
-
生物通官微
陪你抓住生命科技
跳动的脉搏
同步有氧与吸气肌训练对膈肌功能及呼吸肌性能的影响:随机对照试验
【字体: 大 中 小 】 时间:2025年07月04日 来源:European Journal of Applied Physiology 2.8
编辑推荐:
本研究针对呼吸肌疲劳影响运动表现的问题,创新性地将步行有氧训练与吸气肌训练(W-SIMT)同步结合,通过4周干预显著提升健康受试者的最大吸气压(MIP)、呼吸肌耐力(Pmax)及疲劳指数。该研究为运动医学领域提供了新型复合训练范式,证实短期联合训练可优化呼吸-运动协同效应。
呼吸系统与运动系统的协同作用一直是运动生理学的研究热点。当我们在跑步或骑行时,呼吸肌的疲劳往往早于四肢肌肉出现,这种"呼吸限制"现象会通过代谢反射(metaboreflex)加速全身疲劳。传统解决方案如单独进行吸气肌训练(IMT)或有氧运动虽有效果,但两者能否产生"1+1>2"的协同效应尚不明确。来自阿马西亚大学健康科学学院的研究团队在《European Journal of Applied Physiology》发表的研究,给出了令人振奋的答案。
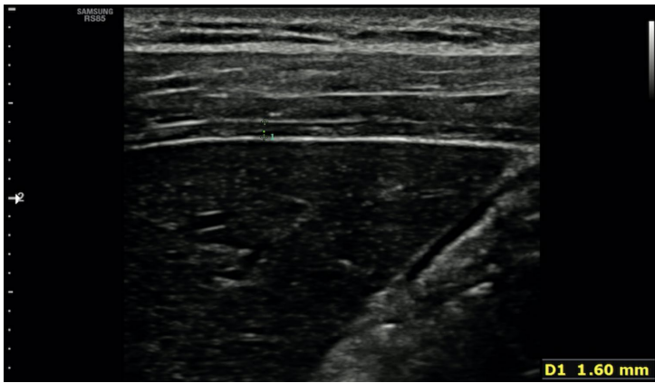
研究采用随机对照设计,创新性地将PowerBreathe吸气肌训练设备整合到跑步机步行中,形成"步行特异性吸气肌训练(W-SIMT)"方案。关键技术包括:1) 使用剪切波弹性成像(SWE)定量评估膈肌厚度与刚度;2) 通过功率自行车测试(RAST)分析无氧运动表现;3) 采用增量阈值负荷试验测定呼吸肌耐力参数(Pmax, Tmax);4) 标准化肺功能测试(FEV1/FVC等)监测呼吸功能变化。
主要研究结果
膈肌结构与功能:超声检测显示两组膈肌吸气相厚度均增加,W-SIMT组提升20.9%,但组间差异未达显著水平。剪切波弹性成像首次揭示膈肌吸气相刚度始终高于呼气相。
呼吸肌性能突破:W-SIMT组最大吸气压(MIP)提升26.3 cmH2O(20.58%),显著高于对照组(p<0.001)。呼吸肌耐力参数Pmax的组×时间交互效应显著(F=5.414,p=0.029)。
运动表现优化:联合训练使疲劳指数降低8.47%(p=0.031),证实W-SIMT能延缓代谢产物堆积。
肺功能适应性:两组呼气峰流速(PEF)均改善,但联合训练未显示额外优势,提示有氧运动本身已足够刺激通气功能。
这项研究的重要价值在于:首先,开创了"动态IMT"训练模式,突破传统静态训练的局限;其次,通过SWE技术首次量化了训练对膈肌弹性的影响;最重要的是,证实仅4周的联合干预即可显著提升呼吸-运动转化效率。正如研究者强调的,这种"呼吸-步态同步训练"特别适合运动员赛季中的高效训练。未来研究可进一步探索该方案在COPD患者康复中的应用潜力,以及长期训练对VO2max的影响机制。


研究也存在若干局限:缺乏单纯IMT组的对照,且8周后的效果持续性有待验证。但不可否认,这项来自土耳其的临床试验为运动医学领域提供了极具转化价值的新范式——当我们把呼吸训练"编织"进日常运动,或许就能解锁更高阶的运动表现。
生物通微信公众号
知名企业招聘