
-
生物通官微
陪你抓住生命科技
跳动的脉搏
PHB2作为泛癌潜在生物标志物的多数据库分析:揭示其突变修饰位点与肿瘤预后的特异性关联
【字体: 大 中 小 】 时间:2025年07月06日 来源:Scientific Reports 3.8
编辑推荐:
本研究针对线粒体内膜蛋白PHB2在肿瘤中的分子机制不明问题,通过整合cBioPortal、PhosphoNET等7大数据库,系统分析了PHB2在33种癌症中的表达模式、亚细胞定位及生存预后关联。发现PHB2在27种肿瘤中高表达,其酪氨酸121/苏氨酸263等位点同时存在突变与翻译后修饰(磷酸化/乙酰化/泛素化),且三维结构预测显示这些重叠位点具有强致病性。值得注意的是,PHB2呈现癌症类型依赖性预后特征——在膀胱癌(BLCA)和肺腺癌(LUAD)中高表达预示不良预后,而在肾透明细胞癌(KIRC)和乳腺癌(BRCA)中则相反。该研究为开发基于PHB2修饰位点的泛癌诊断策略提供了新视角。
恶性肿瘤的早期诊断一直是临床面临的重大挑战。尽管"早诊早治"理念已被广泛接受,但多数患者确诊时已进展至晚期,这与缺乏特异性生物标志物密切相关。PHB2作为线粒体内膜的关键支架蛋白,既往研究提示其与膀胱癌、肝癌等多种肿瘤的发生发展相关,但其在泛癌层面的分子特征及临床价值仍属未知。徐州医科大学第一临床医学院的研究团队通过多数据库联合分析,首次系统揭示了PHB2在泛癌中的表达规律、突变特征及其与患者预后的复杂关联。
研究团队运用生物信息学技术,通过GEPIA和TIMER分析PHB2在33种癌症中的表达谱,利用HPA数据库验证其亚细胞定位,借助cBioPortal挖掘突变特征,结合PhosphoNET鉴定翻译后修饰位点,最后通过AlphaFold预测三维结构及突变致病性。所有数据均来自公共数据库,包括TCGA、CPTAC等权威肿瘤组学资源。
PHB2在多数肿瘤组织中表达水平高于正常组织
GEPIA分析显示PHB2在27种肿瘤(如BRCA、CHOL、LUSC)中显著高表达,仅在3种肿瘤(CESC、LAML、PCPG)中低表达。TIMER数据进一步验证其在10种癌症(包括GBM、KICH)中的过表达特征。

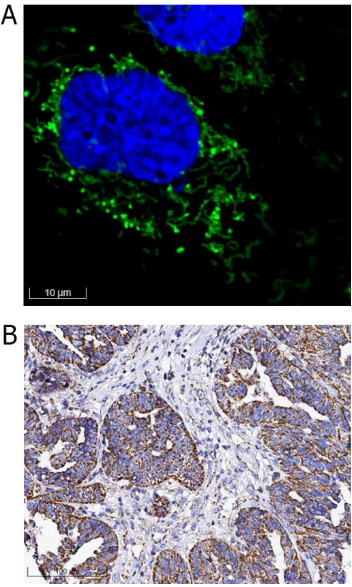
PHB2定位于肿瘤和正常细胞的线粒体
HPA数据库的免疫荧光和免疫组化结果证实,PHB2呈现点状丝状分布环绕细胞核,与线粒体定位特征一致。

PHB2表达水平与生存率的关系因肿瘤类型而异
生存分析显示:在BLCA和LUAD中,高PHB2表达患者生存率显著降低;而在KIRC和BRCA中,高表达组反而预后更好。这种"双面性"提示PHB2可能通过组织特异性机制参与肿瘤调控。

PHB2在泛癌组织中具有高突变率和修饰-突变重叠位点
cBioPortal显示PHB2在卵巢癌(OV)中突变率达6%,共发现34个肿瘤突变热点。特别值得注意的是,苏氨酸42、酪氨酸121和苏氨酸263既是突变热点又是磷酸化位点,而赖氨酸296同时存在突变、乙酰化和泛素化修饰。

PHB2三维结构预测揭示修饰位点的强致病性
AlphaFold预测显示PHB2核心区域(pLDDT>90)结构稳定。致病性热图分析证实,上述修饰-突变重叠位点(特别是酪氨酸121→半胱氨酸突变)的致病性评分接近1.0,提示这些位点可能通过影响蛋白功能促进肿瘤发生。

这项发表于《Scientific Reports》的研究首次系统描绘了PHB2在泛癌中的分子图谱,其创新性主要体现在三个方面:一是发现PHB2存在独特的"癌症类型依赖性预后模式",打破了既往认为其单纯作为促癌因子的认知;二是鉴定出多个兼具突变和翻译后修饰的关键氨基酸位点,为开发针对这些表观遗传调控节点的靶向策略提供了依据;三是通过整合多组学数据,构建了从基因表达到蛋白修饰再到临床预后的完整证据链。不过研究者也指出,PHB2作为独立生物标志物的临床应用仍需谨慎,未来需要结合实验研究阐明其组织特异性作用机制,并探索与其他标志物的联合检测策略。这些发现不仅深化了对PHB2肿瘤生物学功能的理解,也为泛癌早期诊断标志物的开发提供了新思路。
生物通微信公众号
知名企业招聘