
-
生物通官微
陪你抓住生命科技
跳动的脉搏
长骨包虫病整块切除联合巨型假体重建术:突破性治疗策略的双案例研究
【字体: 大 中 小 】 时间:2025年07月05日 来源:BMC Musculoskeletal Disorders 2.2
编辑推荐:
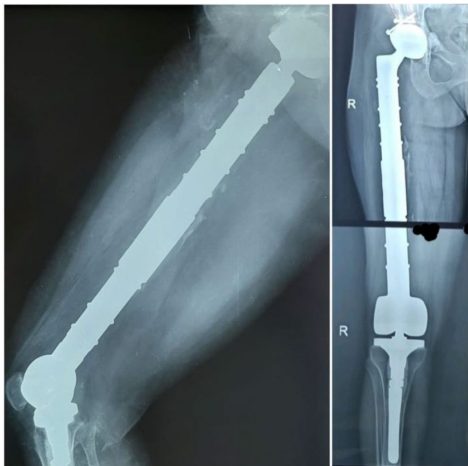
针对罕见但极具破坏性的骨包虫病(Osseous Hydatidosis),突尼斯研究团队提出创新性治疗方案:通过en bloc resection(整块切除)彻底清除病灶,结合mega prosthesis(巨型假体)重建肱骨与股骨功能。两例患者(肱骨全段感染、股骨近端广泛破坏)术后分别随访1.5年与5年,均实现无复发且肢体功能显著恢复(Constant肩评分65,Mayo肘评分70,LEFS下肢功能保留71.3%)。该研究为晚期骨包虫病的根治提供了类肿瘤外科治疗范式,显著降低48%的高复发风险。
骨包虫病——这种由细粒棘球绦虫(Echinococcus granulosus)引发的寄生虫感染,在骨骼系统中的发生率不足总病例的4%,却因其"沉默的侵袭"特性成为临床难题。寄生虫在骨髓腔内缓慢扩张,通过机械压迫、血管阻塞和骨质溶解三重机制蚕食骨骼,过程可长达数年而无明显症状。当患者因疼痛或病理性骨折就诊时,病灶往往已蔓延至整段长骨。传统刮除术因无法清除微小子囊,复发率高达48%,而抗寄生虫药物阿苯达唑(Albendazole)因骨组织穿透力差疗效有限。面对这种被喻为"白色癌症"的疾病,突尼斯的研究团队提出颠覆性思路:借鉴骨肿瘤根治理念,实施整块切除联合定制假体重建。
突尼斯骨科团队针对两例晚期患者(45岁女性全肱骨感染、39岁女性近端股骨破坏)制定标准化流程:




| 指标 | 肱骨假体(本研究) | 文献报道肱骨假体[5,28] |
|---|---|---|
| Mayo肘评分 | 70 | 65(Patino) |
| 肩关节功能 | Constant 65 | ASES 58.3(Patino) |
| DASH评分 | 34.1 | 42.3(Patino) |
| 复发率(>5年) | 0% | 文献未达长期随访 |
本研究确立了三项重要原则:
研究团队强调,尽管骨包虫发病率低,但MRI多房囊性征象(

注:所有手术影像及数据均来自原文,功能评分标准包括Constant Score(肩)、Mayo Elbow Performance Index(肘)、Lower Extremity Functional Scale(LEFS,下肢)及DASH Score(上肢功能障碍)。
生物通微信公众号
知名企业招聘