
-
生物通官微
陪你抓住生命科技
跳动的脉搏
聋儿童汉语四声识别的神经机制:基于fMRI的初步研究
【字体: 大 中 小 】 时间:2025年07月28日 来源:Scientific Reports 3.8
编辑推荐:
本研究针对聋儿童(DC)汉语声调识别障碍问题,采用功能磁共振成像(fMRI)技术,对比分析了5名聋儿童与2名正常听力儿童(HC)在四声识别任务中的脑区激活差异。研究发现:1)聋儿童因听觉剥夺导致部分听觉皮层功能受损;2)其通过视觉皮层和运动区等替代神经通路进行代偿;3)存在独特的半球偏侧化特征。该研究为聋儿童语言康复训练提供了神经科学依据,发表于《Scientific Reports》。
声调作为汉语的核心要素,直接影响语义表达。然而全球约3400万聋儿童因听觉剥夺面临声调识别障碍,导致语言发展滞后。传统研究多聚焦正常人群的声调处理机制,但对聋儿童这一特殊群体如何通过神经代偿机制理解声调仍知之甚少。这一认知空白严重制约了针对性康复方案的开发。
天津理工大学的研究团队在《Scientific Reports》发表创新性研究,首次采用fMRI技术对比分析5名聋儿童与2名正常听力儿童执行汉语四声识别任务时的脑区激活模式。通过精心设计的听觉-视觉交叉模态实验范式,研究人员发现聋儿童采用与正常儿童完全不同的神经策略处理声调信息:当听觉皮层功能受损时,他们的大脑会自发启动"视觉代偿"机制,通过强化视觉注意和运动规划相关脑区的协同工作来弥补听觉缺陷。
研究采用三大关键技术:1)定制化稀疏采样fMRI序列,克服MRI噪声对听觉刺激的干扰;2)基于WHO标准的聋儿童队列筛选(双侧听力损失>90 dBHL);3)多模态数据融合分析,结合纯音测听、行为学反应时与脑激活图谱。
结果部分呈现三大突破性发现
听觉皮层功能缺陷的神经证据
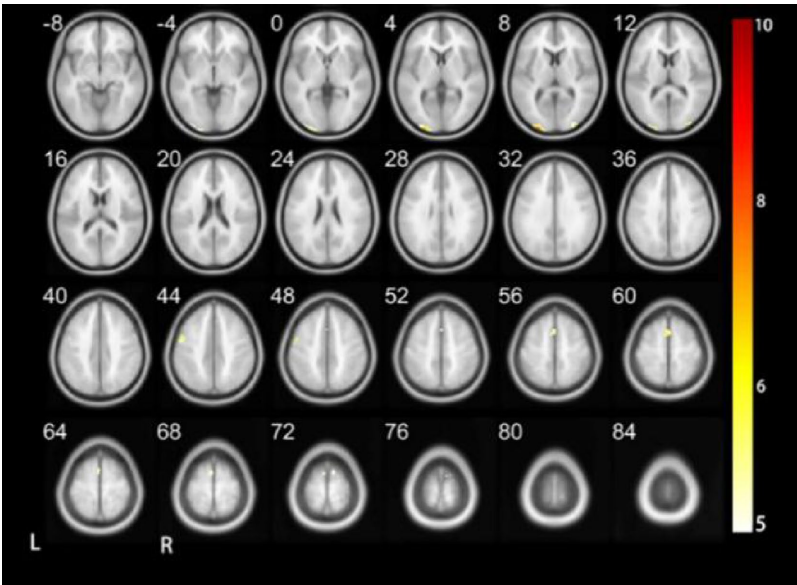
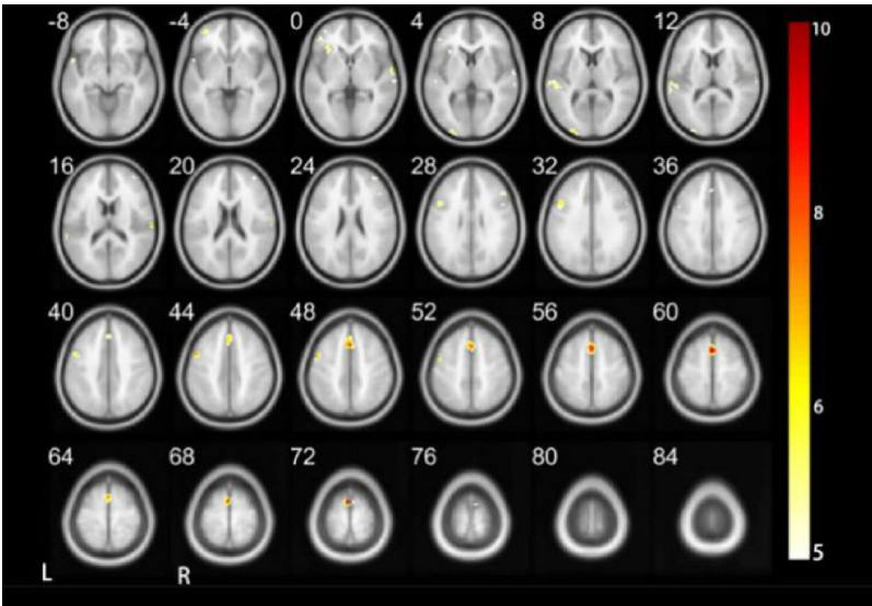
对比正常儿童在音调II任务中活跃的颞中回(听觉语义整合)和顶下小叶(听觉空间注意),聋儿童这些区域均未激活(p<0.001)。这印证了Kral等提出的"听觉皮层功能退化"理论,说明长期听觉剥夺会导致相关脑区功能萎缩。

跨模态神经通路的重构
在四声识别时,聋儿童显著激活左半球颞中回(视觉信息处理)和右半球颞上回("沉默听觉网络"残余功能),而正常儿童则依赖右半球小脑Crus1(运动协调)和内侧顶叶(多感官整合)。这种神经通路的重构表明,聋儿童通过视觉-听觉跨模态重组建立新的信息处理路径。
半球偏侧化的语言特异性
最具启示性的发现出现在三声任务中:聋儿童呈现右半球优势激活(右侧岛叶和额中回),而正常儿童表现为经典左半球语言区主导。这种反转模式暗示,汉语声调在聋儿童大脑中可能被重新归类为"非语言性声学特征",通过右半球进行非典型处理。

这项研究从根本上改变了人们对聋儿童语言处理能力的认知。其核心价值在于揭示:当传统听觉通路受阻时,大脑会通过"神经可塑性"重构出全新的信息处理网络。这一发现为聋儿童语言康复带来三大启示:1)应加强视觉线索(如唇读、汉字形态)在声调教学中的应用;2)康复训练需针对不同声调设计差异化方案;3)早期人工耳蜗植入可能有助于重建左半球语言通路的典型功能。研究团队特别指出,未来需扩大样本量验证这些发现,并探索音乐训练等干预手段对神经重塑的促进作用。
该成果不仅填补了聋儿童汉语声调神经机制的研究空白,更为发展基于个体脑功能特征的"精准康复"策略奠定了理论基础。正如研究者Qiang Li强调的:"理解大脑如何绕过损伤建立替代通路,是开发革命性语言康复方法的关键钥匙。"这一创新性工作为特殊教育领域提供了重要的神经科学依据。
生物通微信公众号
知名企业招聘