
-
生物通官微
陪你抓住生命科技
跳动的脉搏
16α-羟基雌二醇与晚期起始坎格列净对UM-HET3小鼠寿命的性别特异性影响及病理机制研究
【字体: 大 中 小 】 时间:2025年07月03日 来源:GeroScience 5.3
编辑推荐:
美国华盛顿大学等机构的研究团队通过病理学分析,揭示了16α-羟基雌二醇(OH_Est)和坎格列净(Cana)对UM-HET3小鼠寿命的性别差异效应。研究发现,两种药物虽能延长雄性小鼠寿命15%,却导致雌性寿命缩短6-7%。通过终末期病理学检测,揭示了药物对垂体瘤、纤维骨病变等器官特异性影响,为性别差异化抗衰老干预提供了新见解。
在探索抗衰老药物的研究中,性别差异效应始终是困扰科学界的难题。美国华盛顿大学联合杰克逊实验室、密歇根大学等机构的研究团队发现,两种备受关注的药物——16α-羟基雌二醇(OH_Est)和糖尿病药物坎格列净(Cana),在UM-HET3小鼠模型中展现出截然相反的性别效应:虽然都能使雄性小鼠寿命延长15%,却意外导致雌性寿命缩短6-7%。这项发表在《GeroScience》的研究通过系统性病理学分析,揭示了这种"性别悖论"背后的潜在机制。
研究团队采用多中心协作模式,对164只小鼠进行终末期病理学检测。关键技术包括:1) 跨三所机构的标准化动物实验;2) 终末期全身器官H&E染色组织学分析;3) 特殊染色(刚果红、Masson三色)鉴定子宫病变;4) 双盲病理学评估体系。通过这种严谨的方法学设计,确保了数据的可靠性。
研究结果
终末期病理学未揭示明确的致死原因差异
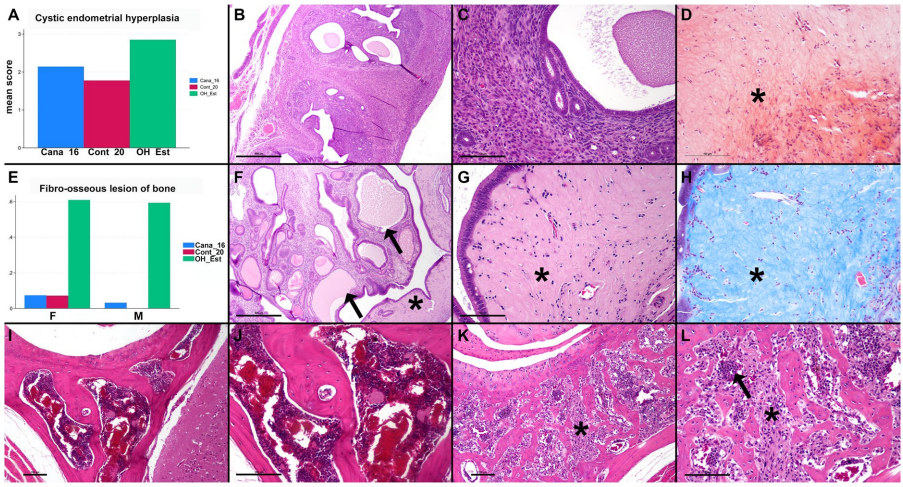
通过全面解剖和病理学检查,发现两组药物均未显著改变小鼠的主要致死疾病谱。肿瘤仍是主要死因,占72%,其中雌性更易患造血系统肿瘤(43例),雄性多见肺癌(15例)。值得注意的是,尽管OH_Est组雌性垂体瘤发生率高达30%(对照组仅7%),但统计学分析显示这可能是偶然现象。
药物诱导的器官特异性病变呈现性别二态性

雌性特异性病变的病理特征

讨论与意义
这项研究首次系统揭示了雌激素类似物和SGLT2抑制剂在哺乳动物中的性别差异化效应。虽然病理学分析未能明确解释雌性寿命缩短的机制,但发现了几点重要线索:
该研究为未来抗衰老药物开发提供了重要启示:必须充分考虑性别差异因素,在临床试验设计早期纳入性别分层分析。特别是对于涉及代谢通路(如Cana)或激素调节(如OH_Est)的干预措施,需要开发性别特异性的给药方案。研究建立的终末期病理学分析体系,也为评估其他抗衰老药物的安全性提供了方法论参考。
生物通微信公众号
知名企业招聘