
-
生物通官微
陪你抓住生命科技
跳动的脉搏
综述:电子烟导致喉坏死的病例系列研究:一种新出现的临床病症
【字体: 大 中 小 】 时间:2025年07月20日 来源:The Egyptian Journal of Otolaryngology 0.4
编辑推荐:
本篇综述通过三例典型病例揭示了长期使用电子烟(e-cigarette)与喉坏死(laryngeal necrosis)的潜在关联,指出电子烟溶剂中的挥发性有机物和尼古丁可能通过热损伤、化学刺激等机制破坏喉黏膜稳态,导致从可逆性黏膜损伤到需气管切开术(tracheostomy)的严重软骨炎(chondritis)等不同临床表现。研究强调耳鼻喉科医生需警惕电子烟相关喉损伤,早期识别和戒烟干预可改善预后。
电子烟作为传统烟草替代品日益流行,但其气溶胶中含有的丙二醇、甘油和香料等成分可能对呼吸道黏膜造成独特损伤。最新体外实验显示,电子烟蒸汽提取物暴露7天即可导致人工培养的人声带黏膜上皮屏障破坏,引发基底细胞增生(hyperplasia)和过度角化(hyperkeratinization)。这种损伤与细胞膜脂质代谢异常相关,提示电子烟可能通过干扰先天免疫反应增加喉部病变风险。
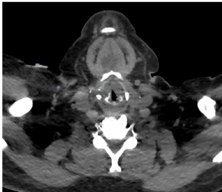
病例1:青年女性重度喉坏死
24岁女性患者因持续6周的发音困难(dysphonia)和吞咽痛(odynophagia)就诊,有4年高功率电子烟使用史。喉镜检查可见声门上区和声门区大面积黏膜坏死伴溃疡形成。


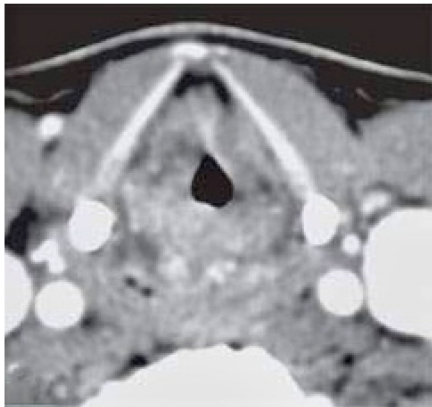
病例2:男性患者气道危机
30岁男性在5年电子烟使用后出现进行性喘鸣(stridor),组织病理显示非特异性坏死性炎症。


病例3:可逆性黏膜损伤
22岁男性患者表现为声嘶,喉镜见后声门早期坏死改变,戒烟后6周黏膜完全愈合,印证早期干预的重要性。
电子烟诱导喉损伤的机制可能包括:
值得注意的是,近期文献还报道了无感染病因的电子烟相关急性会厌炎,提示上呼吸道多部位均可受累。
随着电子烟使用率攀升,临床医师需将电子烟相关喉损伤纳入鉴别诊断。未来研究应聚焦气溶胶成分的剂量-效应关系,以及生物标志物在早期诊断中的应用价值。
生物通微信公众号
知名企业招聘