
-
生物通官微
陪你抓住生命科技
跳动的脉搏
改良型安卡拉痘苗疫苗(MVA)对猴痘病毒(MPXV)性传播途径的预防效果:非人灵长类动物模型中的暴露前后保护研究
【字体: 大 中 小 】 时间:2025年08月09日 来源:Nature Communications 15.7
编辑推荐:
本研究针对2022年猴痘病毒(MPXV) clade IIb株通过性接触传播的新特征,通过建立食蟹猴直肠感染模型,系统评估了改良型安卡拉痘苗(MVA)作为暴露前预防(PrEP)和暴露后预防(PEP)策略的有效性。研究发现MVA-PrEP可有效预防直肠MPXV感染,但MVA-PEP在暴露后4天接种未能阻止病毒传播,这对当前公共卫生防控策略具有重要修正意义。
猴痘病毒(MPXV)在2022年突然改变了它的传播方式——从传统的动物传人和有限人际传播,转变为主要通过男男性行为者(MSM)群体中的性接触传播。这种传播方式的转变带来了全新的科学问题:病毒如何突破黏膜屏障?现有疫苗能否有效预防这种特殊传播途径?更令人担忧的是,随着刚果民主共和国(DRC)出现高致死率的clade Ib毒株流行,全球公共卫生系统亟需基于科学证据的防控策略。
法国原子能与替代能源委员会(CEA)IDMIT研究中心的研究团队在《Nature Communications》发表的重要研究,首次在食蟹猴模型中模拟了MPXV clade IIb的直肠传播过程,并系统评估了改良型安卡拉痘苗(MVA)的预防效果。这项研究不仅证实了MVA作为暴露前预防(PrEP)的有效性,更揭示了当前暴露后预防(PEP)策略的潜在缺陷,为全球猴痘防控提供了关键科学依据。
研究人员主要采用了四种关键技术方法:1)建立食蟹猴直肠感染模型模拟性传播;2)使用电化学发光法(ECLA)定量检测抗MPXV/VACV抗体;3)空斑减少中和试验(PRNT)评估中和抗体效价;4)多色流式细胞术分析抗原特异性T细胞应答。所有实验均在生物安全三级(BSL-3)条件下进行。
MPXV传播途径调节疾病严重程度和体液免疫反应
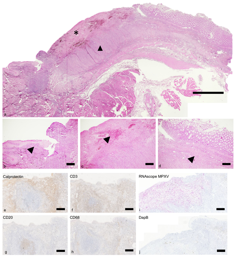
研究团队通过直肠途径接种1×107 pfu MPXV clade IIb后,成功复制了人类患者的临床特征:直肠炎、生殖器皮肤病变和精液病毒脱落。值得注意的是,与皮内接种相比,单纯直肠感染诱导的中和抗体反应较弱且延迟,这提示传播途径显著影响免疫应答特征。组织病理学显示:

MVA-N33疫苗有效预防非人灵长类动物感染
在暴露前预防(MVA-PrEP)设计中,两次接种MVA-N33的动物表现出近乎完全的保护效果:

而暴露后4天接种MVA(MVA-PEP)则未能阻止病毒复制,这直接挑战了当前公共卫生指南的合理性。
MVA-N33疫苗诱导针对正痘病毒家族的特异性交叉中和抗体反应
疫苗诱导的抗体对MPXV clade Ia和IIb均表现出交叉中和活性,这为应对DRC新出现的clade Ib毒株提供了希望。研究特别发现抗A33/A35和B5/B6抗体与中和效价显著相关,这些抗原可能成为下一代疫苗设计的重点靶标。
MPVX直肠攻击召回预免疫食蟹猴的特异性抗体
在发生突破性感染的MVA-PrEP动物中观察到显著的回忆反应,证实疫苗建立的免疫记忆可被自然感染激活。这种"prime-boost"效应可能解释为何在真实世界中,接种疫苗后仍感染的患者症状较轻。
讨论与意义
这项研究首次在受控实验中证实:1)MPXV可通过单纯黏膜接触实现性传播;2)MVA-PrEP能有效预防这种传播方式;3)当前MVA-PEP方案(暴露后4天接种)存在重大缺陷。这些发现对全球猴痘防控具有三重意义:
首先,研究建立的直肠感染模型填补了关键空白,为后续疫苗和药物评价提供了标准化工具。其次,发现黏膜途径感染诱导的免疫应答较弱,这解释了为何自然感染后仍可能发生再感染,提示需要加强高风险人群的疫苗接种。最重要的是,研究质疑了当前PEP策略的科学基础——在缺乏预存免疫力的人群中(如1981年后出生者),延迟接种可能无法提供有效保护。
随着clade Ib毒株在非洲的扩散,这项研究为全球公共卫生决策提供了及时、关键的证据。研究团队建议:应优先扩大PrEP接种覆盖,同时重新评估PEP的时间窗和剂量策略。该成果也为开发针对黏膜免疫的下一代疫苗指明了方向,特别是需要增强对EEV蛋白(A33/A35)的特异性应答。
这项由Cécile Herate等学者完成的研究,不仅解决了MPXV性传播机制的核心科学问题,更将直接指导全球防控实践,彰显了基础研究转化应用的巨大价值。