
-
生物通官微
陪你抓住生命科技
跳动的脉搏
嗜铬细胞瘤并发急性心力衰竭的诊疗挑战:基于一例VA-ECMO联合IABP救治的病因学探索
【字体: 大 中 小 】 时间:2025年08月16日 来源:BMC Cardiovascular Disorders 2.3
编辑推荐:
本文报道了一例以急性心力衰竭为首发表现的嗜铬细胞瘤危象病例。研究人员通过VA-ECMO(静脉-动脉体外膜肺氧合)与IABP(主动脉内球囊反搏)联合生命支持技术稳定患者循环,结合CT影像与24小时尿儿茶酚胺检测确诊病因,最终通过手术切除肿瘤实现心功能完全恢复(EF值从40%回升至73%)。该研究为罕见病因导致的心力衰竭提供了"稳定-诊断-根治"的诊疗范式,发表于《BMC Cardiovascular Disorders》。
在心血管急症领域,急性心力衰竭(AHF)犹如一匹脱缰野马,其突发性和高死亡率始终困扰着临床医师。传统认知中,冠心病、高血压等心血管疾病是主要诱因,但约10%的病例隐藏着更危险的"幕后黑手"——比如能分泌过量肾上腺素的内分泌肿瘤。这类患者往往因非典型表现被误诊,错过最佳救治时机。浙江中医药大学附属同德医院心血管内科团队在《BMC Cardiovascular Disorders》发表的病例报告,揭开了这类"伪装大师"的神秘面纱。
研究团队报道了一位40岁女性患者的惊险救治历程。患者突发严重胸痛伴休克,NT-proBNP(N末端脑钠肽前体)飙升至8588 pg/L,左心室射血分数(EF)骤降至40%。通过VA-ECMO与IABP构建"生命双保险"稳定循环后,CT发现右肾上腺4.7cm占位,24小时尿甲氧基肾上腺素(>2504μg/g Cr)等检测锁定嗜铬细胞瘤诊断。术后患者心功能完全恢复,验证了肿瘤切除对逆转心损伤的关键作用。
关键技术包括:1)VA-ECMO(静脉-动脉体外膜肺氧合)联合IABP(主动脉内球囊反搏)的循环支持技术;2)PICCO(脉搏轮廓心输出量监测)导管血流动力学监测;3)24小时尿游离儿茶酚胺谱分析;4)多学科协作诊疗模式。
【病例特点】
心电图显示窦性心动过速(105次/分)伴胸导联ST段压低

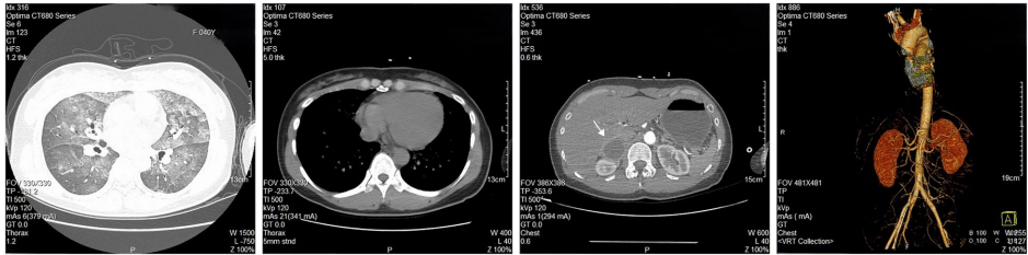
【影像学发现】
胸部CT显示双肺渗出性改变及右肾上腺低密度影

【治疗转归】
术后超声显示EF值回升至71%,心室径恢复正常

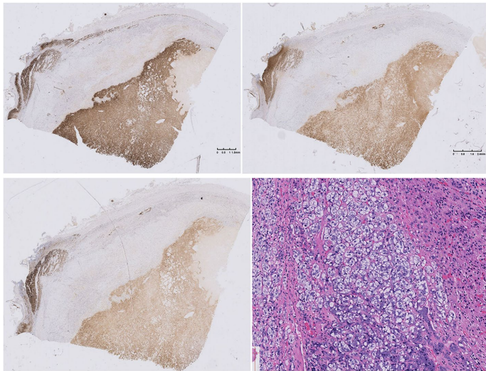
【病理确诊】
肿瘤组织HE染色显示广泛出血性坏死,免疫组化符合嗜铬细胞瘤

研究结论揭示,嗜铬细胞瘤通过三重机制导致心衰:1)儿茶酚胺风暴引发冠脉痉挛(心肌缺血);2)钙超载和氧化应激直接损伤心肌细胞;3)β受体下调导致心肌收缩障碍。该案例的创新性在于建立"机械支持-病因溯源-精准手术"的救治链条,尤其强调对于血压剧烈波动(270/150 mmHg→38/20 mmHg)的难治性心衰,应考虑内分泌肿瘤可能。
这项研究为临床实践带来重要启示:面对不明原因心衰,在VA-ECMO等生命支持技术保驾下,积极筛查非心血管病因可能改变患者预后。正如研究者Shenghui Shen团队强调的,多学科协作是破解这类诊疗谜题的关键钥匙——只有当心内科、内分泌科和外科专家共同"会诊",才能让隐藏在心衰背后的"内分泌刺客"无所遁形。
生物通微信公众号
知名企业招聘