
-
生物通官微
陪你抓住生命科技
跳动的脉搏
综述:经腰和经肝隧道式带袖透析通路:较少采用的路径
【字体: 大 中 小 】 时间:2025年07月22日 来源:Egyptian Journal of Radiology and Nuclear Medicine 0.7
编辑推荐:
本文综述了终末期肾病(ESRD)患者透析通路的创新解决方案,重点探讨了当传统通路(如动静脉瘘和中心静脉导管)失效时,经腰(translumbar)和经肝(transhepatic)隧道式带袖导管置入技术的临床应用。作者通过病例分析证实,这两种非常规通路可作为肾移植前的过渡方案,为血管通路耗竭患者提供了新的生存希望。
背景
慢性肾脏病(CKD)已成为全球性公共卫生挑战,影响超过8.5亿人,预计到2040年将成为第五大寿命损失年(YLL)原因。印度CKD死亡率从1990年的59万激增至2016年的118万。由于透析患者预期寿命延长与肾源短缺的矛盾,血管通路建立面临严峻挑战。
常规通路
理想透析通路首选非优势侧前臂桡侧头静脉瘘,其次为肱头静脉、肱贵要静脉瘘。临时通路优选颈内静脉(IJV)、股静脉置管。但传统通路存在感染、血栓形成和狭窄等并发症,当这些通路耗竭时,非常规通路便成为最后选择。
非常规通路
经腰途径:1995年由Lund首次报道,在L3水平经皮穿刺下腔静脉(IVC),以右髂嵴上方为体表标记。文献显示12例患者置入17根导管,12个月累积通畅率仅17%,感染率达2.8/1000导管日。
经肝途径:1994年由Po首创,通过右/中肝静脉穿刺进入IVC。Smith的研究显示16例患者置入21根导管,主要并发症为导管移位(5例)和致死性腹腔出血(1例)。
技术方法
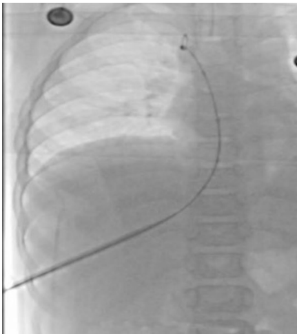
经腰导管置入:俯卧位下超声引导穿刺IVC,建立皮下隧道后置入14.5F带袖双腔导管。如图1所示,导管尖端需达右心房水平。

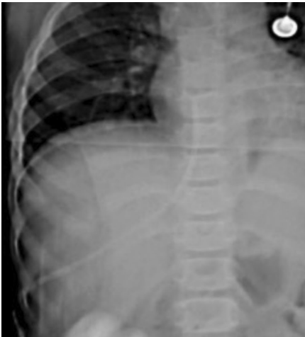
经肝导管置入:如图3所示,经肋间入路穿刺中肝静脉,导管经皮下隧道引出至腋中线。术后X线(图5)需确认导管位置。


临床效果
本中心案例显示:经腰导管完成15次透析,经肝导管完成21次透析后,患者均成功接受肾移植。导管留置期间未出现感染、出血等并发症,最终在移植手术时顺利移除。
讨论
非常规通路面临三大挑战:1)技术难度高,需超声联合透视引导;2)并发症风险包括肝包膜出血(经肝)和腹膜后血肿(经腰);3)长期通畅率低,Liu的研究显示12个月通畅率仅7%。但作为"最后生命线",这些技术使无法建立常规通路的患者获得移植等待机会。
结论
在肾源短缺背景下,非常规透析通路为ESRD患者架起生存桥梁。临床医师需掌握这些技术,同时加强导管护理以延长使用寿命。随着技术进步,未来可能开发出更安全的替代通路方案。
生物通微信公众号
知名企业招聘