
-
生物通官微
陪你抓住生命科技
跳动的脉搏
过氧化氢重复处理对循环水养殖系统中硝化功能及大泷六线鱼幼鱼健康的剂量效应研究
【字体: 大 中 小 】 时间:2025年08月06日 来源:Aquaculture International 2.4
编辑推荐:
本研究针对循环水养殖系统(RAS)中过氧化氢(H2O2)消毒剂使用的剂量平衡难题,通过5周实验评估了不同浓度H2O2(0/5/15/30 mg/L)对硝化功能和大泷六线鱼(Hexagrammos otakii)幼鱼的影响。发现低剂量(5 mg/L)可提升幼鱼特定生长率(SGR 1.38%/天)且不影响硝化,而高剂量(30 mg/L)导致氨氮(TAN)峰值达2.5 mg/L、鳃肝组织损伤及死亡率上升。研究为RAS安全使用H2O2提供了剂量依据,揭示了硝化菌群的适应性恢复潜力。
在水产养殖领域,如何平衡消毒效果与系统稳定性一直是个棘手难题。过氧化氢(H2O2)作为环境友好型消毒剂,虽能有效杀灭病原体,但其对循环水养殖系统(RAS)核心部件——生物滤器的硝化功能影响尚不明确,更缺乏对鱼类健康的长期评估。特别是对于大泷六线鱼(Hexagrammos otakii)这类具有重要经济价值的海洋鱼类,幼体培育阶段的生物安全控制亟需科学指导。
中国海洋大学渔业学院的研究人员开展了一项创新研究,通过实验室规模的RAS实验,系统评估了重复添加H2O2对水质、硝化功能和鱼类健康的综合影响。研究发现低剂量H2O2不仅不会损害系统稳定性,反而能促进鱼类生长;而高剂量则会导致硝化功能暂时性崩溃和明显的组织损伤。这项发表在《Aquaculture International》的研究,为RAS中H2O2的安全使用提供了重要科学依据。
研究团队采用12套实验室级RAS系统,每套包含100L养殖缸和45L移动床生物反应器。实验设置0(对照)、5(低)、15(中)、30(高)mg/L四个H2O2处理组,每组3个重复,每周添加一次持续5周。监测指标包括水质参数(TAN、NO2-N、NO3-N、COD、TOC)、鱼类生长性能(SGR、FCR、存活率)以及鳃肝组织病理变化。
生长和存活率
数据显示,低剂量组(5 mg/L)表现出最佳生长性能,特定生长率(SGR)达1.38±0.30%/天,显著高于对照组(0.91±0.11%/天)。而高剂量组(30 mg/L)SGR降至0.78±0.23%/天,饲料转化率(FCR)恶化至1.87。存活率方面,对照组保持100%,中剂量组最低(75±12.5%)。
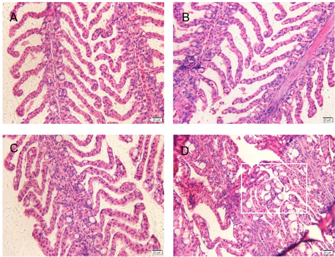
组织病理学变化

鳃组织在30 mg/L组出现明显病理改变,包括上皮增生、鳃丝粘连和离子细胞增殖。肝脏损伤呈现剂量依赖性,高剂量组出现严重空泡化和黑色素巨噬细胞中心聚集。
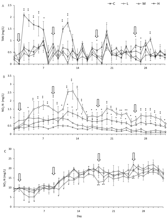
水质动态

高剂量组TAN峰值达2.5 mg/L,NO2-N超过3.0 mg/L,但每次处理后恢复时间逐渐缩短,提示硝化菌群产生适应性。H2O2降解实验显示所有浓度均在2小时内完全分解。
讨论与意义
该研究首次系统揭示了H2O2在海水RAS中的剂量-效应关系:5 mg/L的间歇添加既能发挥生物防控作用,又可促进鱼类生长;而≥15 mg/L则可能危及系统稳定。特别值得注意的是硝化菌群表现出的适应性恢复能力,这为开发更具韧性的RAS管理策略提供了新思路。研究结果对指导工业化海水养殖中的消毒剂使用具有重要实践价值,建议在实际应用中采用低剂量、间歇式的H2O2处理方案。未来研究可进一步探索硝化菌群的分子适应机制,并验证这些发现在商业规模RAS中的适用性。
生物通微信公众号
知名企业招聘