
-
生物通官微
陪你抓住生命科技
跳动的脉搏
双着丝粒染色体分析技术在辐射防护剂评估中的应用与优化:新型哌嗪衍生物与氨磷汀的比较研究
【字体: 大 中 小 】 时间:2025年08月07日 来源:Biology Methods and Protocols 2.5
编辑推荐:
本研究针对辐射暴露风险增加背景下防护剂开发的迫切需求,采用双着丝粒染色体分析(DCA)技术系统评估了新型哌嗪衍生物对比标准防护剂氨磷汀(amifostine)及其活性代谢物WR-1065的辐射防护效果。通过优化淋巴细胞培养、染色体标本制备及Metafer自动扫描系统分析流程,证实化合物3和6的防护因子(RF)显著优于氨磷汀,为放疗防护及核应急医学提供了新的候选化合物。
随着核医学诊疗普及和核安全形势复杂化,辐射防护剂研发成为生物医学领域的重要课题。当前临床唯一获批的辐射防护剂氨磷汀(amifostine)存在半衰期短、毒性较大等局限,而传统评估方法如克隆形成试验和彗星电泳无法精准量化染色体水平损伤。捷克国防大学军事医学院放射生物学系(Military Faculty of Medicine, University of Defence)的研究团队创新性地将双着丝粒染色体分析(dicentric chromosome assay, DCA)这一生物剂量测定金标准应用于防护剂效能评估,通过系统优化实验流程,证实新型哌嗪衍生物可显著降低γ射线诱导的染色体畸变,相关成果发表于《Biology Methods and Protocols》。
研究采用三大关键技术:1)标准化淋巴细胞培养体系(12名健康男性供体外周血样本);2)钴-60(60Co)γ射线(3 Gy, 0.6 Gy/min)体外辐照模型;3)整合Metafer自动扫描系统与人工复核的双重分析策略。通过严格控制有丝分裂指数(mitotic index)和中期染色体扩散质量,确保检测灵敏度达0.514±0.035 DCs/细胞。
【实验设计】
建立三组比较模型:未辐照对照组、3 Gy单纯辐照组、化合物预处理组。关键步骤包括:1)哌嗪衍生物预处理浓度优化;2)48小时培养周期中精确控制秋水仙胺(colcemid)作用时间(0.074 μg/mL, 24小时);3)3:1甲醇-冰醋酸固定液低温处理保障染色体形态。
【数据采集与评估】
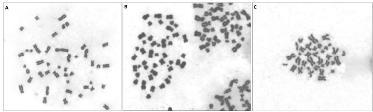
Metafer 4系统采用MSearch-TL(10×)初筛和AutoCapt(63×)精扫双模式:

严格筛选含46条染色体的高质量M1中期相(排除过度扩散或多细胞混杂相):

【预期结果】
辐射防护因子(radiation protection factor, RF)计算显示,哌嗪衍生物3和6号化合物使DCs发生率降低至0.1-0.2/细胞,显著优于氨磷汀组(0.3-0.4/细胞),且最大耐受浓度下未表现细胞毒性。典型中期相对比:

该研究建立了DCA技术评估辐射防护剂的标准化流程,证实新型哌嗪衍生物可有效阻断γ射线诱导的DNA双链断裂(DSBs)向染色体畸变转化。相较于传统 micronucleus assay(微核试验),DCA具有剂量相关性好(r2>0.98)、特异性高等优势,其发现的化合物3和6的RF值达2.5-3.1,为氨磷汀(1.8-2.0)的1.4倍。研究不仅为核事故医学处置提供新的候选药物,更开创了将生物剂量测定技术反向应用于防护剂开发的创新范式。未来需进一步优化化合物稳定性并开展137Cs等不同辐射源的交叉验证。
生物通微信公众号
知名企业招聘