。研究团队通过双颈动脉滤器(Emboshield NAV6)植入联合强化抗凝方案,成功完成TEER(经导管缘对缘修复术)并避免栓塞并发症,为介入心脏病学中急性血栓处理提供了创新性多学科决策范本。
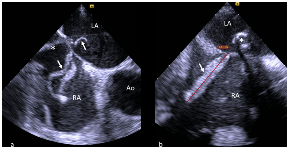
在老龄化社会背景下,二尖瓣反流(Mitral regurgitation)的治疗正经历从外科手术向微创介入的革命性转变。MitraClip作为经导管缘对缘修复术(TEER)的代表性技术,虽能规避开胸风险,但术中血栓形成这一"幽灵"始终萦绕——尤其当24F可操纵导引鞘管(SGC)穿越可能潜伏深静脉血栓的血管时,一场无声的危机便悄然酝酿。意大利莫利塞大学Antonio Totaro团队在《The Egyptian Heart Journal》报道的这例惊险病例,揭开了介入手术中这个被忽视的"阿喀琉斯之踵":83岁男性患者在SGC置入瞬间,经食道超声(TEE)突然捕捉到36mm蛇形模铸血栓盘踞右心房,部分甚至跨越房间隔进入左心房——这种"骑跨型"血栓随时可能引发致死性肺栓塞或脑卒中。
研究团队采用三项关键技术化解危机:实时ACT(活化凝血时间)监测下调整肝素用量使ACT>350秒;创新性双侧颈动脉滤器构建"脑保护防火墙";最终在Amplatzer多孔间隔封堵器保护下完成MitraClip植入。这些措施背后是精准的术前评估(EuroSCORE 8%)、动态影像监控(视频1-7)和果断的多学科协作。

血栓特征与处理策略
ME AV SAX切面显示血栓呈现独特的"模铸"形态(视频2),提示其可能源自未被发现的髂静脉血栓脱落。与常规左心房血栓不同,这种右心房骑跨血栓(7mm突入左心房)具有双重栓塞风险。研究团队放弃抽吸血栓的常规方案,创造性采用"静态处理"原则:固定SGC避免机械扰动,同时通过强化抗凝促使血栓自发溶解(视频4)。
脑保护技术创新
在缺乏专用脑保护装置情况下,团队将颈动脉支架植入术中的Emboshield NAV6系统(图2)改造为"双滤器屏障"。这种离轴设计既能拦截脱落的血栓碎片,又避免了传统保护装置需要预判栓塞路径的局限性。术后CT证实该策略成功预防了脑栓塞(图3a),尽管意外发现髂静脉存在原发血栓(图3b)。

房间隔缺损的创造性处理
研究突破性地采用Amplatzer多孔间隔封堵器(视频7)实现"一箭双雕":既封闭了SGC造成的医源性房间隔缺损(ASD),其特殊的多孔结构又允许必要时进行未来左心介入。这种设计避免了传统封堵器可能造成的血栓禁锢风险,为高栓塞风险患者的ASD处理提供了新思路。
该研究颠覆了三个传统认知:首先,TEER术前需增加髂静脉超声筛查;其次,ACT>300秒可能不足,特定患者需提升至350秒;最重要的是,颈动脉滤器这种"非主流"脑保护装置在危急时刻展现独特价值。正如作者强调,这种"冻结-保护-等待"的多学科决策模式(图4时间轴),为介入心脏病学中急性血栓管理树立了新范式,尤其对CH2DS2-VASc评分≥4的高危患者具有重要指导意义。未来需要更多研究验证脑保护装置在TEER中的常规应用价值,以及新型口服抗凝药(NOAC)围术期管理方案。
生物通微信公众号