
-
生物通官微
陪你抓住生命科技
跳动的脉搏
重症肌无力合并Graves病:一例罕见自身免疫共病的临床诊疗启示
【字体: 大 中 小 】 时间:2025年07月31日 来源:Journal of Medical Case Reports 0.8
编辑推荐:
本研究报道一例20岁Graves病(GD)患者突发重症肌无力(MG)导致呼吸衰竭的罕见病例,通过电生理检测(神经传导衰减19-62%)和抗乙酰胆碱受体抗体(AChR-Ab>16.9 nmol/L)确诊,证实甲状腺功能亢进可加剧MG症状。研究强调对自身免疫共病进行多学科管理的必要性,为临床识别甲状腺-神经肌肉交叉免疫现象提供重要参考。
在自身免疫疾病领域,重症肌无力(MG)与Graves病(GD)的共病现象犹如一场"免疫系统的误伤友军"——本应保护机体的抗体错误攻击神经肌肉接头和甲状腺组织。尽管这两种疾病分别影响神经肌肉和内分泌系统,但临床观察发现它们常结伴出现,约0.14-0.2%的MG患者合并GD。这种共病给诊疗带来双重挑战:甲状腺激素波动会恶化肌无力症状,而免疫治疗又可能干扰甲状腺功能。更棘手的是,在医疗资源有限的地区,精确诊断所需的电生理检测和抗体分析往往难以获取。
刚果(金)天主教大学格拉本分校神经外科的Larrey Kasereka Kamabu团队在《Journal of Medical Case Reports》报道了一例典型病例。一位有GD病史的20岁女性,在经历2年甲状腺功能亢进后,突然出现进行性肌无力并发展为呼吸衰竭。通过创新性联合应用甲状腺Tc-99m闪烁扫描、神经传导研究和免疫学检测,团队不仅验证了两种疾病的共存,还揭示了它们相互加剧的临床特征。
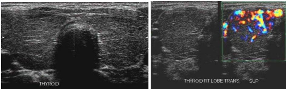
研究主要采用四种关键技术:1)甲状腺功能检测(TSH<0.01 mIU/L,T4 58 pmol/L)确认甲亢状态;2)电生理检查显示神经肌肉传导显著衰减(19-62%);3)抗AChR抗体检测(16.9 nmol/L)确诊MG;4)超声与核素显像显示甲状腺"火海征"和均匀高摄取。
【临床特征】
患者表现出典型的"双重攻击"症状:GD相关甲状腺肿大伴血管杂音,与MG特征性的波动性肌无力。最具警示意义的是突发呼吸衰竭,经新斯的明(Prostigmine)试验迅速缓解,这一戏剧性反应成为诊断的关键转折点。

【诊断验证】
电生理检查在眼轮匝肌和拇短展肌记录到特征性递减反应,符合MG诊断标准。甲状腺核素扫描显示均匀高摄取,同时排除了胸腺瘤可能。免疫学检测除AChR抗体外,还发现抗U1-RNP抗体(9 IU),提示更广泛的自身免疫倾向。
【治疗策略】
团队采用阶梯式治疗方案:先以抗甲状腺药物控制甲亢,再逐步引入糖皮质激素。特别值得注意的是,在甲亢未控制前避免使用可能加重MG的β受体阻滞剂,这种精细的用药时序体现了对病理生理机制的深刻理解。

结论部分强调三个核心发现:1)GD可能通过分子模拟机制触发MG;2)甲状腺激素水平与MG症状严重度呈正相关;3)多学科协作可改善预后。该病例为理解自身免疫疾病"共病网络"提供了临床模板,尤其对资源有限地区具有特殊价值——提示当患者出现不典型肌无力时,简单的新斯的明试验和甲状腺触诊可能成为救命的关键诊断工具。
研究还留下重要启示:约40%此类患者MG症状随甲亢控制而改善,但20%可能持续存在,这种差异或与HLA-DR3和CTLA-4基因多态性有关。正如作者指出,这例来自非洲的报道填补了地域数据空白,为全球自身免疫疾病流行病学研究提供了珍贵样本。

生物通微信公众号
知名企业招聘