
-
生物通官微
陪你抓住生命科技
跳动的脉搏
首个儿科多发性硬化病灶分割数据集PediMS的构建与验证
【字体: 大 中 小 】 时间:2025年07月11日 来源:Scientific Data 5.8
编辑推荐:
本研究针对儿科多发性硬化(MS)病灶分割数据稀缺问题,发布了首个公开的儿科MS影像数据集PediMS20,包含9名患者的28次纵向MRI扫描(T1/T2/FLAIR序列)及临床数据。通过专家标注和深度学习验证(DSC 0.541),该资源将推动儿科MS病灶自动分割模型开发和联邦学习研究。
在神经医学领域,多发性硬化(MS)长期被视为"成人病",但全球实际上有约3万名儿童患者深陷其中。这些患儿面临双重困境:既缺乏针对性的诊疗方案,又鲜有研究关注——现有MS病灶分割模型全基于成人数据训练,而儿科MS的病灶特征(如更高炎症活性、更大病灶体积)与成人存在显著差异。更棘手的是,儿科MS病例仅占总数5%,单个医疗机构难以积累足够样本,导致AI模型开发陷入"数据荒"。
这一僵局被罗马尼亚巴贝什-鲍里亚大学(Babes-Bolyai University)的Maria Popa团队打破。他们联合锡比乌儿童医院,发布了首个儿科MS病灶分割数据集PediMS20,包含9名6-17岁患者的28次纵向MRI扫描,涵盖T1-MPRAGE、T2和FLAIR序列,所有病灶标注均经过资深神经科医生和放射科医生双重验证。尤为珍贵的是,数据集不仅包含影像数据,还记录了患者EDSS评分、复发次数等临床指标,甚至收录了罕见的Balo同心圆硬化病例。这项突破性成果已发表于《Scientific Data》,为儿科神经影像研究树立了新标杆。
研究团队采用三项关键技术:首先使用SynthStrip工具对所有MRI进行颅骨剥离,确保数据隐私;其次应用FSL的N4-Bias Field校正消除磁场不均匀性;最后通过JIM 9.0软件完成病灶标注,标注过程严格遵循"初级研究员标记+双专家复核"流程。所有数据均来自罗马尼亚锡比乌儿童医院,经伦理委员会批准(编号ICR 3161/05.05.2025)并获得监护人知情同意。
数据集包含7女2男患者,全部为复发缓解型MS(RRMS),其中最早发病年龄仅6岁。MRI显示儿科MS病灶多集中于小脑和脑干(与成人偏好脑室周围不同),且具有更强的修复能力——患者P2的EDSS评分从初始3.5降至随访时的0,印证了儿童神经可塑性优势。数据集特别收录的Balo病例(患者P9)呈现典型的"洋葱圈"样病灶,为研究罕见MS亚型提供了珍贵素材。
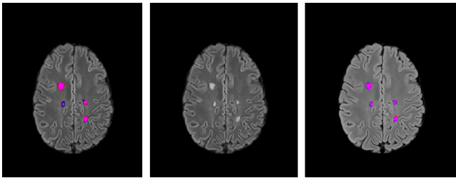
团队用两个模型验证数据质量:基于成人数据训练的2D UNet++模型取得DSC 0.541,而专用工具LST-AI的F1分数达0.714。结果显示模型对常规MS病灶识别良好(如图2),但对Balo病灶(如图1)检测欠佳,凸显儿科数据的独特性。值得注意的是,现有MS分割模型的DSC通常在0.67左右,说明当前算法在儿科数据上仍有提升空间。


这项研究的意义远超数据共享本身:其一,填补了儿科MS研究的基础设施空白,使针对儿童的特异性算法开发成为可能;其二,临床元数据(如EDSS动态变化)为探究病灶-预后关联提供线索;其三,数据集设计的标准化流程(颅骨剥离/N4校正)提升了多中心研究的兼容性。正如作者强调,儿科MS病灶更活跃但修复能力更强,这要求AI模型不能简单移植成人方案。PediMS20的发布,标志着MS研究向精准分型迈出关键一步,也为联邦学习在罕见病中的应用铺平了道路。
生物通微信公众号
知名企业招聘