
-
生物通官微
陪你抓住生命科技
跳动的脉搏
周期性瘙痒性皮损伴嗜酸性乳腺炎:一例无外周嗜酸细胞增高的罕见病例报告
【字体: 大 中 小 】 时间:2025年07月11日 来源:Surgical and Experimental Pathology
编辑推荐:
本文报道一例罕见嗜酸性乳腺炎合并周期性瘙痒性皮肤病变的临床案例。研究人员针对51岁女性患者因乳腺肿块疑似恶性肿瘤的误诊风险,通过组织病理学分析明确良性嗜酸性浸润特征,提出影像学与实验室检查的局限性(外周嗜酸细胞计数正常、血清IgE无升高),证实皮质类固醇治疗的有效性。该研究为无全身表现的局部嗜酸性炎症提供了诊断依据,避免不必要手术干预,对乳腺良性病变鉴别诊断具有重要临床意义。
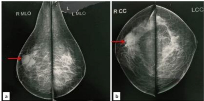
乳腺肿块常引发对恶性肿瘤的担忧,但某些罕见炎症性疾病可能表现出相似临床特征。嗜酸性乳腺炎作为良性炎症性疾病,在文献中仅少数病例记载,多与哮喘、Churg-Strauss综合征或高嗜酸细胞综合征相关,且通常伴有外周血嗜酸细胞增高。当患者同时出现周期性瘙痒性皮肤病变时,诊断更为复杂。本文报道的病例挑战了这一传统认知:患者乳腺肿块影像学呈现恶性特征(BIRADS 4级),但外周嗜酸细胞计数(AEC)仅72/μL,血清IgE水平正常(21 IU/ml),揭示了嗜酸性乳腺炎诊断的新维度。
为明确诊断,研究团队实施多模态评估:


临床表现
患者以无痛性右乳肿块就诊,既往两年春季反复发作瘙痒性红斑丘疹/水疱,皮质激素治疗有效。影像学提示恶性可能,但病理活检揭示本质为良性炎症。
组织学特征
组织病理学为诊断金标准:

治疗反应
皮质类固醇治疗后乳腺肿块与皮肤病变同步消退,随访一年无复发,验证了炎症本质。
本研究确立了三项核心结论:
该案例发表于《Surgical and Experimental Pathology》凸显其学术价值:影像学恶性特征(毛刺状边缘、囊实性结构)与良性本质的强烈对比,强调了组织病理学在乳腺疾病诊断中的不可替代性。未来需扩大样本量探索嗜酸性炎症的局部触发机制,为靶向治疗提供理论基础。
生物通微信公众号
知名企业招聘