
-
生物通官微
陪你抓住生命科技
跳动的脉搏
微波消融与联合治疗对T1a期肾细胞癌的疗效比较:单中心回顾性研究
【字体: 大 中 小 】 时间:2025年07月15日 来源:BMC Urology 1.7
编辑推荐:
本研究针对T1a期肾细胞癌(RCC)的治疗选择难题,比较了单纯微波消融(MWA)与MWA联合经动脉化疗栓塞(TACE)的临床效果。研究人员通过24例患者的回顾性分析发现,虽然联合组处理的肿瘤RENAL评分更高(7.6±1.6 vs 6.1±1.8),但两组完全消融率无显著差异(85.7% vs 100%)。值得注意的是,联合治疗导致eGFR显著下降(72.3→68.5 mL/min/1.73 m2),而单纯MWA组肾功能保持稳定。该研究为小肾癌的微创治疗选择提供了重要循证依据。
肾脏作为人体重要的排泄器官,其恶性肿瘤的治疗一直面临功能保护与肿瘤根治的双重挑战。随着影像技术的进步,越来越多的早期小肾癌(直径≤4cm的T1a期肿瘤)被检出,如何平衡治疗效果与肾功能保护成为临床关注焦点。传统手术切除虽然疗效确切,但创伤较大;而新兴的微波消融(MWA)技术以其微创优势逐渐受到青睐,但对于解剖位置复杂的肿瘤,单纯消融可能面临"热沉效应"等技术瓶颈。为此,临床上尝试将MWA与经动脉化疗栓塞(TACE)联合应用,期望通过阻断肿瘤血供来增强消融效果,但这种联合策略的实际价值尚存争议。
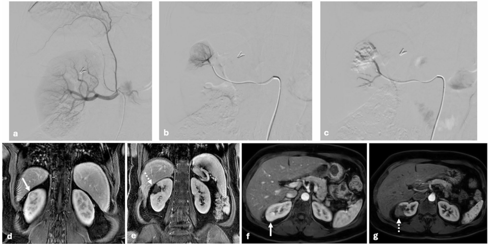
Basaksehir Cam和Sakura City Hospital的研究团队开展了一项单中心回顾性研究,比较了单纯MWA与MWA+TACE联合治疗T1a期肾细胞癌的疗效差异。研究纳入了2020年11月至2024年12月期间治疗的24例患者,其中14例接受单纯MWA,10例接受联合治疗。通过对比肿瘤反应、残余强化率和肾功能变化等指标,发现虽然联合组处理的肿瘤解剖复杂度更高(RENAL评分7.6±1.6 vs 6.1±1.8),但两组在肿瘤完全消融率方面无显著差异(85.7% vs 100%)。更重要的是,联合治疗组术后估算的肾小球滤过率(eGFR)显著下降(72.3→68.5 mL/min/1.73 m2),而单纯MWA组肾功能保持稳定。这项研究成果发表在《BMC Urology》杂志,为临床决策提供了重要参考。
研究采用了多项关键技术方法:1)基于RENAL评分系统客观评估肿瘤解剖复杂度;2)超声引导下经皮MWA治疗,功率75-150W,时间2-7.5分钟;3)DEB-TACE使用100-300μm载药微球(DC Bead)负载多柔比星;4)术后1、3、6、12个月增强CT/MRI随访评估疗效;5)采用KDIGO标准评估肾功能变化。所有患者均经多学科团队评估,排除既往肾脏手术史者。
研究结果部分包含以下重要发现:
"Demographic and tumor characteristics"显示,联合治疗组肿瘤平均直径更大(33.8±5.2 mm vs 28.7±8.7 mm),且70%的肿瘤距离集合系统<4mm(单纯MWA组仅29%),RENAL评分显著更高(7.6±1.6 vs 6.1±1.8),说明临床更倾向对解剖复杂病例采用联合策略。
"Tumor response and residual enhancement"部分发现,单纯MWA组有2例(14.3%)出现残余强化,均发生在RENAL评分≥8且靠近肾窦的肿瘤;而联合组未观察到残余强化,但差异无统计学意义(p=0.62)。

"Hospital stay and follow-up"表明两组住院时间相近(0.5 vs 0.4天),中位随访15.1月(MWA组)和11.9月(联合组)期间,联合组1例出现肺转移,MWA组2例需二次消融。
"Renal function outcomes"是研究的关键发现:联合组术后1月eGFR显著下降(72.3→68.5 mL/min/1.73 m2,p=0.04),而MWA组保持稳定(78.2→77.5,p=0.39)。3个月时,联合组更多患者出现CKD分期进展。

研究结论指出,单纯MWA对T1a期肾细胞癌是安全有效的选择,其肿瘤控制效果与MWA+TACE相当,且无额外肾功能损害风险。虽然TACE更多用于解剖复杂(高RENAL评分)肿瘤,但并未显著改善肿瘤学结局,反而带来肾功能下降。这一发现对临床实践具有重要指导意义:对于大多数T1a期肾癌,单纯MWA可能已足够;仅对特定高危解剖位置肿瘤可考虑联合策略,但需权衡肾功能风险。研究同时提示RENAL评分系统在消融治疗决策中的潜在价值,为后续研究提供了方向。该成果填补了DEB-TACE联合MWA在肾癌治疗领域的数据空白,为个体化治疗策略的制定提供了循证依据。
生物通微信公众号
知名企业招聘