
-
生物通官微
陪你抓住生命科技
跳动的脉搏
PCR技术在异基因造血细胞移植后弓形虫病诊断与管理中的应用价值及局限性:16年31例患者的单中心经验
【字体: 大 中 小 】 时间:2025年08月06日 来源:Open Forum Infectious Diseases 3.8
编辑推荐:
本研究针对异基因造血细胞移植(HCT)后弓形虫病的高风险问题,通过16年单中心31例患者的回顾性分析,系统评估了PCR技术的诊断效能。研究发现弓形虫病多发生于未接受预防性用药(TMP-SMX)的早期(中位28天),血液PCR累计敏感性达93.3%,但存在假阴性及无法区分感染与器官病变的局限性。研究强调早期预防和影像学检查的重要性,为ECIL指南提供了重要循证依据。
弓形虫病作为潜伏感染的再激活,是异基因造血细胞移植(HCT)后威胁生命的并发症。尽管Toxoplasma gondii PCR技术显著提升了诊断能力,但其在临床实践中的准确性和应用时机仍存在争议。美国国立卫生研究院(National Institutes of Health)的研究团队通过16年、1,235例HCT患者的回顾性研究,揭示了这一"诊断悖论"——虽然血液PCR累计敏感性高达93.3%,但5例患者首次阳性时已存在器官病变,2例中枢神经系统(CNS)感染者始终未出现血液PCR阳性。这项发表在《Open Forum Infectious Diseases》的研究,为优化移植后感染防控策略提供了关键证据。
研究采用多学科协作模式,主要技术包括:1)基于REP-529和B1基因的双靶点实时PCR检测;2)每周两次的血液PCR监测方案;3)胸部CT和脑MRI的影像学评估;4)469例血清阳性患者的风险分层队列。所有数据通过临床免疫学与微生物学实验室的标准化流程采集。
【基线特征】研究纳入31例弓形虫病患者(2.5%),中位年龄40岁,90.3%为血清阳性。值得注意的是,38.7%接受过移植后环磷酰胺(PTCy)治疗,29%合并移植物抗宿主病(GVHD),提示免疫抑制深度与发病密切相关。
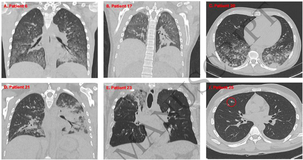
【临床表现】74.2%患者以发热为首发症状,但器官特异性症状隐匿——67%肺病患者无呼吸道症状,69% CNS病变者无神经系统表现。影像学显示:8例多灶性脑病变,5例肺部亚厘米结节(

【诊断效能】血液PCR诊断80.6%病例,但存在7天(IQR 4.3-7天)的"诊断窗口期"。1例通过KariusTM NGS技术早于PCR3天检出病原体,提示新技术潜力。
【治疗转归】TMP-SMX(10-15 mg/kg/day)治疗组无失败案例,但61.3%总体死亡率反映合并症的影响。4例CNS感染死亡者均缺乏定期PCR监测,凸显主动筛查的价值。
结论部分强调三大临床启示:首先,血清阳性患者应在移植后14天启动TMP-SMX预防,无法耐受者可短期使用阿托伐醌(atovaquone)过渡。其次,PCR阴性不能排除诊断,发热患者需结合影像学评估。最后,针对PTCy等强免疫抑制方案,建议延长监测至100天后。这些发现为修订国际指南提供了关键数据,特别是对非基因II型弓形虫流行区的诊断策略具有指导意义。