
-
生物通官微
陪你抓住生命科技
跳动的脉搏
植物乳杆菌 dfa1 通过调节炎症与肠道菌群缓解高碳水饼干饮食诱导的肥胖
【字体: 大 中 小 】 时间:2025年07月11日 来源:Scientific Reports 3.8
编辑推荐:
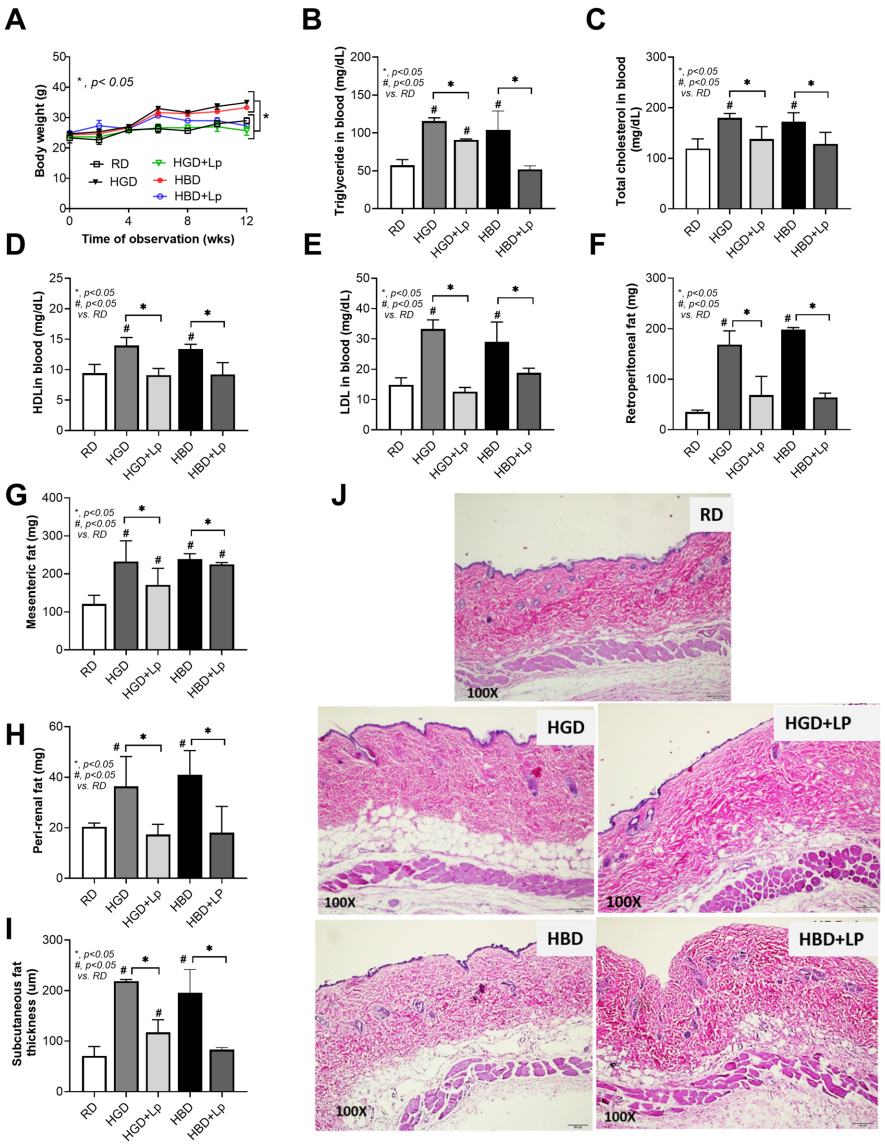
本研究针对高碳水饮食(HGD/HBD)引发的肥胖及前驱糖尿病问题,探索了泰国源植物乳杆菌 dfa1(Lp dfa1)的干预效果。通过小鼠模型和细胞实验,发现 Lp dfa1 能显著改善肠道屏障功能,降低内毒素血症和全身炎症,并特异性提升 HBD 组中 Akkermansia 菌丰度(较 HGD 组高 2.1 倍),证实其通过直接抗炎与菌群调节的双重机制缓解代谢紊乱。成果为益生菌-膳食纤维协同抗肥胖提供了新证据,发表于《Scientific Reports》。
在现代饮食结构中,高碳水化合物(High Carbohydrate Diet, HCD)的过度摄入已成为肥胖和代谢综合征的重要推手。据统计,全球约 20-25% 人群受代谢综合征困扰,表现为空腹血糖升高、高密度脂蛋白(HDL)降低、高血压和内脏脂肪堆积等。其病理机制复杂,涉及脂肪细胞肥大、线粒体损伤以及由肠道屏障缺陷导致的"代谢性内毒素血症"——即肠道内革兰氏阴性菌的脂多糖(LPS)透过受损肠壁进入血液循环,引发全身性炎症。值得注意的是,不同碳水类型(如葡萄糖与果糖)和膳食纤维的组成可能通过改变肠道菌群结构(如厚壁菌门/拟杆菌门比值,F/B ratio)影响疾病进程,但具体机制尚未明晰。
为此,泰国朱拉隆功大学医学院(Faculty of Medicine, Chulalongkorn University)的研究团队开展了一项创新研究。他们利用两种高碳水模型——纯葡萄糖饮食(HGD, C:P:F=60:25:15)和添加菠萝芝士饼干(富含水果纤维)的高碳水饼干饮食(HBD, C:P:F=70:9:21),探究本土益生菌 Lactiplantibacillus plantarum dfa1(Lp dfa1)的干预效果。研究发现,Lp dfa1 不仅能直接抑制肠肝细胞的炎症通路,还能通过"膳食纤维-菌群"协同作用特异性提升抗肥胖菌 Akkermansia 的丰度,双管齐下缓解代谢紊乱。这一成果发表于《Scientific Reports》,为益生菌在精准营养干预中的应用提供了重要依据。
研究采用体内外结合策略:
1. 益生菌全面改善代谢指标



2. 饮食-菌群互作塑造益生菌功效

3. 益生菌上清液直接抑制肠肝炎症

本研究首次揭示:相同热量的高碳水饮食(纯葡萄糖 HGD vs. 水果纤维强化 HBD)虽诱发相似的肥胖与肠漏症,但菌群响应截然不同。Lp dfa1 通过双机制发挥作用:
这一发现具有双重应用价值:
生物通微信公众号
知名企业招聘