
-
生物通官微
陪你抓住生命科技
跳动的脉搏
基于改良ACR TI-RADS结节大小标准评估儿童甲状腺结节诊断效能的临床研究
《BMC Medical Imaging》:Evaluating modified ACR TI-RADS nodule size for thyroid nodules in pediatric population
【字体: 大 中 小 】 时间:2025年07月06日 来源:BMC Medical Imaging 2.9
编辑推荐:
本研究针对儿童甲状腺结节恶性率显著高于成人(18-26% vs 5%)但缺乏专属评估标准的问题,通过改良美国放射学会甲状腺影像报告和数据系统(ACR TI-RADS)的结节大小阈值,对204例21岁以下患者的甲状腺结节进行回顾性分析。结果显示,标准ACR TI-RADS的AUC为0.825,降低活检尺寸标准后敏感性提升至88.2%,但特异性降至53.6%,为儿科甲状腺结节的精准诊疗提供了重要循证依据。
甲状腺癌作为全球发病率增长最快的恶性肿瘤之一,在儿童群体中呈现出独特的生物学特征——虽然仅占所有癌症的3%,但儿童甲状腺结节的恶性率高达成人的3-5倍,且往往确诊时已伴随淋巴结转移等不良预后特征。这种"高恶性率、高侵袭性"的临床特点,与成人甲状腺癌普遍存在的"过度诊断"现象形成鲜明对比。当前临床面临的困境在于:广泛应用的美国放射学会甲状腺影像报告和数据系统(ACR TI-RADS)及其1.0-2.5cm的活检尺寸阈值,完全基于成人数据建立,这可能导致儿童甲状腺癌的漏诊风险。
宿迁市人民医院的研究团队开展了一项开创性研究,通过调整ACR TI-RADS中TR3-TR5类结节的活检尺寸标准,系统评估了改良策略在204例21岁以下患者中的诊断价值。研究发现标准ACR TI-RADS的敏感性仅76.5%,意味着每4例患儿中就有1例恶性肿瘤被漏诊;而当将TR3类结节活检阈值从≥2.5cm降至≥1.5cm、TR4类从≥1.5cm降至≥1.0cm后,敏感性显著提升至88.2%,但代价是良性结节活检率增加53.6%。这项发表于《BMC Medical Imaging》的研究,首次为儿科甲状腺结节的精准管理提供了量化的循证依据。
研究采用三项关键技术方法:1)回顾性纳入204例经病理证实的甲状腺结节患者,使用Philips EPIQ系列超声设备进行标准化扫描;2)由6-17年经验的超声医师盲法评估结节特征,分别应用标准ACR TI-RADS和两种改良尺寸标准(策略1降低TR3/TR4阈值,策略2额外调整TR1/TR2随访标准);3)通过ROC曲线比较不同策略的诊断效能,计算不必要的活检率和恶性漏诊率。
患者特征:51例恶性结节均为乳头状癌(包括35例经典型和14例滤泡亚型),恶性组中位年龄15.3岁,结节中位尺寸2.2cm,≥1.5cm结节恶性率显著增高(47.3% vs <1cm组的9.5%)。
诊断性能:标准ACR TI-RADS的AUC为0.825,但21例TR5类结节中检出77.8%的恶性肿瘤,而82例TR3类仅检出13.4%。策略1使3例额外恶性肿瘤获得活检机会,但增加15例良性结节活检;策略2进一步降低TR1/TR2类阈值后,敏感性达88.2%,但71例良性结节被过度活检。
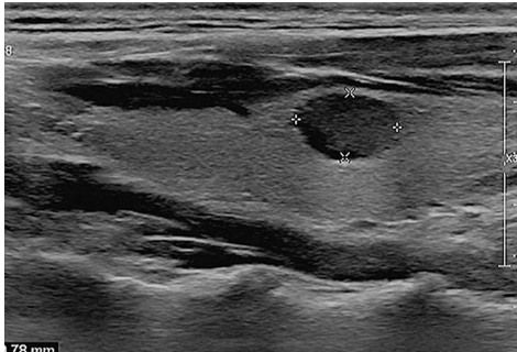
典型病例:如图3所示,1.0cm的TR4类结节在标准体系仅建议随访,而改良策略正确推荐活检,最终确诊为乳头状癌。

这项研究证实ACR TI-RADS在儿童群体呈现"中等诊断效能"的特点,通过降低尺寸阈值可提升19%的恶性肿瘤检出率,但需权衡过度活检的风险。其临床价值在于:1)首次量化了成人标准在儿科应用的局限性;2)为制定儿童专属的TI-RADS标准提供了尺寸调整的精确参考值;3)强调对于超声特征可疑的儿童结节,应考虑突破尺寸限制进行活检。未来需要多中心研究验证这些发现,并探索将淋巴结状态、血流特征等儿科特异性指标纳入评估体系。
生物通微信公众号