
-
生物通官微
陪你抓住生命科技
跳动的脉搏
"迷失与重现:一例罕见皮下迁移的宫内节育器引发前腹壁慢性窦道形成的病例报告及临床启示"
【字体: 大 中 小 】 时间:2025年07月29日 来源:Egyptian Journal of Radiology and Nuclear Medicine 0.7
编辑推荐:
本研究报道了一例37岁女性患者因宫内节育器(IUD)子宫穿孔后罕见皮下迁移至前腹壁,导致长达4年的慢性窦道形成。通过超声和X线精准定位迁移至皮下的第二枚IUD,手术成功取出并切除窦道。该案例强调了IUD子宫穿孔迁移的潜在风险,为临床处理"失踪IUD"提供了重要参考,提示需通过影像学排查迁移可能以避免严重并发症。
在现代避孕措施中,宫内节育器(IUD)因其长效可逆的特性被广泛使用,但罕见的子宫穿孔并发症可能引发严重后果。据统计,每1000例IUD放置中就有1.3-1.6例发生穿孔,其中更有个别案例会出现令人意想不到的迁移路径——从子宫腔"离家出走"的IUD可能藏匿于膀胱、肠道、输卵管甚至腹股沟区。
本研究报告了一例极具教学意义的特殊病例:一位经历过三次IUD放置的37岁女性,第二枚IUD在失踪数年后,竟在皮下组织中被发现。这个"迷路"的避孕装置长期潜伏于患者下腹壁,引发持续4年的慢性疼痛、发热和窦道排脓。更戏剧性的是,超声检查时还意外发现了第三枚仍正常在位工作的IUD,形成"新旧共存"的罕见现象。

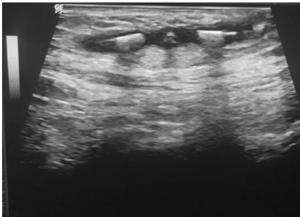
研究人员通过多模态影像学技术锁定了这个"逃亡者"的藏身之处。超声检查清晰显示出皮下混浊液性暗区中的IUD臂状结构(图2-3),同时盆腔X光片(图5)直观呈现了两个IUD的空间关系。最终通过精准的局部手术,这个引发慢性感染的"罪魁祸首"被成功取出(图6)。


关键技术方法:
研究结果:
背景分析
文献系统回顾显示IUD迁移最常见于盆腔(64.2%),但皮下迁移属极端罕见案例。穿孔风险与子宫位置、操作者经验及产后6个月内放置密切相关。
病例展示
患者第二枚IUD迁移后引发4年持续性前腹壁感染,经抗生素和激光治疗无效。影像学证实IUD位于皮下组织,与慢性窦道形成存在明确因果关系。
讨论
研究指出IUD迁移管理需个体化决策:
结论与意义:
该案例为临床实践敲响警钟:所有"失踪IUD"都应视为潜在穿孔病例,必须通过影像学排查迁移可能。皮下迁移虽罕见,但可能造成迟发性并发症。研究强调准确诊断和及时干预对预防严重后遗症的关键作用,为IUD并发症管理提供了新的临床思路。论文发表于《Egyptian Journal of Radiology and Nuclear Medicine》,为妇产科与影像学科协作处理疑难病例提供了典型范例。
生物通微信公众号
知名企业招聘