
-
生物通官微
陪你抓住生命科技
跳动的脉搏
埃及三级医院158例儿童社区获得性肺炎继发坏死性肺炎、脓胸及复杂性肺炎旁胸腔积液的临床特征与治疗分析
【字体: 大 中 小 】 时间:2025年07月04日 来源:Respiratory Research 4.7
编辑推荐:
本研究针对全球儿童复杂性社区获得性肺炎(cCAP)发病率上升的现状,聚焦坏死性肺炎(NP)、脓胸及复杂性肺炎旁胸腔积液(CPPE)等严重并发症,通过回顾性分析埃及艾因夏姆斯大学儿童医院5年间158例病例,揭示了MRSA和肺炎链球菌(S pneumoniae)为主要病原体,证实NP患儿具有更高ICU入住率(39%)及死亡率(5例中4例为婴儿),为更新国际指南提供了中东地区关键数据。
在全球范围内,社区获得性肺炎(CAP)始终是威胁儿童健康的"沉默杀手",尤其对5岁以下儿童造成沉重负担。世界卫生组织数据显示,2019年全球约69.3万儿童死于肺炎,即使在医疗条件改善的2021年,死亡人数仍高达50.2万。埃及作为中低收入国家代表,CAP约占5岁以下儿童死亡原因的10%,但关于其并发症cCAP的系统研究长期空白。更令人担忧的是,随着细菌耐药性加剧和疫苗接种政策差异,坏死性肺炎(NP)这种以肺组织液化坏死为特征的严重并发症发病率显著上升,而现有治疗指南仍主要基于欧美数据,缺乏区域性循证依据。
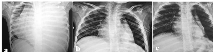
艾因夏姆斯大学儿童医院呼吸科团队通过回顾性分析2017年12月至2022年9月收治的158例cCAP患儿,首次全面描绘了埃及儿童NP、脓胸和CPPE的流行病学图谱。研究发现冬季和春季为发病高峰,COVID-19疫情期间入院率显著波动,揭示呼吸道病毒与细菌感染的复杂交互。令人瞩目的是,MRSA以63%的耐药率成为首要病原体,远超国际报道水平,而肺炎链球菌(S pneumoniae)虽未接种PCV13疫苗,却非主导病原体,这一发现挑战了传统认知。
研究采用多学科协作方法,整合临床数据、微生物培养和影像学评估。关键实验技术包括:1)超声引导胸腔穿刺术与猪尾导管置入术治疗中重度胸腔积液;2)外科胸腔闭式引流处理脓气胸;3)纤溶药物(阿替普酶)治疗分隔性积液;4)多药耐药(MDR)菌株的抗生素敏感性检测。所有病例均遵循标准化数据采集流程,经伦理委员会批准(FMASU R252/2023)。
季节性分布与COVID-19影响

病原学分布特征
血培养、胸水培养和痰培养阳性率分别为17%、23%和18%,MRSA在胸水培养阳性株中占比达42%。值得注意的是,3例纤溶治疗后快速进展为NP的病例,其初始CT均显示严重实变伴高度分隔性积液。
治疗与并发症
87%病例接受胸腔干预,NP组患儿住院中位数达21天,显著长于CPPE/脓胸组的14天(p<0.01)。35%NP病例出现支气管胸膜瘘(BPF),其中7例严重血小板增多(>900×109/L)者接受阿司匹林辅助治疗。
COVID-19相关特殊病例

讨论与启示
该研究首次证实埃及儿童cCAP的病原谱与欧美存在显著差异:1)未接种PCV13疫苗背景下,MRSA而非肺炎链球菌成为主导病原;2)NP合并脓胸比例高达64%,且与纤溶治疗潜在相关;3)极端血小板增多可能参与NP病理过程。这些发现对临床实践提出三点革新:需警惕纤溶治疗在重度分隔性积液中的风险;建议建立埃及本土抗生素耐药监测网络;强调NP患儿应避免早期胸腔引流以减少BPF风险。
研究同时暴露埃及基层医疗的深层问题:85%患儿入院前已使用抗生素,但头孢曲松耐药率达73%,反映抗生素滥用现状。作者Salma Abdelhady等呼吁将PCV13纳入国家免疫规划,并开发针对MRSA的预防策略。论文发表于《Respiratory Research》,为全球肺炎管理指南的修订提供了关键的中东数据,尤其对资源有限地区的临床决策具有里程碑意义。
生物通微信公众号
知名企业招聘