
-
生物通官微
陪你抓住生命科技
跳动的脉搏
氯吡格雷联合阿司匹林治疗患者行支气管内活检的安全性评估与临床启示
【字体: 大 中 小 】 时间:2025年07月25日 来源:BMC Pulmonary Medicine 2.6
编辑推荐:
本研究针对接受双联抗血小板治疗(DAPT)患者行支气管内活检(EBB)的临床困境,通过3例典型病例分析,证实了在严格预防措施下,持续使用氯吡格雷(clopidogrel)和阿司匹林(aspirin)进行EBB的可行性。研究为心血管高风险患者的呼吸道病变诊断提供了重要循证依据,对制定支气管镜操作指南具有启示意义。
在临床实践中,约25%接受肺部介入操作的患者正使用抗血小板或抗凝药物,这对需要紧急支气管镜检查的患者构成特殊挑战。尤其对于近期接受冠状动脉支架植入、必须持续双联抗血小板治疗(DAPT)的心血管高风险患者,传统建议需停用P2Y12抑制剂5-7天,但可能引发支架内血栓等致命并发症。目前关于氯吡格雷(clopidogrel)联合阿司匹林(aspirin)期间行支气管内活检(EBB)的安全数据极为有限,仅有个案报道,这种知识空白使临床决策陷入两难。
某医疗机构的研究团队在《BMC Pulmonary Medicine》发表的研究,通过3例典型病例的系统分析,为这一临床困境提供了重要见解。研究纳入3例因气道阻塞出现严重呼吸困难的患者,其中2例为冠脉支架术后,1例为外周动脉支架术后,均需持续DAPT治疗。研究团队在完备的止血准备下,使用1.8 mm活检钳实施EBB,所有病例仅出现1级出血(轻度出血仅需吸引),最终均成功获得病理诊断(2例鳞癌,1例肺腺癌复发),未发生严重并发症。
关键技术方法包括:① 局部应用4℃冷生理盐水和稀释肾上腺素(1:10,000)预防出血;② 使用Fujinon EB-530T支气管镜配合1.8 mm活检钳精确取材;③ 持续心电监护下操作;④ 预先备齐止血球囊、介入放射学支持等应急方案。病例均来自临床急症队列,具有明确的手术指征。
【案例特征】
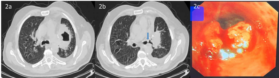
案例1展示77岁男性气管远端病变,在DAPT持续状态下完成7次活检并联用电切术,病理确诊鳞癌。



【讨论启示】
研究对比了不同支气管镜操作的出血风险谱:经支气管肺活检(TBLB)风险最高(89-100%出血率),而EBB风险仅约0.43%。尽管Ernst等证实TBLB在氯吡格雷期间禁忌,但本研究表明EBB在充分准备下可行。关键预防措施包括:① 避免活检外周肺组织;② 近端支气管局部用药减少全身吸收;③ 使用低相互作用风险的PPI(如泮托拉唑)。
结论强调,对于DAPT治疗的气道阻塞患者,当诊断获益大于风险时,EBB可作为安全选择。这为制定支气管镜操作指南提供了III级证据,建议未来开展前瞻性研究确立标准化方案。研究同时指出需警惕肾上腺素的心脏副作用,强调持续监护的重要性。这一发现对优化心血管高风险患者的呼吸道病变管理策略具有重要临床价值。
生物通微信公众号
知名企业招聘