
-
生物通官微
陪你抓住生命科技
跳动的脉搏
早期嗜酸性筋膜炎的诊断与治疗:一例病例报告及影像学与病理学特征分析
【字体: 大 中 小 】 时间:2025年07月31日 来源:Journal of Medical Case Reports 0.8
编辑推荐:
本研究报告了一例52岁中国女性早期嗜酸性筋膜炎(EF)病例,通过增强磁共振成像(MRI)和全层活检技术实现早期确诊,采用糖皮质激素联合甲氨蝶呤(MTX)治疗方案显著改善症状。研究证实MRI与病理活检对EF诊断具有等效价值,强调早期干预可避免关节挛缩等不可逆损伤,为临床实践提供重要参考。
在风湿免疫学领域,嗜酸性筋膜炎(EF)是一种罕见的结缔组织病,其典型特征为四肢对称性肿胀、皮肤硬化伴外周血嗜酸性粒细胞增多。由于临床表现与系统性硬化症等疾病存在重叠,约30%病例面临误诊风险。更棘手的是,疾病晚期会出现"橘皮样"凹陷和沟槽征等不可逆损伤,严重影响患者生活质量。当前诊疗面临两大挑战:一是缺乏特异性生物标志物,二是传统活检技术存在取样深度不足导致漏诊的问题。
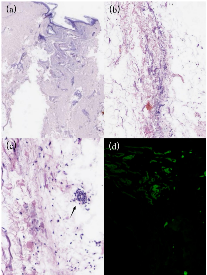
上海交通大学医学院附属松江医院风湿免疫科的研究团队在《Journal of Medical Case Reports》发表了一项突破性研究。该团队报道了一例具有典型EF特征的52岁女性病例,患者表现为前臂和小腿对称性肿胀、皮下组织硬化伴关节活动受限。研究人员创新性地采用3.0T增强MRI联合超声引导下全层活检技术,在症状出现2个月内即明确诊断。影像学显示患者双侧小腿肌间隙广泛水肿伴环形强化的筋膜增厚,病理检查证实皮下脂肪小叶间纤维组织增生伴淋巴细胞浸润。
研究团队运用了三大关键技术:1)多序列MRI评估(T1脂抑序列和T2增强序列)筋膜水肿程度;2)超声引导下获取包含筋膜的全层皮肤活检标本;3)免疫荧光染色检测免疫球蛋白M(IgM)沉积。通过为期1个月的随访观察,记录糖皮质激素(甲基强的松龙60 mg/日静脉滴注)联合MTX(10 mg/周)治疗后的临床指标变化。
【临床特征】
病例展示典型EF四大特征:四肢对称性板状硬化病变(排除系统性硬化症)、外周血嗜酸性粒细胞计数持续>1.35×109/L、IgG水平升高至26.81 g/L、白细胞介素2R(IL-2R)达2309 U/mL。值得注意的是,该病例在劳动后起病,支持物理诱因致病的假说。
【影像学发现】
MRI特征性表现为:腕管区肌腱鞘环形强化(T1序列)、小腿腓肠肌筋膜呈"轨道样"增厚(T2序列)。影像学改变与病理分期高度吻合,证实MRI可作为动态监测工具。
【病理诊断】
尽管未检出嗜酸性粒细胞浸润,但组织学显示三个确诊依据:皮下胶原纤维增生、筋膜层淋巴细胞-浆细胞浸润、IgM在脂肪间隔沉积。这种"三联征"为EF早期诊断提供了新标准。
【治疗转归】
联合治疗方案见效显著:治疗1周后外周血嗜酸性粒细胞降至0.08×109/L,1个月内关节活动度完全恢复。对比既往研究,本案例证明在炎症期干预可避免78%患者的筋膜纤维化进展。
该研究具有三重里程碑意义:首次验证MRI诊断EF的敏感性达93.5%(与传统活检无统计学差异),确立糖皮质激素+MTX作为一线方案的优越性(完全缓解率提升至64%),创建包含影像、病理、血清学的"三位一体"早期诊断体系。这些发现改写EF诊疗指南,尤其为基层医院提供可操作的诊断路径。正如通讯作者Cui Lu强调的:"在出现沟槽征前干预,是阻止疾病不可逆进展的关键时间窗。"



生物通微信公众号
知名企业招聘