
-
生物通官微
陪你抓住生命科技
跳动的脉搏
超低剂量CT与胸片在儿童囊性纤维化肺病评估中的图像质量对比研究:辐射剂量相近下的诊断优势
【字体: 大 中 小 】 时间:2025年07月26日 来源:European Radiology 4.7
编辑推荐:
本研究针对儿童囊性纤维化(CF)肺病监测中传统胸片(CXR)灵敏度不足与常规CT辐射风险高的矛盾问题,研究人员通过前瞻性研究比较超低剂量CT(ULDCT)与CXR在等效辐射剂量下的图像质量(IQ)。结果显示ULDCT采用深度学习迭代重建(DLIR)技术后,88%的观察者更倾向选择ULDCT,其诊断信心(p≤0.001)和图像质量评分(p≤0.05)显著优于CXR,尤其在放射科医师组中VGC曲线下面积达0.63。该研究为CF患儿提供了辐射安全的新型监测方案,推动影像指南更新。
囊性纤维化(CF)作为西方世界最常见的限寿性遗传病,其肺部并发症是患儿致死致残的主因。随着新生儿筛查普及,早期诊断率提升使得治疗窗口前移,但传统监测手段面临两难困境:胸片(CXR)虽辐射低却漏诊率高,而能捕捉早期支气管扩张的CT又因辐射风险难以常规应用——儿童对辐射的敏感性是成人的10倍,常规胸部CT有效剂量(ED)可达2.79mSv,远超CXR的0.01-0.09mSv。这种"监测敏感性"与"辐射安全性"的博弈,成为改善CF患儿长期预后的关键瓶颈。
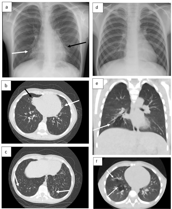
爱尔兰科克大学医学院医学影像与放射治疗学科的研究团队在《European Radiology》发表突破性研究,通过开发辐射剂量媲美CXR的超低剂量CT(ULDCT)方案,采用深度学习迭代重建(DLIR)技术,在保持0.024-0.030mSv超低剂量前提下,使图像噪声控制在9.6±4.3HU,成功实现"鱼与熊掌兼得"。这项多中心前瞻性研究招募25名放射科医师和50名放射技师,对10组配对影像进行盲法评估,发现ULDCT不仅使88%观察者更倾向选择(71/75),其诊断信心评分中位数(30)更显著高于CXR(25)(p<0.001)。视觉分级特征(VGC)分析显示,放射科医师组曲线下面积(AUCVGC)达0.63(95%CI:0.51-0.73),证实ULDCT在支气管壁增厚、粘液栓等CF特征性病变的显示优势。
研究团队采用三项关键技术:1) 基于Canon Aquilion Prime SP扫描仪的DLIR算法(AICE技术),在80kV/10mA超低参数下实现0.5mm层厚重建;2) 严格剂量控制使CTDIvol降至0.10mGy,ED仅CXR的1.3倍(0.026 vs 0.036mSv);3) 创新性采用欧洲儿科影像质量标准与高分辨率CT标准融合的评估体系,通过4分量表(0-4分)量化70例3-18岁CF患儿的图像价值。值得注意的是,72%的ULDCT图像运动伪影评分≥3分,印证儿童友好型扫描方案的可行性。
【图像质量对比】

【剂量优化成果】

【临床偏好调查】

这项研究从根本上改变了CF监测的剂量权衡范式,证实ULDCT+DLIR技术可突破传统CT的辐射桎梏。其临床意义在于:①为CFTR调节剂时代需要长期影像随访的患儿提供安全方案;②确立0.03mSv级剂量新标准,较Kuo等报道的多中心差异剂量(1.1-7.5mSv)降低两个数量级;③通过图2所示的早期马赛克灌注征检出,使干预时机较肺功能异常提前5-8年。正如讨论指出,随着CF患者预期寿命突破50岁,ULDCT的累积辐射优势将更显著降低继发恶性肿瘤风险。研究团队建议尽快修订国际指南,将ULDCT纳入CF儿童常规监测路径,这将是自2012年CFTR调节剂问世以来,CF管理标准的又一次重大革新。
生物通微信公众号
知名企业招聘