
-
生物通官微
陪你抓住生命科技
跳动的脉搏
桡骨远端骨折影像评估中旋后体位对背侧倾斜角度的低估效应:病例报告与标准化测量启示
【字体: 大 中 小 】 时间:2025年07月10日 来源:Emergency Radiology 1.7
编辑推荐:
本研究通过一例35岁男性桡骨远端骨折病例,揭示前臂旋后体位拍摄的侧位X线片会显著低估背侧倾斜角度(Dorsal Tilt),导致治疗决策偏差。研究人员采用Scaphopisocapitate(SPC)对齐标准验证真侧位影像,证实旋后每增加1°可导致测量值低估0.3-0.68°,为临床影像标准化提供重要依据。
在急诊骨科实践中,桡骨远端骨折(Distal Radius Fractures, DRFs)是最常见的骨折类型之一。决定这类骨折治疗方案的关键指标——背侧倾斜角度(Dorsal Tilt)的测量,却长期面临一个隐蔽的陷阱:患者前臂的旋转体位可能使测量结果产生高达11.5°的偏差!这个被忽视的技术细节,正悄然影响着全球范围内数以百万计患者的治疗决策。
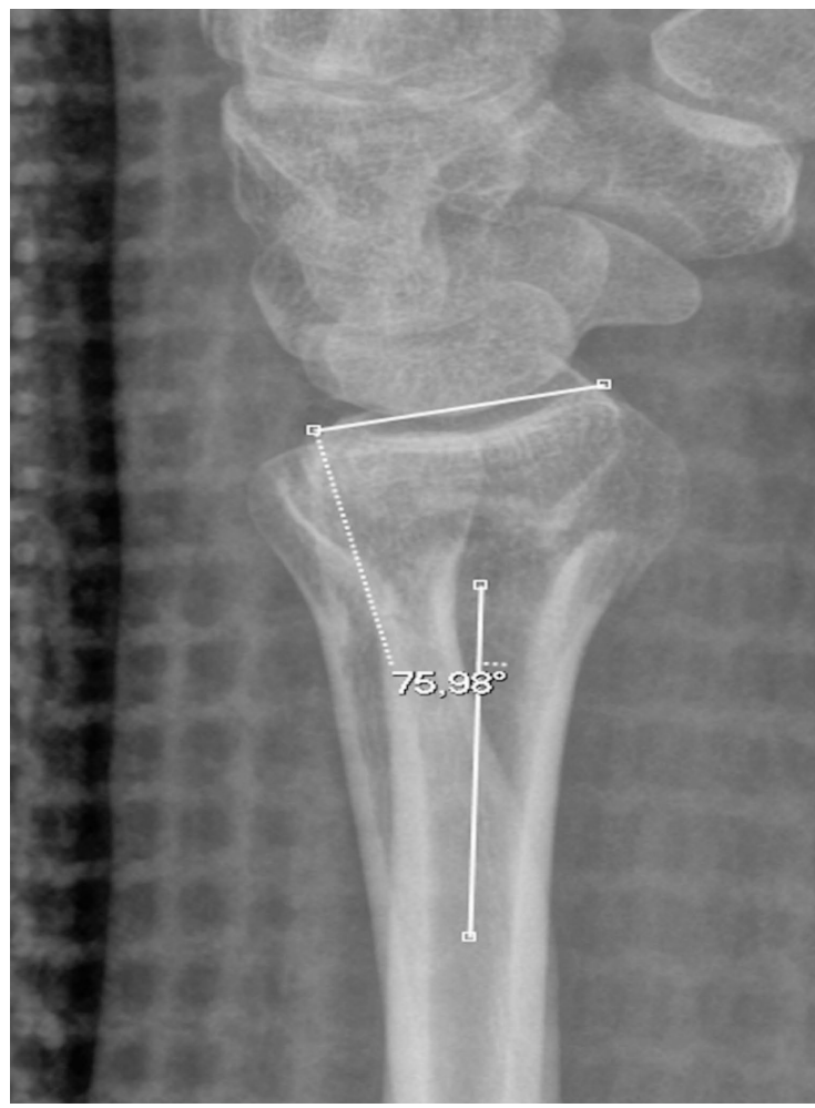
丹麦欧登塞大学医院(Odense University Hospital)和南丹麦大学(University of Southern Denmark)的Sebastian P.L. Clark团队在《Emergency Radiology》发表的这项研究,通过一个戏剧性的临床案例揭开了这个测量谜团。一位35岁男性运动员在就诊时,间隔仅1分钟拍摄的两张侧位X线片显示出截然不同的背侧倾斜角度(2.5° vs 14°)。这种"魔术般"的变化最终被证实源于前臂的旋后体位——当采用Scaphopisocapitate(SPC)对齐标准重新评估时,旋后体位导致的测量误差昭然若揭。
研究人员采用了两项关键技术:首先是Yang等提出的SPC对齐标准,通过观察豌豆骨(pisiform)与舟骨(scaphoid)、头状骨(capitate)的解剖关系判断真侧位影像;其次是Kreder等建立的背侧倾斜角度测量方法,即桡骨远端关节面背侧与掌侧边缘连线与桡骨纵轴的夹角。这些方法在骨折标本和临床病例中经过放射立体测量分析(Radiostereometric Analysis, RSA)验证。
研究结果呈现三个关键发现:



这项研究的深远意义在于揭示了影像测量标准化对预后的影响。创伤性关节炎(Post-traumatic Arthritis, PA)是桡骨远端骨折的常见并发症,而关节面不协调是其重要预测因子。研究团队通过系统分析指出,既往关于背侧倾斜角度与PA相关性的矛盾结论,很可能源于各研究采用的测量标准不统一。因此,建立基于SPC对齐的标准化测量流程,不仅可提高治疗决策准确性,还可能改善长期预后。
该研究最后给出简洁明了的临床箴言:"当存疑时,评估Scaphopisocapitate对齐关系,并牢记旋后体位会低估背侧倾斜角度(Supination Underestimates Dorsal Tilt)"。这一发现对急诊科、放射科和骨科医师具有直接指导价值,也为未来相关指南的修订提供了循证依据。
生物通微信公众号
知名企业招聘