
-
生物通官微
陪你抓住生命科技
跳动的脉搏
成人无基础狭窄患者静脉-静脉体外膜氧合导管相关上腔静脉综合征的首例影像学确诊报告
【字体: 大 中 小 】 时间:2025年08月07日 来源:BMC Pulmonary Medicine 2.8
编辑推荐:
本刊推荐:研究人员针对成人VV ECMO(静脉-静脉体外膜氧合)治疗中罕见的上腔静脉综合征(SVCS)并发症,通过系列CT影像学证据首次证实:在无基础血管异常的成人患者中,ECMO导管单独置入可诱发急性SVC狭窄。该研究为ECMO术前血管评估及术中监测提供了重要依据,发表于《BMC Pulmonary Medicine》。
在重症呼吸衰竭救治领域,静脉-静脉体外膜氧合(VV ECMO)技术正迅速普及,但其导管相关并发症的认知仍存空白。尤其当患者出现面部肿胀、颈静脉怒张等上腔静脉综合征(SVCS)表现时,临床常归因于肿瘤压迫或血栓形成,鲜少考虑ECMO导管本身的机械性影响。这一认知局限可能导致治疗延误——SVCS若未及时干预,可引发脑水肿、失明甚至循环崩溃。更值得注意的是,现有文献仅报道过儿童病例或成人合并血管病变者,尚无证据表明ECMO导管能在无基础狭窄的成人中直接引发SVCS。
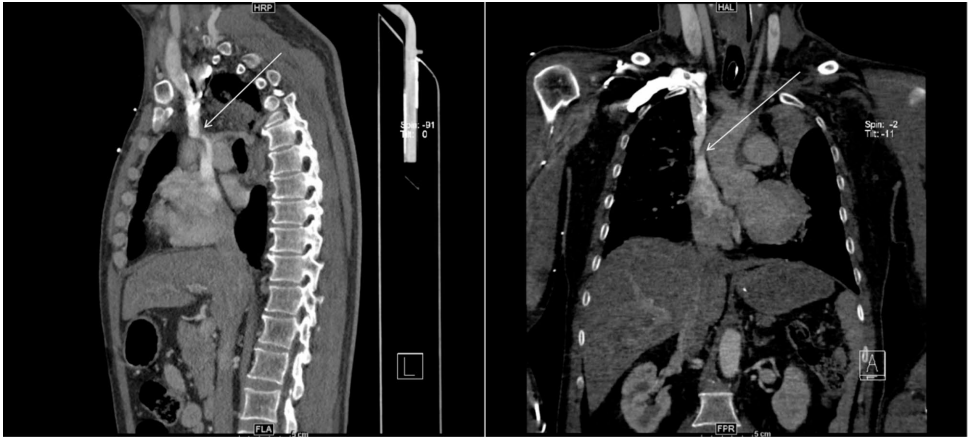
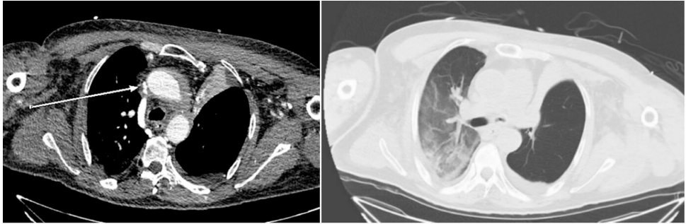
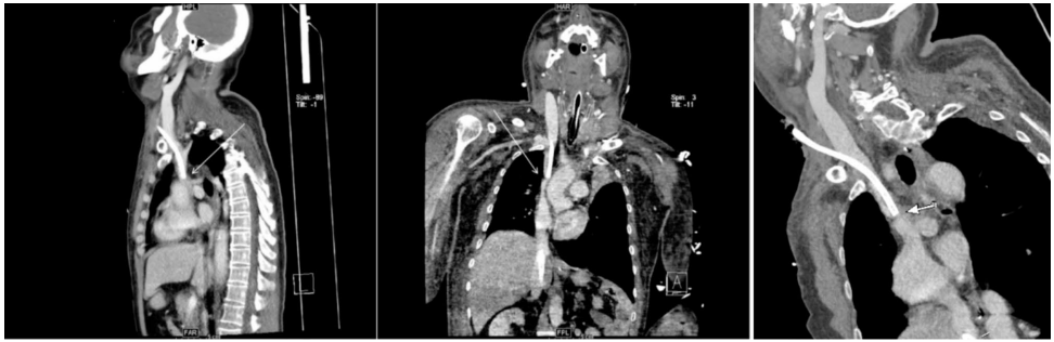
北京协和医院的研究团队在《BMC Pulmonary Medicine》发表的首例影像学确诊案例,颠覆了这一认知。该研究报道一名43岁肉芽肿性多血管炎(GPA)男性患者,因严重呼吸衰竭接受VV ECMO治疗(右颈内静脉15Fr灌注管+右股静脉21Fr引流管)。术前CT肺动脉造影(CTPA)仅显示SVC生理性成角,但ECMO支持3天后患者出现进行性面部水肿伴穿刺点渗血。
研究团队采用多模态影像技术揭示发病机制:
术前CT血管重建显示SVC入心处成角(图3)

ECMO期间增强CT证实导管尖端对应位置SVC狭窄(图2/4)


关键发现包括:
患者基础疾病为GPA相关支气管狭窄,但无血管介入史。ECMO置管后血流动力学稳定(流量3.2 L/min),但迅速出现典型SVCS表现,排除血栓或肿瘤压迫。
通过对比术前/术中CT,首次捕捉到ECMO导管加剧SVC成角至功能性狭窄的动态过程。三维曲面重建(CPR)技术直观显示导管与血管壁的机械性冲突。
鉴于呼吸功能改善,团队选择ECMO撤机而非导管重置。撤机5天后症状完全缓解,证实狭窄的可逆性。
该研究提出三重发病机制:①解剖学基础(SVC成角)②导管机械压迫 ③GPA相关血管炎性微环境。特别警示:即使采用较小导管(15Fr),在血管走行异常患者中仍可能引发SVCS。
研究结论强调:VV ECMO术前应常规评估SVC解剖变异,术中需监测中心静脉压力波形变化。该案例为ELSO(体外生命支持组织)指南补充了重要循证依据,推动ECMO并发症防控从"经验性处理"迈向"精准化预防"。
生物通微信公众号
知名企业招聘