
-
生物通官微
陪你抓住生命科技
跳动的脉搏
腺苷负荷心肌声学造影联合心肌做功评估非阻塞性冠状动脉缺血(INOCA)的微循环功能障碍研究
【字体: 大 中 小 】 时间:2025年07月20日 来源:Scientific Reports 3.8
编辑推荐:
本研究针对非阻塞性冠状动脉缺血(INOCA)的诊断难题,通过腺苷负荷心肌声学造影(AS-MCE)结合心肌做功(MW)技术,对208例胸痛患者进行微循环功能评估。研究发现AS-MCE能有效识别INOCA患者的β值和冠状动脉血流储备(CFR)异常(P<0.05),而MW参数未见显著差异。该研究为INOCA的早期诊断提供了新型无创评估方案,发表于《Scientific Reports》。
在心血管疾病领域,非阻塞性冠状动脉缺血(INOCA)长期困扰着临床医生——约70%的胸痛患者冠状动脉造影显示狭窄程度不足50%,却持续遭受心肌缺血症状。这类患者以女性为主,常被误诊为焦虑或消化道疾病,导致治疗延误。更棘手的是,传统评估手段如冠状动脉血流储备(CFR)需要侵入性检查,而左心室射血分数(LVEF)等常规超声参数在早期阶段又缺乏敏感性。面对这一临床困境,陕西省人民医院超声诊断中心的研究团队在《Scientific Reports》发表创新研究,通过腺苷负荷心肌声学造影(AS-MCE)与心肌做功(MW)技术的联合应用,为破解INOCA诊断难题提供了新思路。
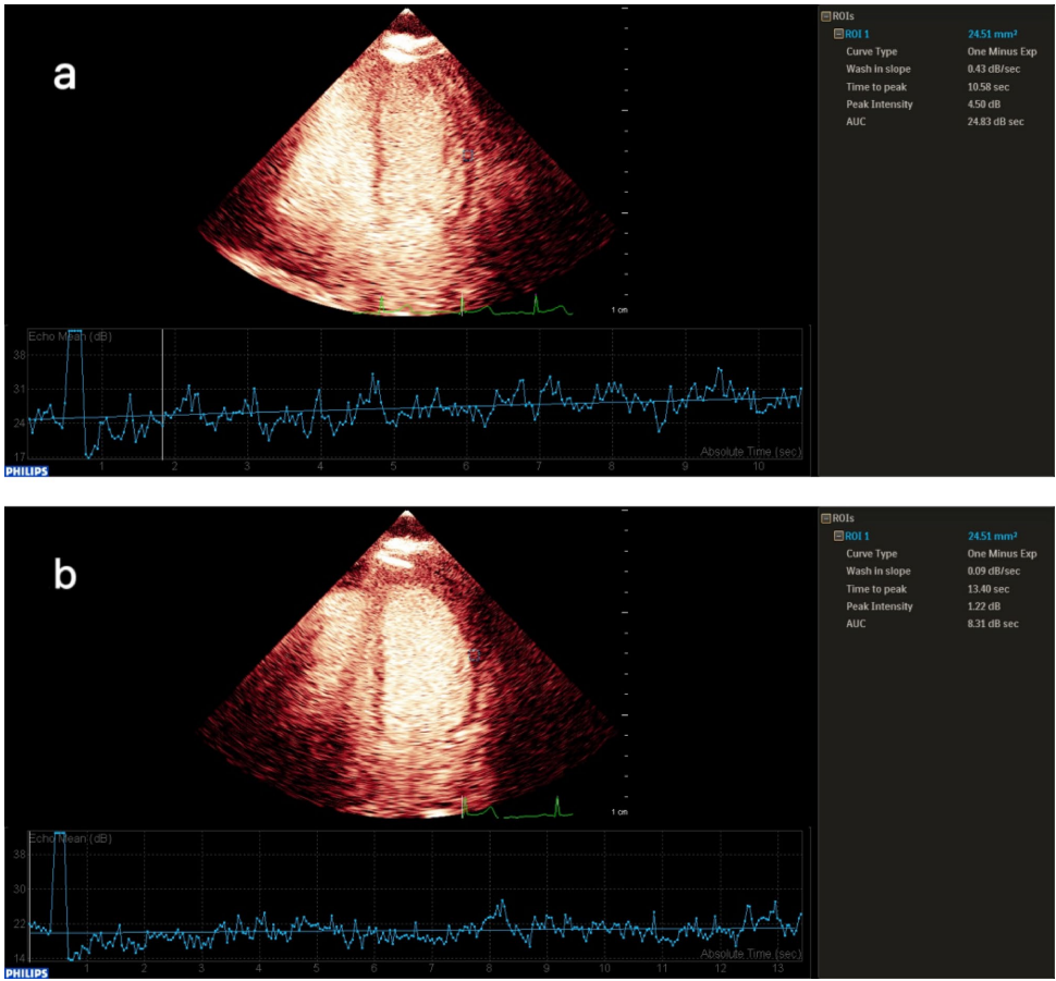
研究团队采用多模态影像评估策略,对2022-2025年间208例胸痛患者进行筛选,最终纳入62例经冠状动脉造影(CAG)或CT血管造影(CCTA)排除阻塞性病变但AS-MCE阳性的INOCA患者。关键技术包括:使用飞利浦EPIQ CVx超声系统进行实时心肌声学造影,通过QLab软件分析静息与负荷状态下的心肌灌注参数(峰值信号强度A值、灌注强度β值、心肌血流量A×β值);借助EchoPAC工作站获取左心室整体纵向应变(GLS)及心肌做功参数(全球做功指数GWI、有效做功GCW、 wasted做功GWW等);采用140μg/(kg·min)腺苷静脉泵注进行药物负荷试验。
研究结果显示,在"两组受试者常规参数比较"中,INOCA组与对照组的左心房直径(LAD)、左心室舒张末期内径(LVIDd)等结构参数无统计学差异,传统舒张功能指标E/e比值(9.8 vs 10.2)也未显现异常。这一发现印证了常规超声在早期INOCA评估中的局限性。
突破性发现在"心肌血流灌注参数比较"中展现:INOCA组在静息和负荷状态下的β值(10.77±1.38 vs 9.72±1.82)与CFR(0.46 vs 0.63)均显著低于对照组(P<0.05)。

值得注意的是,"GLS和MW参数比较"显示两组间全球做功指数(GWI 1691.5 vs 1606.2 mmHg%)等参数无显著差异。

该研究结论指出,AS-MCE通过直接评估β值和CFR,能有效识别INOCA患者的微循环功能障碍,而MW参数在此类患者中可能因病变尚未影响整体心肌力学特性而表现正常。这一发现具有重要临床价值:首先,为INOCA诊断提供了可替代侵入性检查的无创方案;其次,明确了不同影像技术的适用场景——AS-MCE更适合微循环评估,而MW更侧重整体功能分析。研究同时指出当前局限,包括样本量较小(62例INOCA患者)和缺乏长期预后数据,建议未来开展多中心研究验证AS-MCE的预测价值。这些发现为优化INOCA诊疗路径提供了重要循证依据,也将促进心肌声学造影技术在微循环评估领域的推广应用。
生物通微信公众号
知名企业招聘