
-
生物通官微
陪你抓住生命科技
跳动的脉搏
有了这款“通用身份证”,再也不担心CAR-T细胞进了肿瘤却“隐身”了
【字体: 大 中 小 】 时间:2025年07月28日 来源:基因有限公司
编辑推荐:
“为什么非要盯着CAR的‘脸’(scFv)?所有CAR都有通用‘身份证’(G4S/Whitlow接头)!”
消失的CAR-T细胞
“明明回输了2亿CAR-T细胞,小鼠肿瘤却越长越大!”
张教授盯着实验数据百思不得其解:体外实验时,CAR细胞精准识别并杀光了胃癌细胞;活体实验中,肿瘤组织切片却找不到
CAR细胞踪迹。“细胞究竟去哪了?是迷路了,还是被‘团灭’了?”
为解答这个问题,团队试遍了传统方法:
✅ 定制抗体 → 等了4个月,花费过十万
✅ RNA原位杂交 → 结果模糊,疑似假阳性
✅ 流式细胞术 → 只能检测血液中的细胞
“钱和时间砸进去,肿瘤里的CAR细胞依然‘神隐’!”
直到在近日在美国癌症研究协会(AACR)年会遇上Cell Signaling Technology(CST)——“为什么非要盯着CAR的‘脸’(scFv)?所有CAR都有通用‘身份证’(G4S/Whitlow接头)!”
这句话让团队豁然开朗:
✅ 无需为每种CAR定制抗体
✅ 一套工具兼容所有基于scFv的CAR
✅ 直接定位实体瘤中的细胞
靶向接头序列的“万能钥匙”
CST全球创新方案:
🔥 抛弃“一CAR一抗体”模式!
👉 独家开发抗CAR接头抗体:瞄准G4S或Whitlow/218接头(CAR分子中的“通用身份证”)。该产品荣获2023 CiteAb 创新奖。
👉 兼容多平台:流式、IHC、ELISA、细胞分选。

实体瘤战场:让看不见的CAR细胞“显形”
肿瘤渗透验证
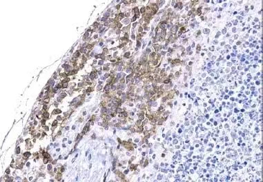
全球首款IHC-P验证抗体: Witlow/218 Linker(F2G3S)Rabbit mAb #47414
直接在FFPE实体瘤切片中定位CAR细胞,避免RNA原位杂交的假阳性风险

IHC-P:适用#47414对NSG小鼠脾脏中经异种移植的Raji B细胞淋巴瘤进行免疫组织化学分析,该小鼠脾脏中灌注了靶向CD19的原代人类CAR-T细胞
微环境全景解析
SignalStar™多重荧光IHC:同步标记多达8种生物标志物(如CAR细胞+CD8+T细胞+癌细胞等)
助您看清“CAR细胞如何与肿瘤 microenvironment 对话”

SignalStar™ Oligo-Antibody Pair 组合(左),缓冲液试剂盒(右)
简化的CAR细胞检测
开发特异、灵敏的抗独特型抗体来检测 CAR 工程化细胞可能会是一个漫长且耗费资源的过程。CST 专注于该过程中的一个关键步骤,并开发了一套专门用于 CAR 细胞表征的研究工具。无论您的目标是对 CAR 工程化细胞进行检测、分析、定量、纯化,还是在转化组织学的背景下对其进行研究,CST®解决方案均可简化您的表征工作流程。
检测:评估 CAR 和靶抗原表达
· CAR 检测
· CAR 检测对照
· 靶抗原检测
分析:探究免疫细胞的激活、增殖、活力和信号转导
· T 细胞激活
· 细胞增殖
· 细胞毒性
· 免疫表型分析
· 下游信号转导解析
定量:定量 CAR 表达和转导效率
· 测定 CAR 分子的密度
· 检测 CAR 转导效率
纯化:富集 CAR+细胞
· 基于微球的分选
· 基于 FACS 的分选
转化:确定 CAR 工程化细胞是否进入肿瘤微环境
· 检测 CAR+ 细胞对组织的渗透
· 探究肿瘤微环境
扫描下方二维码获取《CAR 工程化细胞表征解决方案》

认准CST授权一级代理商——基因有限公司
欲了解更多产品详情,请扫码添加您的专属技术顾问,基因有限公司将以热忱与专业,为您提供最优质的服务!
