
-
生物通官微
陪你抓住生命科技
跳动的脉搏
中国迪氏锥虫自然疫源地的生态学特征与传播风险:首次人畜共患病例的流行病学调查
【字体: 大 中 小 】 时间:2025年07月08日 来源:Infectious Diseases of Poverty 4.8
编辑推荐:
为解决新发人畜共患寄生虫病迪氏锥虫(Trypanosoma dionisii)在中国的传播风险问题,中国疾控中心团队在山东东营开展生态流行病学研究。通过寄生学检测、血清学筛查(RDT/ELISA)及分子生物学技术(nested-PCR),首次证实蝙蝠(感染率61.1%)和宠物猫(感染率80%)为重要宿主,揭示蜱虫携带锥虫新证据,为防控人兽共患锥虫病提供关键科学依据。
背景:被忽视的人兽共患威胁
2019年,山东一名孕妇持续高烧伴心肌炎,最终确诊为全球首例人类迪氏锥虫(Trypanosoma dionisii)感染。这种传统认为仅寄生蝙蝠的锥虫,竟能跨越物种侵袭人类!更令人担忧的是,迪氏锥虫与致命性恰加斯病病原体克氏锥虫(T. cruzi)亲缘密切,实验证实其可入侵哺乳动物细胞核。随着全球蝙蝠栖息地与人类居所交错,此类“冷门”寄生虫是否暗藏流行风险?中国疾控中心联合山东省寄生虫病研究所迅速行动,在病例所在地东营市广饶县展开溯源调查,试图解答三大谜题:当地人群是否存在隐匿感染?野生动物与家畜中是否存在自然疫源地?传播媒介究竟是谁?
方法:多维度生态流行病学调查
研究团队于2024年4月采用多层级抽样策略:
结果:自然疫源地的三重证据
人群筛查:未发现扩散迹象
所有241份人血样本镜检与PCR均阴性,3份RDT假阳性样本经ELISA验证为阴性。首例患者经苯硝唑治疗后4个月复查转阴(ELISA值从19.62降至4.34),提示当前无社区传播证据。
野生动物:蝙蝠成为核心宿主
18只蝙蝠中11只(61.1%)检出锥虫,包括:


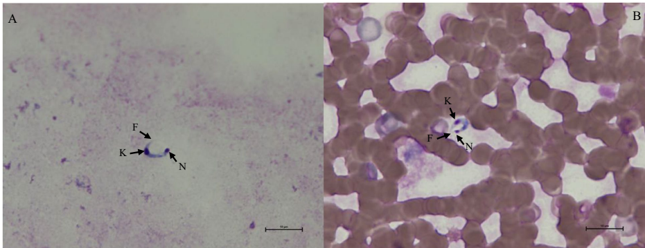
家养动物:宠物猫成关键环节
媒介调查:蜱虫携带新虫种
蚊、螨检测阴性,但30组蜱虫池中4组(13.3%)阳性:
系统发育:揭示本地传播链
基于SSU rRNA基因构建的系统树(图3)显示:

结论与意义:防控新靶点的确立
本研究发现山东东营存在迪氏锥虫自然疫源地,三重证据链指向其复杂传播生态:
尽管人群感染风险暂低,但蝙蝠栖息农舍屋檐、宠物与人类密切接触的现状,构成潜在“动物-媒介-人”传播链。研究团队呼吁:需建立蝙蝠及伴侣动物锥虫病监测网络,研发快速鉴别诊断技术,警惕此类“冷门”寄生虫随生态变迁引发新发疫情。本成果为全球锥虫病防控提供中国实证,发表于《Infectious Diseases of Poverty》2025年第7卷。
生物通微信公众号
知名企业招聘