
-
生物通官微
陪你抓住生命科技
跳动的脉搏
镰状细胞病患儿急性软头综合征合并眼眶压迫综合征的病例报告及临床启示
【字体: 大 中 小 】 时间:2025年08月04日 来源:Journal of Medical Case Reports 0.8
编辑推荐:
本研究报道了一例9岁镰状细胞病(SCD)患儿罕见的急性软头综合征合并眼眶压迫综合征病例,通过CT影像确诊并采用保守治疗(补液、镇痛、激素及抗生素)成功保留视力。研究强调了非创伤性头皮肿胀与SCD的关联性,为临床避免误诊(如儿童虐待)和不当干预(如穿刺引流)提供了重要依据,对资源有限地区的SCD并发症管理具有指导意义。
镰状细胞病(SCD)作为一种遗传性血红蛋白病,全球患者约770万,其中80%集中在撒哈拉以南非洲地区。尽管SCD的常见并发症如疼痛危象和感染已被广泛认知,但诸如急性软头综合征(ASHS)和眼眶压迫综合征(OCS)等罕见表现仍常导致误诊——尤其是当患儿出现非创伤性头皮肿胀时,易被误认为儿童虐待案例。更棘手的是,这类并发症可能快速进展为威胁视力的眼科急症,对医疗资源匮乏地区的临床决策构成严峻挑战。
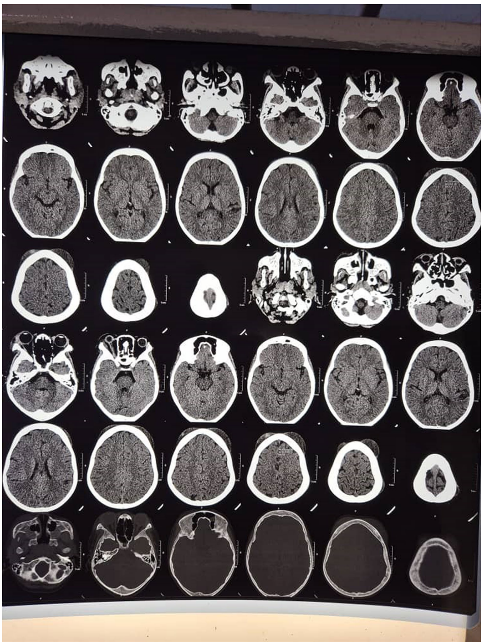
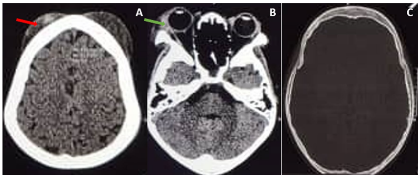
来自乌干达的研究团队在《Journal of Medical Case Reports》报道了一例极具教学意义的病例:一名未接受羟基脲治疗的9岁SCD男性患儿,突发多发性头皮血肿并迅速进展为右眼OCS,伴随中性粒细胞增多的轻度贫血(血红蛋白8.9 g/dL)。通过非增强头颅CT确诊为双侧额部帽状腱膜下血肿合并右眼眶受累,关键影像显示血肿最大达7×7 cm但无颅骨侵犯


研究采用的核心技术包括:1)CT影像学评估(排除颅骨骨折及硬膜外血肿);2)眼科全套检查(角膜荧光染色、眼压测量及眼底镜检查);3)血液学监测(全血细胞计数追踪感染迹象)。这些手段在资源有限地区具有较高可行性。
临床发现
患儿表现为4处波动性头皮血肿(最大7×7 cm)伴右眼突眼,角膜下1/3荧光染色阳性但视力未受损。与创伤性血肿的关键区别在于无外伤史及CT显示的特征性骨髓腔扩张。
诊断与治疗
ASHS的发病机制被推测与镰状红细胞诱发颅骨骨髓梗死、皮质破坏相关。团队强调避免穿刺的重要性——既防止感染,也避免引发法律纠纷。OCS管理中的创新点在于采用简易眼罩联合抗生素眼膏,有效预防了角膜溃疡导致的永久性视力损伤。
讨论启示
该病例揭示了SCD患儿颅骨骨髓代偿性增生导致的特殊脆弱性:骨髓腔扩张使微小血管易发生缺血性坏死,引发自发性帽状腱膜下出血。研究特别指出,在移民人口增多的西方国家,此类病例可能被误诊为虐待,需加强医务人员培训。附录1的鉴别诊断表清晰对比了ASHS与肿瘤、脓肿等疾病的差异,具有临床实用价值。
这项研究为SCD罕见并发症建立了标准化诊疗框架:1)影像学优先排除危及生命的硬膜外血肿;2)眼科急会诊评估视神经损伤风险;3)社会支持介入(本例患儿因被父母遗弃面临用药依从性挑战)。这些经验对全球SCD高负担地区的临床实践具有普适性指导意义。
生物通微信公众号
知名企业招聘