
-
生物通官微
陪你抓住生命科技
跳动的脉搏
黄曲霉毒素与赭曲霉毒素A协同暴露诱导Charles Foster大鼠肝肾毒性的机制研究
【字体: 大 中 小 】 时间:2025年08月16日 来源:Discover Toxicology
编辑推荐:
本研究针对农产品中常见的真菌毒素污染问题,探讨了黄曲霉毒素(AF)与赭曲霉毒素A(OTA)单独及联合暴露对Charles Foster大鼠的毒性效应。研究人员通过30-60天的亚急性暴露实验,发现AF主要导致肝毒性(AST/ALP升高、库普弗细胞增生),OTA引发肾毒性(尿酸/肌酐升高),而联合暴露组出现"沉默毒性"现象——虽无显著生化指标异常,但组织病理学显示慢性肾损伤。该研究为理解霉菌毒素的器官特异性毒性和协同效应提供了重要证据,对食品安全风险评估具有警示意义。
在发展中国家,约25%的农作物受到霉菌污染,其中黄曲霉毒素(AF)和赭曲霉毒素A(OTA)作为最强的两类真菌毒素,通过污染谷物、坚果等食品威胁人类健康。AF被国际癌症研究机构(IARC)列为1类致癌物,与28%的肝癌病例相关;而OTA则与巴尔干地方性肾病(BEN)等特殊肾病密切相关。更令人担忧的是,这两种毒素常在同一批农产品中同时检出,但它们的协同毒性机制至今尚未明确。
针对这一科学问题,巴特那大学植物病理学与微生物学实验室联合Mahavir癌症研究所的研究团队开展了一项系统性研究。通过为期60天的动物实验,研究人员首次揭示了AF与OTA在Charles Foster大鼠中呈现器官特异性毒性:AF主要攻击肝脏(诱导AST升高3倍,肝细胞空泡化率达6.34/100细胞),OTA侧重损害肾脏(肌酐水平提升2.5倍),而令人意外的是,两者联合暴露时虽未出现显著生化指标异常,但组织病理学却显示肾小球退化率达3.07/100小管——这种"生化沉默而组织损伤"的现象被研究者称为"沉默毒性",对传统食品安全评估提出了新挑战。
关键技术方法包括:1) 从污染小麦/芝麻中分离产毒菌株(Aspergillus flavus W-7和A. niger Ti-1)进行毒素发酵提取;2) HPLC-FLD验证毒素纯度;3) 40只雄性大鼠分10组进行30/45/60天梯度暴露实验;4) 全自动血细胞分析仪检测贫血指标;5) 紫外分光光度法测定肝肾功能标志物;6) H&E染色评估器官病理损伤。
3.1 血液学影响
AF单独暴露引发正细胞性贫血(血红蛋白下降15%,MCV升高8%),OTA导致正细胞低色素性贫血(MCHC异常),而联合组出现嗜酸性粒细胞异常增殖。这种差异提示两种毒素可能通过不同途径干扰造血系统:AF抑制蛋白质合成,OTA影响铁代谢。
3.2 肝脏生理影响
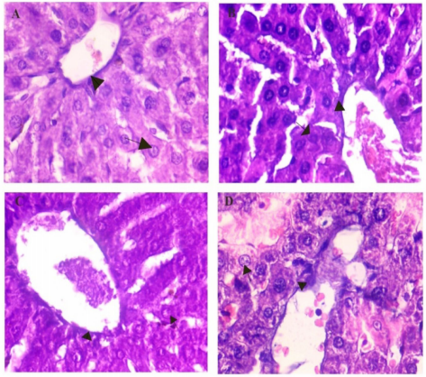
60天暴露后,AF组AST和ALP分别升高至对照组的3.1倍和2.8倍,肝组织出现典型空泡变性(如图6所示)。值得注意的是,联合暴露组仅AST显著升高,提示OTA可能通过竞争性抑制CYP450酶系干扰AF的肝毒性表达。

3.3 肾脏生理影响
OTA组45天时肌酐激增2.5倍,伴随肾小管上皮细胞脱落(图10)。而联合组60天时肌酐水平"假性正常化",但病理评分却达最高(肾小球退化3.07/100小管),这种分离现象暗示传统肾功能指标可能低估复合毒素风险。
3.4-3.5 组织病理学证据
定量分析显示:AF组肝细胞空泡化呈时间依赖性增长(30天5.15→60天6.34),OTA组肾小球损伤评分从1.45(30天)升至2.53(60天)。联合暴露组的肾脏病理改变尤为特殊——60天时虽无生化异常,但Bowman囊膜破裂率达3.32/100结构(表2),这种隐匿性损伤可能解释巴尔干地区肾病高发之谜。
该研究突破性发现在于揭示了霉菌毒素的"器官毒性分工"现象:AF通过CYP450代谢产生的AFB1-8,9-环氧化物攻击肝细胞DNA,而OTA的苯丙氨酸结构类似物特性使其富集于肾脏。更关键的是,联合暴露时OTA可能通过占据血清白蛋白结合位点,改变AF的毒代动力学,导致传统 biomarkers 失效。这一发现对修订食品安全标准具有双重意义:既警示需加强农产品多毒素联合检测,又提示现行肾毒性评估体系存在盲区。研究者特别强调,在肝癌和肾病高发区,应考虑建立"沉默毒性"的早期预警指标,如尿中AFM1-OTA加合物的检测。
生物通微信公众号
知名企业招聘