
-
生物通官微
陪你抓住生命科技
跳动的脉搏
GPT-4o生成近真实眼底图像的AI深度伪造技术突破及其眼科应用潜力
【字体: 大 中 小 】 时间:2025年07月21日 来源:Eye 2.8
编辑推荐:
本研究首次证实公开可用的大型语言模型GPT-4o能生成高分辨率视网膜眼底图像,解决了传统AI模型难以合成眼科图像的难题。通过文本提示和真实图像参考两种方式,研究人员成功生成具有解剖学特征的合成图像,为眼科AI训练数据集扩充提供了新思路,相关成果发表于《Eye》。
在眼科人工智能领域,获取足够数量且高质量的视网膜图像一直是训练深度学习模型的瓶颈。传统方法需要专业设备拍摄真实患者眼底照片,不仅涉及隐私问题,还受限于病例多样性。更棘手的是,大型语言模型(LLM)此前被证明难以准确解析和生成专业的眼科图像,这严重制约了AI在眼底疾病筛查和诊断中的应用潜力。
2025年3月,OpenAI推出的GPT-4o图像生成功能带来了转机。来自意大利卡利亚里大学(Universita degli Studi di Cagliari)的研究团队敏锐捕捉到这一技术突破可能带来的变革。他们设计了一项开创性实验:首先通过纯文本指令让模型生成健康视网膜后极部的眼底照片,随后又创新性地采用真实图像参考法,探索提升合成图像解剖学准确性的方法。
研究采用了两大关键技术:一是基于自然语言处理的文本-图像生成技术,使用"生成健康视网膜后极部眼底照片"等标准化提示词;二是图像引导生成技术,将Canon CR-2数字眼底相机拍摄的真实图像作为参考模板。所有实验均在禁用ChatGPT记忆功能的新会话中进行,确保结果不受历史对话干扰。
【生成图像质量评估】
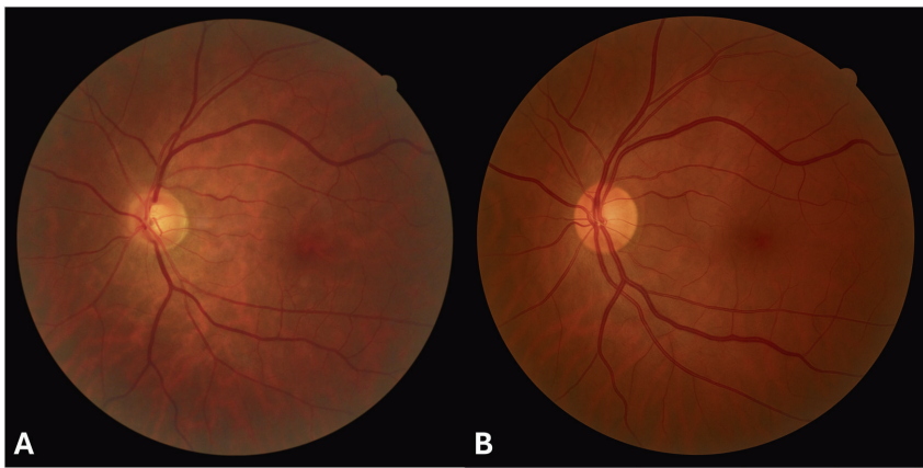
通过纯文本提示生成的图像初看逼真,但放大检查发现三大异常:视网膜背景异常均质化缺乏脉络膜血管纹理、血管走行不典型(存在不自然交叉*)、明显轴向光反射?和管径突变#。这些特征在图1中通过放大区域清晰标注:

【真实图像参考优化】
上传49岁健康女性真实眼底照片后,生成的图像质量显著提升(图2)。新图像出现了脉络膜血管纹理,视网膜血管虽仍有明显轴向光反射,但已符合正常解剖结构。值得注意的是,合成图像的视盘杯较原图更小,显示模型对细节的自主调整。

这项研究具有三重里程碑意义:首先,首次证明通用型LLM能生成专业级眼科图像,打破了"AI不能伪造医学图像"的认知边界;其次,相比需要专门训练的生成对抗网络(GAN),该方法大幅降低了技术门槛和计算成本;最重要的是,为满足Burlina提出的合成图像四大标准(足够真实性、不可区分性、训练等效性和样本多样性)提供了新路径。
当然,目前合成图像仍存在血管异常等局限,这可能与训练数据中眼科图像的占比不足有关。未来研究可探索:1)加入年龄、黄斑特征等细化提示词;2)建立眼科专用的微调版本;3)验证合成图像在糖尿病视网膜病变等疾病诊断模型中的训练效果。这项突破不仅为眼科AI发展注入新动力,更警示医学界需要建立更完善的AI生成内容鉴别体系。
生物通微信公众号
知名企业招聘