
-
生物通官微
陪你抓住生命科技
跳动的脉搏
青少年柔性扁平足畸形Evan's截骨术的临床与影像学疗效回顾性研究:生活质量与足部力学的双重改善
【字体: 大 中 小 】 时间:2025年08月08日 来源:BMC Musculoskeletal Disorders 2.4
编辑推荐:
本研究针对青少年柔性扁平足畸形(flexible flatfoot deformity)患者,通过回顾性分析27例接受Evan's跟骨截骨术的病例,系统评估了术后6个月的生活质量(FHSQ评分)和8项影像学参数变化。结果显示,患者术后足部疼痛、功能及鞋履适应性显著改善(p<0.05),同时跟骨倾斜角(CIA)增加9.89°、距骨覆盖率提升10.23%,证实该术式能有效矫正生物力学异常。这项来自约旦大学医院的研究为中东地区首次报道,为临床决策提供了循证依据。
柔性扁平足是困扰14%青少年的常见足部畸形,表现为负重时足弓塌陷、后足外翻及前足内翻。虽然多数儿童期病例可随年龄改善,但持续性畸形会导致疼痛、步态异常甚至远期残疾。传统保守治疗对中重度患者效果有限,而手术方案如Evan's跟骨截骨术虽全球广泛应用,却缺乏中东地区的疗效数据支持。约旦大学医院(Jordan University Hospital)的Mohamad Samih Yasin团队为此开展回顾性研究,通过分析2017-2021年间27例8-23岁患者的临床与影像学数据,证实该术式可同步改善功能与解剖结构,成果发表于《BMC Musculoskeletal Disorders》。
研究采用三项关键技术:1)标准化Evan's截骨术联合自体髂骨三皮质移植;2)足部健康状态问卷(FHSQ)评估术前术后生活质量;3)八项影像学参数(包括TCA、CCA、CIA等)量化足部力学校正效果。所有手术均由同一位小儿骨科专家完成,确保操作一致性。
临床结果
通过FHSQ量表发现,术后患者在鞋履适应性(p=0.002)、总体足部健康(MD=2.46±0.72)等方面显著提升。70.4%患者术前存在步态障碍,术后仅11.1%残留美观问题,且无严重并发症。
影像学结果
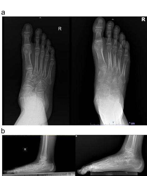
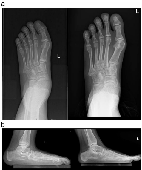
关键参数呈现两极分化改善:距跟角(TCA)减小5.48°、跟骰角(CCA)降低12.59°(均p<0.001),而跟骨倾斜角(CIA)和距骨覆盖率分别增加9.89°和10.23%,证实截骨术有效重建了足弓三维结构。典型病例影像显示(图1-3),术后距骨第1跖骨角(Meary's角)从平均6.85°显著改善。
讨论与意义
该研究首次证实Evan's截骨术在中东青少年人群中的双重获益:既缓解症状(如81.5%患者恢复爬楼梯能力),又纠正了距下关节对位异常。值得注意的是,尽管自体移植存在取骨区疼痛风险,但团队通过精细操作实现100%骨愈合率。研究为临床提供了明确循证依据:当保守治疗失败时,联合跟骨延长、内侧紧缩和跟腱松解的"三合一"术式可作为优选方案。未来需延长随访以评估远期复发风险,而三维建模(如Efrima团队提出的距离映射技术)可能进一步优化截骨定位精度。



生物通微信公众号
知名企业招聘