
-
生物通官微
陪你抓住生命科技
跳动的脉搏
基于增强非动态对比MRI的O-RADS MRI评分在附件肿块诊断中的性能评估
【字体: 大 中 小 】 时间:2025年08月02日 来源:Egyptian Journal of Radiology and Nuclear Medicine 0.5
编辑推荐:
为解决超声检查中20%附件肿块性质不确定的临床难题,Dina EL-Metwally团队开展基于增强非动态对比MRI(non-DCE-MRI)的O-RADS MRI评分系统研究。结果表明:当O-RADS 3视为良性时,系统灵敏度达93.3%、特异性92.3%;视为恶性时灵敏度达100%,为临床提供高效无创的鉴别诊断方案。
在妇科临床实践中,附件肿块的良恶性鉴别始终是困扰医生的难题。虽然超声(US)是首选筛查手段,但约20%的病例难以明确性质,这可能导致不必要的恐慌或延误治疗。更棘手的是,当前金标准动态对比增强磁共振成像(DCE-MRI)因扫描时间长、后处理复杂,在基层医院推广受限。这一困境催生了一个关键科学问题:能否通过更便捷的增强非动态对比MRI(non-DCE-MRI)技术,实现与DCE-MRI相当的诊断准确性?
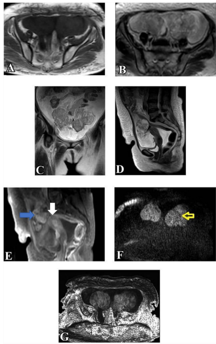
来自曼苏拉大学医学院(Dina EL-Metwally等)的研究团队在《Egyptian Journal of Radiology and Nuclear Medicine》发表的重要研究,对此给出了肯定答案。研究人员创新性地采用1.5T MRI设备,通过标准化扫描方案(包含T2WI、DWIb=1000、ADC值测量及增强T1WI等序列),对50例患者56个附件肿块进行前瞻性评估。研究首次系统验证了O-RADS MRI评分在non-DCE-MRI中的诊断效能,为临床提供了一种更高效的决策工具。
关键技术方法包括:1)多参数MRI扫描(T1/T2加权、DWI、ADC映射);2)双盲阅片(由3年与14年经验的放射科医师独立评估);3)O-RADS MRI标准化评分(基于肿块形态学、增强特征及扩散特性);4)病理学对照(54例手术标本+2例两年随访)。
MRI特征分析
研究揭示恶性肿块的典型标志:93.3%存在强化实性成分(vs 良性7.6%),96.7%表现扩散受限(ADC值0.942±0.24 vs 良性1.79±0.15),70%伴腹膜种植。这些发现为影像鉴别提供了客观依据。
O-RADS分类表现
肿块风险分层显示:80.8%良性归为O-RADS 2(如单纯性囊腺瘤),73.3%恶性归为O-RADS 5(如高级别浆液性癌)。值得注意的是,当将O-RADS 3(如黏液性囊腺瘤)视为恶性时,系统灵敏度达100%且阴性预测值(NPV)完美,这对排除恶性肿瘤具有重要临床价值。
这项研究的突破性在于:首次证实non-DCE-MRI可实现与DCE-MRI相当的诊断性能(灵敏度93.3-100%,特异性80.8-92.3%)。其临床意义体现在三方面:1)简化检查流程,缩短患者等待时间;2)降低造影剂使用相关风险;3)为资源有限地区提供可靠替代方案。特别是对O-RADS 4-5类肿块的高识别率(恶性风险50-90%),可显著指导手术决策。研究也存在样本量较小等局限,未来需多中心验证以进一步优化评分标准。


生物通微信公众号
知名企业招聘